茶多酚|得了脂肪肝,全身都受累,4大癌症风险骤增,还伤血管!这份“逆转方法”请收好~( 二 )

文章插图
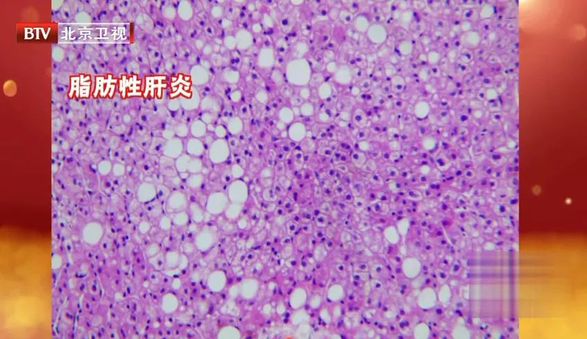
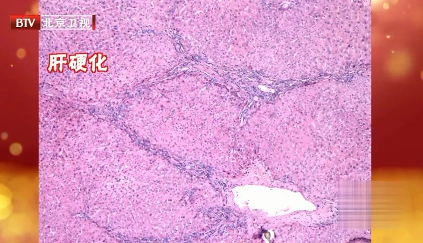
③随着病情的发展,炎症继续发作,刺激肝脏内纤维组织增生并逐渐加厚变硬,即肝硬化。此时,肝功能损害很严重了,肝脏可能因肿胀而增大,也可能会萎缩。再恶化下去就是肝癌。

文章插图
2、脂肪肝的5个信号
如果是单纯性脂肪肝的早期,可能只是化验单上指标异常,身体无明显不适。但随着疾病发展,就可能出现一些症状表现,比如:
①黄疸:皮肤、巩膜(白眼球)发黄。
②乏力:乏力有一定的判断标准——运动疲劳难以恢复、起床后疲乏、右上腹不适等。
③肝病面容:眼睛下方颜色晦暗,出现“黑眼圈”,这是肝脏代谢功能受到影响,在面部毛细血管的一个体现;还可能出现眼睛发沉、睁眼费劲、眼睛分泌物增加等情况。

文章插图
④肝掌:即大小鱼际发红。这是因为肝功能受损,影响了雌激素的灭活,导致毛细血管扩张,表现在手上主要就是大小鱼际发红。
⑤颈围变粗:研究显示,如果男性颈围超过38厘米、女性超过35厘米,就可能存在脂肪肝。

文章插图
3
3个妙招,给肝脏“减脂”
1、饮食遵从4原则
①三餐总热量分配:“朝四暮三”。即早餐占全天摄入总热量的40%;午餐占30%;晚餐占30%。
②碳水化合物摄入约半公斤,相当于4碗米饭。
③植物油每天摄入不超过30g。
④蛋白质摄入量应达到每天每公斤体重1~1.5g,有助于肝细胞修复。豆制品低脂高蛋白,推荐脂肪肝患者适当摄入。

文章插图
2、多喝水,喝对茶,逆转脂肪肝事半功倍
多喝水可以促进腺体,尤其是消化液和胰液、胆汁的分泌,以利消化、吸收和废物的排除,减少代谢产物和毒素对肝脏的损害。所以每天最好喝2000ml以上。
茶里面的主要营养成分是茶多酚,而有大量研究认为,茶多酚可以调节血脂,降低肝细胞中的脂肪含量,对脂肪肝有直接作用。
茶多酚含量依次为:绿茶(25.9%)>白茶(25.7%)>乌龙茶(11.9%)>黑茶(10%)>红茶(6.5%)。

文章插图
另外,还可以喝一些中药茶饮,效果翻倍——陈皮丹参茶。

文章插图
【组成】
陈皮8克、丹参10克。
【做法】
加水煮沸后,文火煮30分钟,取汁当茶饮。
陈皮理气化痰,丹参既能活血又能养血,它俩配合能改善血液循环,促进脂肪分解。
【适用人群】
适用于长期酗酒,体型肥胖,舌质红或舌紫黯,苔厚的人。
3、规律运动,控制体重
脂肪肝的首要治疗目的是减轻体重。研究发现,体重减轻5%以上,58%的脂肪肝患者症状得到减轻;若体重减轻10%以上,脂肪肝缓解率达到90%,纤维化逆转率达45%。
建议脂肪肝患者每周减重0.5~1千克,一年内体重减轻5%以上,直至达到健康体重。

文章插图
管住嘴、迈开腿是控制体重的关键,因此有脂肪肝的人最好每天坚持运动:
①每周进行4次以上中等强度的运动,如快走、骑车、打乒乓球、打高尔夫球等。每周累积运动150-300分钟,每次运动后靶心率>170-年龄。
②每周最好进行2-3次轻或中度阻力运动,包括弹力带、举哑铃、俯卧撑等,两次锻炼间隔≥48小时。锻炼肌肉力量能更好地减肥。
- 脂肪肝患者|脂肪肝能不药而愈?关于脂肪肝,这4个错误认知要避免
- 肾病|不幸得了肾病,别着急,控制好4个指标,才有助于治疗
- 社交恐惧症|“社恐”真是病!“社恐新药”首次落地中国临床试验,15分钟内起效!?怎么鉴别自己得了“社恐”?
- 肛肠科|得了痔疮别大意,早诊早治早轻松
- 作业|妈妈辅导孩子作业被气到得了这种病!医生紧急提醒
- 得了高血压该怎么吃?饮食上要牢记“5多、3少”
- 牙周炎|刷牙时出血,你可能得了牙周病!
- 并发症|2022年“血糖标准”公布,年龄不同,标准不一样!值得了解
- 贫血|得了肿瘤到底要不要放化疗,大夫说3类人一定不可放化疗
- 一张治脂肪肝的方子!健脾疏肝、祛湿降浊,化解肚子大、总犯困
