颈椎结核|因为这......她的两节颈椎被“吃掉”,差点瘫痪!
结核病,很多人并不陌生。
而且多数会联想到的就是肺。
但结核跑进颈椎
还差点把骨头给“吃了”?
大家听说过吗?
福建长乐漳港的王女士颈肩部反复疼痛,近日去医院就诊,CT检查把所有人吓了一跳。她得的是“颈椎结核”,而且C4、C5两节颈椎已经被“吃掉”近一半,有瘫痪的风险。
睡不着、吃不下、站不稳
5旬阿姨突发颈肩痛
感觉脖子被卡住了
55岁的王女士平日里身体健康。但前不久,她突然觉得颈肩痛,时轻时重、反反复复,严重时还影响到睡觉和吃饭。
会不会是颈椎病?
王女士试了吃药、推拿、针灸、牵引等
但收效甚微。
那么这脖子究竟怎么了?
在医院疼痛科,王女士做了影像检查,医生发现她的颈椎周围形有大量脓肿,C4、C5椎体的骨质已经被吞噬得“面目全非”,出现了几处明显的缺口。
如图,红圈部分↓↓↓

文章插图
检查报告令王女士全家吃惊不小,接诊医生立即着手重点了解患者及家人是否有结核病史,果然,王女士的丈夫曾经患有肺结核,当时,接诊医生就在病历上留下一句话:目前考虑结核可能性大!
沪闽专家联手制定手术方案
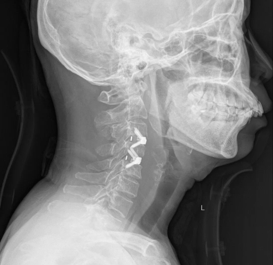
最终,医院多学科会诊后,还通过远程系统和上海的脊柱专家会商,确定王女士是“颈椎结核”。来自上海、福州两地专家团队对王女士实施了系列手术。医生们先通过精准定位,清除了结核病灶和周围的脓肿,随后在空缺的颈椎处填入自体骨和同种异体骨,最后用特殊材料制成的椎体融合器将颈椎固定。

文章插图
“
对话专家:
“颈椎结核”如何早发现、早治疗?
”术后几天,王女士就出院回家,她感觉颈肩已经恢复正常,目前还要遵照医嘱继续配合术后康复治疗。据介绍,颈椎结核是一种继发病变,原发灶多在肺部,病菌进入血液循环系统,扩散至颈椎,在椎体内驻留、扩散,产生脓液,导致骨、椎间盘破坏,可造成椎体塌陷,一旦颈椎稳定性受到损伤,特别是伤及神经,高位截瘫的风险非常高。其传染性因人、因病而异,但是,早发现、早治疗非常关键。

文章插图
上海的专家在查房
医生建议,
早期的脊柱结核,可以通过吃药控制病情。
可是到了中后期,
病菌已经侵蚀骨骼、骨髓,
则需要手术治疗。
医生提醒,
如果自身或家里有结核病史,
经常出现午后低烧,
突然消瘦、胃口差、盗汗乏力等情况,
建议及时到医院做相关检查。
【 颈椎结核|因为这......她的两节颈椎被“吃掉”,差点瘫痪!】来源:FM1007福建交通广播
- 克星|颈椎病的克星:聊聊颈椎那些事,让颈椎病从此和你说拜拜!
- 因为|糖尿病并非不许吃喝,饮食做到这5点,血糖不会差
- 杭州男子总是“想女友”,竟是因为大脑……
- 核酸|龙华医院解除闭环管理加开周日门诊,“因为你们,相信我们的城市能始终跑在病毒前”
- 括约肌|胃食管反流是因为胃酸太多导致的吗?那么该怎么办呢?
- 确诊|北京疫情防控发布会上,确诊病例所在单位因为这一点被表扬
- 杭州男子总是出现“愣神”,竟是因为大脑……
- 神经末梢|一颗大蒜,竟是颈椎病的“克星”!退休老医生自用秒方,用1个好1个!
- 小林|女子手指仅剩白骨,只因为厦门人常做的这个动作!撕扯7厘米,甲床全部剥脱,隔着屏幕看疼了!
- 血糖升高不听话,可能是因为这5个饮食习惯,你是这样吗?
