蛔虫|重234克直径12厘米!世界上最大的单颗胆总管结石成功摘除
来源:湖南省人民医院
正常人胆总管的直径大约在1cm左右,湖南六旬老妇胆总管极度扩张至12cm,从里面取出的巨大结石有12×8×7cm3大小、重达234g,为迄今为止世界上最大的单颗胆总管结石。

文章插图
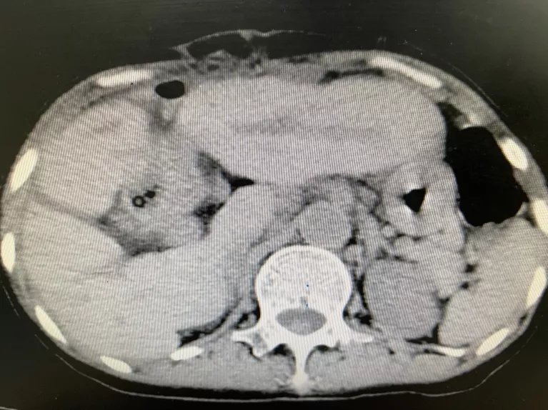
【 蛔虫|重234克直径12厘米!世界上最大的单颗胆总管结石成功摘除】术前CT显示,胆总管内有巨大结石(红圈所示)。
常德津市64岁的赵女士从小就有上腹痛的毛病,很小的时候曾经“呕过也屙过蛔虫”。31年前,她因胆道结石并发严重感染、败血症和休克,在当地做了急诊手术。大约半年后,又做了12个小时的肝胆管结石开腹手术。短时间内历经2次开腹手术,赵女士至今仍心有余悸。

文章插图
切下来的结石重达234克,是迄今为止世界上最大的单颗胆总管结石
术后大概过了三四年,赵女士又开始出现右上腹痛、寒战、发热的情况。每次发作就吃点药、打点针,不敢也不愿再做第三次手术。直到2021年7月初,上述症状再次发作且比之前更为严重,当地医院CT检查提示“胆总管内巨大结石、肝内多发结石”。从当地医生处了解到湖南省人民医院在肝胆管结石的诊断和胆石病钬激光碎石治疗上有独到之处后,赵女士来到湖南省人民医院汪新天主任医师处就诊,随即被收入胆道外二科病房。

文章插图
术后CT显示,结石清除干净。
在充分了解患者的病情和诉求后,首席专家吴金术教授带领胆道外二科团队开展术前讨论,根据术前影像判断,结石位于胆总管内,胆总管出现囊状扩张;患者有数十年的胆道梗阻、感染病史,加之做过2次开腹手术,腹腔内粘连的情况肯定很严重,解剖结构难以辨别,手术难度极大。

文章插图
胆道外二科主任汪新天教授与胡霞红护士长查看患者恢复情况
7月15日,在首席专家吴金术教授的指导下,由汪新天主任医师、陈晨副主任医师、王永博士等组成的手术团队,为赵女士施行“再次胆探,硬镜探查,钬激光碎石,胆肠内引流重建”手术。
术中发现,囊肿与门静脉、肝固有动脉、十二指肠、肝脏、胰腺、胃、结肠致密粘连、融合。专家团队凭借高超技艺谨慎操作,仅用3个多小时便从炎性包块中完整取出一个巨大结石,出血量仅50ml。术后测量显示:结石为12×8×7cm3大小、重234g。资料显示,为迄今为止世界上最大的单颗胆总管结石。

文章插图
“这个手术可以说将失血降至最低,用时最短,对患者打击最小,恢复最快”,术后,胆道外二科护士长胡霞红带领护理团队运用快速康复外科ERAS理念,采用术后多模式镇痛,早期鼓励患者开展机体功能锻炼等措施。术后第二天,患者即可进流食、下床活动;术后第三天复查CT显示:肝内胆管结石已全部取尽,于7月26日康复出院。

文章插图
湖南省人民医院胆道外二科为此病例举行新闻发布会
吴金术教授介绍,蛔虫成虫通常寄生在人体小肠中下段,当宿主遭遇高热、腹泻、饥饿、胃酸度降低、饮食不节、驱虫不当、手术刺激等情况时,均可激惹虫体异常活动,上窜至胆道;加上蛔虫喜碱厌酸,有钻孔习性,如果宿主有胆管炎、结石及括约肌松弛等情况,更易引起成虫钻胆。进入胆道的蛔虫大多数死在胆道内,其尸体碎片、角皮、虫卵将成为以后结石的核心。
- 血压|主动脉夹层可夺命?这五类人是高危人群,需高度重视
- 治疗|糖尿病服药后,出现的低血糖比较严重怎么办?
- 生产|抗幽牙膏卷土重来:变身冷敷凝胶,召回产品再售
- 脏腑|重庆肿瘤专科医院:中医帮你调和气血,平衡阴阳
- 病例|河南省疾控中心提醒:应对奥密克戎,这件事很重要!
- 国人历来重视精神对治疗疾病、养生保健的重要作用|心平气和,有益健康的“良药”
- 虎年到了大家要以养生食补为重,多吃3种好运果,寓意前程似锦
- 人员|我国面临德尔塔奥密克戎双重挑战
- 早餐重要性 不吃到底有多危害健康
- 肿瘤|健康大讲堂丨肿瘤专家袁芃:乳腺癌病因尚不明确 防治重在“三早”
