【睡眠|牙齿变灰色是怎么回事?】
文章图片
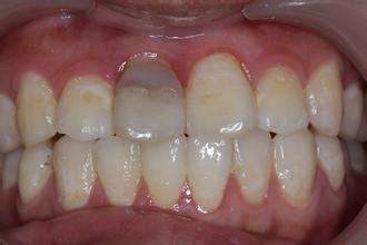
牙齿之所以产生颜色的改变 , 变得灰、黄 , 很大的一个原因是外源性的色素沉着 。 比如说喝咖啡、喝红酒、抽烟等 , 就是外源性色素 。 即便你没有这些习惯 , 你吃的食物当中也会有很多色素 , 它会存留在牙齿表面 , 牙齿就会变得灰、黄或者颜色变暗 。
另外一种情况是内源性因素引起的牙齿变色 , 也就是牙齿当中的神经血管死掉了 , 或者外伤、或者是龋病这些原因使得神经血管死掉了 , 这个牙齿就变成了一个死髓牙了 , 这个时候牙齿就会逐渐地改变颜色 , 变得灰、黄甚至是褐色这样的颜色 。
如果你是外源性色素导致的牙齿变色 , 第一件事就是要去洗牙了 , 通过洗牙将这些色素祛除掉 。
如果你是内源性色素引起的 , 就一定要请医生帮忙了 。 医生有一系列针对这种内源性的牙齿变色的治疗方法和药物 , 通过一系列的治疗可以使牙齿颜色基本上恢复到它正常的颜色 。
如果变色严重 , 掏箱底的办法就是给牙齿做一个套 , 我们叫牙冠 , 这个时候就能把变色的牙齿修复到跟你原本的牙齿颜色一样 , 基本上就是以假乱真的程度 。
- 罕见病例,肺上的一个条索,两年变成肺癌
- 牙齿|中医直言:牙病的根源在胃里,动不动就拔牙是花钱找罪受,其实一个小方法就能解决
- 晨起吃几片生姜,身体会有什么变化?看完你就知道了
- 临沂43岁女子,每天吃洋葱降血脂,一段时间后,她的身体有啥变化
- 一天一杯奶茶,孕妇血液变“奶茶色”……
- 睡眠|你几点睡,就是什么命!(很准)
- 戒酒30天后,身体会发生哪些变化?不妨了解下
- 心跳|想牙齿矫正却被医生劝退,怎么回事?
- 肥西:“绿色颜值”变“增收价值”
- 熬夜|长年失眠的人,这几种食物都别多吃,做到一点也对睡眠大有益处
