肿瘤|核酸检测时发现舌根大肿物,机器人经口手术摘瘤不“毁容”
“这几个月咽口水和吃饭时总觉得喉咙有东西卡住似的 。 后来多亏在社区做核酸检测时 , 检测人员发现我舌根部有巨大肿块 , 建议我尽快到肿瘤医院就诊 。 ”刘女士在中山大学附属肿瘤医院头颈外科门诊告诉宋明主任医师 。
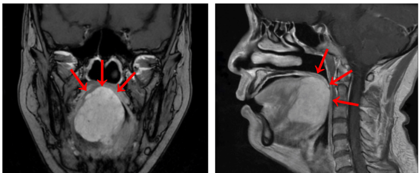
通过专科检查 , 宋明医生发现刘女士的舌根部肿物达到5cm , 几乎占据整个舌根部并向口咽腔突出 。 MRI检查也提示舌根巨大肿块有幼儿拳头大小 , 向前侵犯部分舌体 , 向下侵犯部分口底肌群;活检病理诊断考虑为舌根腺样囊性癌 。 手术摘除是最佳方案 , 但如何即摘巨瘤 , 又保证女患者的容貌 , 中肿团队决定启用手术机器人来辅助 。
文章图片
体格检查和MRI检查均提示刘女士的舌根部肿物已经异常巨大 , 已经开始挤压食道、呼吸道 。
肯定得手术摘瘤 , 但传统术式会“毁容”
舌根、扁桃体、软腭等口咽部肿瘤最常见的病理类型是鳞状细胞癌 , 治疗手段包括手术、放疗、化疗等 。 但刘女士得的这种舌根腺样囊性癌较罕见 , 对放化疗不敏感 , 手术是刘女士的最佳治疗选择 。
面对刘女士舌根部肿物体积巨大的情况 , 宋明陷入了两难:按传统的手术治疗方式 , 刘女士是需要接受开放性手术的 , 但这种术式需要将下唇及下颌骨裂开才能暴露并切除舌根肿瘤 。
这样的传统开放性术式让宋明想到了20多年前刚工作不久时他接诊的一个病情与刘女士类似的患者 。 当年那位患者是一位戏曲演员 , 通过戏曲表演获得了许多观众的支持和仰慕 , 后来不幸罹患舌根癌 , 受限于当时的治疗水平 , 她接受了开放性手术治疗 , 导致其面容受到严重影响 , 再加上术后的发音、吞咽功能恢复情况不理想 , 让其内心深受打击 , 拒绝接触社会 , 最后郁郁而终 。
医者父母心 , 面对才40来岁的刘女士 , 为了避免惨痛经历再次发生 , 宋明决定采用经口机器人手术为其治疗 。
在详细且全面地了解了经口机器人手术的原理以及对比传统开放性手术的特点后 , 刘女士决定接受经口机器人手术切除舌根肿瘤的治疗方式 。 今年7月3日 , 面对复杂病情 , 宋明团队迎难而上、优化经口机器人手术方案及过程 。 手术仅用时90分钟 , 出血量不足50ml , 成功将舌根肿瘤完整切除 , 并保证足够的安全边界 , 而且无需进行气管切开术 。
“不担心术后家人见到我会害怕了”
让医患都欣慰的是 , 手术效果非常理想:刘女士在手术后可以进行语音交流 , 手术后第3天开始经口饮水和进食流质食物 , 没有出现吞咽障碍和呛咳的情况 , 手术后第5天就拔除鼻饲管 , 完全恢复经口饮食 。
文章图片
宋明团队在进行经口机器人手术切除舌根肿瘤
“感谢宋教授团队的尽心救治和呵护 , 我不用担心手术后家人见到我会害怕 。 ”刘女士苏醒后的第一句话让宋明感触良多 。
机器人辅助开通不同的手术入路
经口机器人手术的出现 , 从根本上改变了口咽癌治疗的模式 。 经口机器人手术 , 即在达芬奇机器人手术系统辅助下切除口咽癌等头颈部肿瘤 。 作为一项新兴技术 , 经口机器人手术具有不逊于开放手术和同期放化疗的疗效 , 却具有创伤小、并发症少、术后颌面部无疤痕、吞咽功能恢复快、降低气管切开率等后两者所无可比拟的优点 , 正逐渐成为继同期放化疗和开放手术之后治疗口咽癌等头颈部肿瘤的最重要治疗选择 。
- 检测|溯源结果公布!奥密克戎病例曾收到国际邮件
- 脏腑|重庆肿瘤专科医院:中医帮你调和气血,平衡阴阳
- 检测|刚刚,溯源结果公布!在国际快递中检测出阳性
- 预防肿瘤|夜里温度下降孩子睡不好,多吃营养菜,补虚暖胃,提高抵抗力
- 致癌|十多种肿瘤与“吃”密切相关,看完请注意避开!
- 肿瘤|健康大讲堂丨肿瘤专家袁芃:乳腺癌病因尚不明确 防治重在“三早”
- 检测|刚刚,溯源结果公布!在国际快递中检测出阳性!
- 甘肃|广西崇左、广东梅州发现核酸阳性人员,甘肃疾控紧急提醒
- 检测|为海淀确诊病例派送快件快递员二次核酸检测、家庭采样结果公布
- 香港|广州复大肿瘤医院案例966:香港胰腺癌患者赴广州就医重获新生
