肠梗阻|吃杨梅不吐杨梅核,爷爷肚子塞满杨梅核,快要连成“珍珠项链“
吃杨梅不吐杨梅核 , 爷爷肚子塞满杨梅核 , 快要连成“珍珠项链“
家住怀化的唐爹爹今年 81 岁了 , 一直以来就对杨梅特别钟爱 , 在他看来 , 吃杨梅并不需要吐核 , " 我一直都是连核带肉一起吃 , 以前都没事 。 " 近日 , 恰逢杨梅成熟季 , 唐爹爹的亲友给他送来好多又红又大的杨梅 , 嘴馋的他一口气吃下了好多 。
吃完后没多久 , 唐爹爹便感觉到下腹部开始出现阵发性绞痛 , 本以为过两天就好了 , 5 天过去了唐爹爹感觉自己的肚子越来越痛了 , 子女见状赶紧将其送至家附近的医院 , 检查提示肠癌、肠道异物滞留等 。 由于唐爹爹年纪较大 , 基础疾病又多 , 当地医院建议转院治疗 。
【肠梗阻|吃杨梅不吐杨梅核,爷爷肚子塞满杨梅核,快要连成“珍珠项链“】唐爹爹子女联系到长沙市第四医院普通外科(胃肠外科)主任刘杰锋 , 并将唐爹爹转至普通外科(胃肠外科)进行手术治疗 。
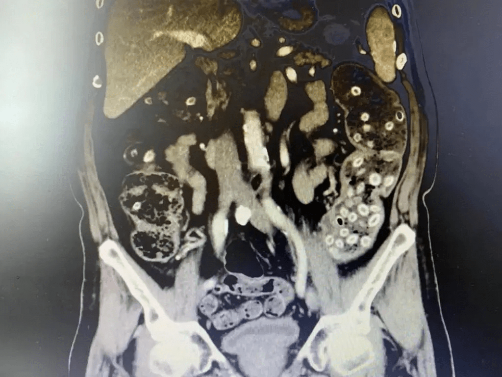
刘杰峰主任接诊后 , 给唐爹爹完善 CT 简直 " 惊呆了 "!一肚子密密麻麻的小 " 珠珠 " 仿佛连成一串 " 珍珠项链 " 了 。
文章图片
文章图片
并且由于耽搁已久 , 情况已经十分危急 , 必须马上手术治疗 。 刘主任立刻将唐爹爹送至手术室 , 为其行 " 腹腔镜乙状结肠切除术 + 腹腔镜下肠造口 + 内镜下结肠肿块活检术 " 。
躺在手术床上的唐爹爹百思不得其解 , 自己几十年以来都不吐杨梅核的 , 怎么这一次就变成了他 " 开膛破肚 " 的 " 罪魁祸首 " 了呢?
刘杰锋主任介绍 , 每年杨梅季的时候 , 医院都要处理一批这类肠梗阻病人 。 短的半天长的三五天后出现腹部胀痛、排便困难等肠梗阻的症状 。 这种情况 , 一查腹部 CT , 基本十个里有八九个都是肠道肿瘤患者 。
吞杨梅核只是诱因 , 病因是肠道里长了肿瘤 , 核是被‘拦’在了肿瘤生长的狭窄处 。 正常情况下 , 肠子是完全可以通过杨梅核这样大小的物体 , 但如果肠道里有肿瘤自己却不知道 , 就可能会发生吃东西梗阻的情况 。
刘杰锋介绍 , 发生肠道急性梗阻后 , 被堵住的肠子就像气球一样被粪便、气体越撑越胀 , 当肠壁无法承受压力时 , 就会 " 嘭 " ——破裂 , 粪便溢出污染腹腔 , 从而导致严重的腹腔感染 , 危及生命 。
在正常情况下 , 确诊肠道肿瘤的患者完全可以行腹腔镜微创手术 , 伤口小、恢复快 , 病人术后一周即可出院 。 但是 , 为了挽救吞下杨梅核导致急性梗阻的患者生命 , 医生通常只能采用剖腹探查的手段来解除梗阻 , 受的罪更大 , 术后恢复也更慢 , 更麻烦的是肿瘤梗阻还显著增加了转移、肿瘤复发的风险 , 并且肠梗阻急诊手术 , 肠道准备达不到要求 , 只能做肠造口 , 术后 3 个月后需要再次手术行造口回纳术 。 所以大家千万不要冒险用吞杨梅核来筛查哟 。
来源:潇湘晨报
- 红豆|四九寒天,少吃大鱼大肉,多吃这6种“根菜”,补足营养健康过年
- 排毒|想长寿要会吃,三种蔬菜,常吃清理肠胃,排毒润肠,不妨一试
- 鸡蛋清性|每天晚上不妨多吃三种食物,营养丰富,延缓衰老,好吃又不贵!
- 肌肤|女性不愿老太快,坚持多吃3种食物,滋补身体,好处多多!
- 排毒|女性要排毒,推荐多吃4种食物,养护皮肤,祛皱美容,血管更通畅
- 肝明目|秋冬常吃这3样益处多多,健胃促消化 ,营养不流失 ,吃了都说好
- 零下度|冬季天气寒冷身体变虚弱了,多吃家常菜,补血养肝有利健康
- 潜伏在我们身边的这3种“致癌”蔬菜,看完你还敢继续吃吗?
- 饮食习惯|咸鱼腊肉很好吃,但吃多了真的会致癌?牢记3点,或无后顾之忧
- 进行|尿毒症多半是“吃”出来的?3种食物尽量少碰,肾或许“感谢”你
