间隔|心脏有5个洞!孕妇懵了:我怎么能安稳活这么多年?
从小体质不好,容易疲劳,
浙江台州的陈女士也没多想,
直到因怀孕去体检,
才意外发现自己的心脏
竟有5个大小不一的孔洞!
吓得她惊呼自己命大:
“我怎么能安稳活这么多年!”

文章插图
怀孕体检,发现心脏里竟然有洞
陈女士今年32岁,去年怀上孩子,在怀孕体检中意外发现心脏有问题。医生告诉她,她的心脏里有好几个洞。
医生告诉陈女士,她患有室间隔缺损。这是先天性心脏病的一种。心脏内部分为左心室、右心室、左心房、右心房,就好像4个小房间一样,每个房间之间都有墙,医学上叫做“间隔”,左右心房之间的间隔叫房间隔,左右心室之间的间隔就叫做室间隔。而陈女士的室间隔上有多个孔洞存在。“当时查出来说有2个孔的确定的,有可能有第3个孔。”陈女士说。
不过幸运的是确定的2个孔洞都不大,直径一个4毫米,一个5毫米。由于室间隔缺损的存在,陈女士的心脏泵血效率比正常的心脏要低一些,导致她的体力、耐力等各方面都要比正常人差一些,也比一般人更容易累。听了医生的话,陈女士恍然大悟:“难怪我从小到大身体一直都比较差,原来是这个原因!”
室间隔缺损这种先心病的主要治疗方法就是手术。但当时怀孕,再加上对生育也没有严重的不良影响,“先生完孩子再说!”陈女士说。
生完孩子后快一年,孩子断奶了,自己身体恢复也不错,一直惦记着自己心脏的陈女士就跑到医院准备手术。
心脏竟有5个洞,医生直呼罕见
目前先天性心脏病的手术方式有两种,一是传统的外科开胸手术,二是微创介入治疗,只要将缺损的地方修补好就可以了,只要治疗及时,多数都不会有严重后遗症。传统开胸手术,胸口会留下长长的刀疤,非常难看。近些年,微创介入治疗逐渐普及,相当一部分患者都可以用这种方法治疗,避免了传统开胸伤害大、风险高、恢复慢、不美观的缺点。陈女士自然选微创介入治疗。
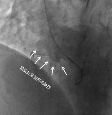
在手术中,介入导管进入陈某心脏后,医生们惊奇地发现,陈女士的室间隔竟然是5个洞,而且室间隔上有膨出,膨出部分外形像瘤子,5个孔洞全长在膨出的室间隔组织上,不大的室间隔上全都是孔洞,就跟筛子一般。
给陈女士做介入手术的主刀医生、台州市中心医院心内科主任医师介绍,在医学上陈女士的这种叫做室间隔膨出瘤伴筛孔型缺损,属于非常罕见的先心病类型。
该医生从医20多年,从2009年就开始做先心病介入手术, 这种情况也是第一次碰到。“大多1个洞,2个的不多,5个的很罕见了!”他说,而且部分先心病患者由于心脏内部结构的畸形,有些术前检查无法全部发现,只能在手术中才能最终明确。

文章插图
【 间隔|心脏有5个洞!孕妇懵了:我怎么能安稳活这么多年?】陈女士室间隔上的5个孔洞
室间隔膨出瘤伴筛孔型缺损不但罕见,而且手术治疗难度极高,妥妥的高难复杂手术。幸好新发现的几个孔洞也都不大,直径都没超过5毫米,而且医生们也是经验丰富,虽然手术难度上升好几个等级,但在医生们的努力下,最终陈女士的室间隔缺损还是得到完美修补。
手术后,陈女士就发现,自己感觉比以前明显轻松不少:“以前一直觉得自己身体沉甸甸的,现在浑身都觉得很轻松,很舒服!”第3天,一身轻松心情大好的陈女士办理出院手续。

- 零下度|冬季天气寒冷身体变虚弱了,多吃家常菜,补血养肝有利健康
- 疫苗|【992 | 速看】传播能力有所增强!有关奥密克戎变异株,最新解答来了!
- 过量食肉带来的危险 你知道么
- 营养专家告诉您 剩菜打包有方法
- 肠镜|肠镜选无痛好还是普通好?二者有何区别?不妨听听医生的分析!
- 治疗|治疗运动神经元的方法有哪些呢?
- 跑步有效延长寿命,但是晨跑和夜跑哪一个好?这才是最佳时间
- 背部|哑铃初学者的锻炼方法,学会5个动作,有效提升肌肉力量
- 脂肪堆积|大腿吸脂快速瘦腿,会有副作用吗?术后需要注意哪些注意事项呢?
- 晚餐与寿命有关吗?怎么吃、吃多少,今天一次性说清楚
