男子|男子用牙刷取异物,不成想误吞牙刷成更大异物
来源:苏州大学附属第一医院
哈?这也能吞得进去?!凌晨03:50,消化内科值班医生戴晨光接到会诊电话:“有一个患者吞了一支牙刷,麻烦看一下。”
戴医生立马打开手边的电脑,查看患者CT,凌晨朦胧的睡意瞬间全无:“哈?这也能吞得进去?!她是怎么做到的!”
以前只是在文献中读到过,这还是戴医生第一次遇到吞牙刷的患者。由不得半点耽误,他一路奔向急诊五官科,同时也一路思考:牙刷,该怎么取?

文章插图
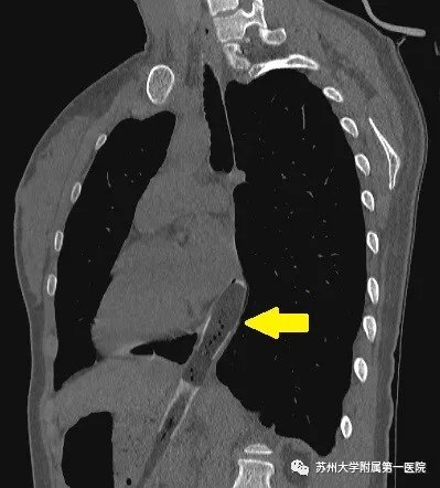
CT提示:牙刷已跨过贲门,一半在食管内,一半在胃腔内
追问病史后得知,该患者在凌晨2点时自觉喉部有异物感,于是尝试用牙刷取异物,结果却不小心将牙刷吞了下去。
如若不及时取出牙刷,则其很可能向下滑入胃内或小肠内而造成严重的并发症。
全过程5分钟,内镜下取出牙刷!与患者及家属充分沟通后,戴医生决定通过胃镜下圈套器套取的方式将这支牙刷取出,并做好外科手术的准备。
戴医生先行胃镜探查,明确牙刷末端位于食管腔内,而刷头端位于胃腔内,整支牙刷约20cm长,横贯于贲门。一旦牙刷整体滑入胃腔,那么整个取异物过程将会变得更加困难。

文章插图
分秒必争!戴医生立即插入圈套器,小心的操控镜身并精准地套取到牙刷柄,后将其完整拖拽出口腔。
整个探查和套取过程总计耗时约5分钟!内镜取异物充分发挥其高效性、实用性和微创性的优点,也为患者避免了外科手术。

文章插图
科普时间:异物天天有,处理需谨慎苏大附一院五官科急诊365天*24小时待命,夜间急诊最常见的就是食道异物,其中以鱼刺卡喉最多,最多时一晚可接诊三十余例。
五官科于亚峰主任表示,一般鱼刺卡在咽喉部,五官科就能解决。但有的患者在第一时间并非医院就诊,而是通过“吞饭团,喝食醋”等土办法处理,此时很容易造成异物随着食道下行。
如果异物进入食道和胃部,需消化科协同处理,如果不慎穿孔,则需胸外科一起会诊,必要时行外科手术治疗,有时甚至危及生命。
消化内科戴医生提醒,上消化道异物是是临床常见急症之一。由于食管的解剖结构上有三个生理性狭窄,故上消化道异物最常发生于食管,且以食管入口处最多见。
成人以鱼刺、禽类骨头、假牙等异物为主,儿童以硬币、玩具等异物居多,而其他异物,尤其是高危异物多由精神异常者、罪犯、毒贩等特殊人群蓄意吞服所致,如刀片、钢签等。
一旦吞入异物,注意了,切不可通过“吞饭团、咽食醋”等土办法或者是包括文中患者用牙刷催吐等方式自行取出异物,需要立即至医院由医生评估其危险性。
医生根据异物的危险性酌情拟定最佳治疗方案。切莫因轻信土法而延误最佳治疗时机,最终追悔莫及。
【 男子|男子用牙刷取异物,不成想误吞牙刷成更大异物】最后,戴医生要告诉广大读者,随着消化内镜技术发展,内镜成功处理上消化道异物的比例越来越高。与传统外科手术相比,内镜处理具有创伤小、并发症少、恢复快、费用低等优点,兼具诊断和治疗的双重价值。
- 免疫|1碗抗癌汤消炎、抗氧化、强免疫!利用大白菜、菇类快速搞定
- 温阳|医生使用这种儿童禁用药致患儿过敏死亡,被判赔偿34万丨医法汇
- 中老年|抖音每天发出上亿次适度使用提醒
- 公司|罗欣药业:子公司注射用美罗培南通过仿制药一致性评价
- 相关|【中国实用外科杂志】肥胖代谢病合并甲状腺癌外科治疗中国专家共识(2021版)
- 脂肪堆积|大腿吸脂快速瘦腿,会有副作用吗?术后需要注意哪些注意事项呢?
- 国人历来重视精神对治疗疾病、养生保健的重要作用|心平气和,有益健康的“良药”
- 常崇旺|【视频回放】脑瘫患者常用外科术式及适应症
- 脚尖|养脾胃就是养命!学古人用最简单的方法来养护,值得收藏
- 浴室里的“它”,可能是癌症帮凶,多数人洗澡时比较喜欢用
