小伙|“我才30多岁啊!”杭州小伙张开嘴,医生一句话让他直掉泪:全都保不住了
“你这一口牙,估计都留不住了,要全拔掉。”
听完医生这句话,30多岁的王建(化名)没忍住,眼泪掉了下来。
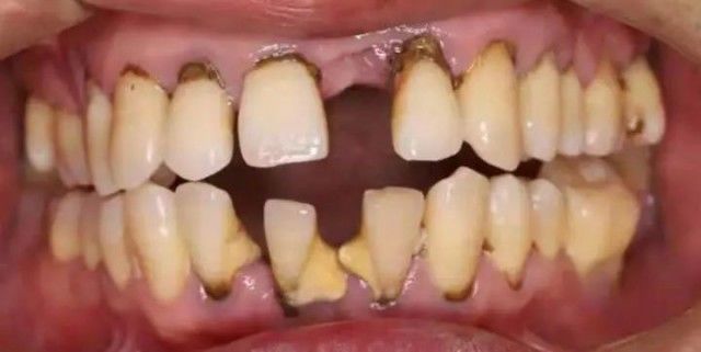
牙齿泛黄、松动,用手轻轻一拉就能拔掉;牙龈出血;一张口,嘴巴里就飘出刺鼻的臭味。仅仅看王建这口牙,很难想象他的主人只是位30多岁的年轻人。王建自己也没想到,三四年的时间,自己的牙齿就这么一点点“报废”了。
今年50岁的刘阿姨特别理解王建,10年前,她有过几乎一模一样的经历,“我失眠,暴瘦10多斤。牙齿治好后,我都有重生的感觉。”牙齿出问题有多难受?王建和刘阿姨最清楚,他们是一群遭受过口腔疾病痛苦的人。
30多岁的他,满口牙保不住了
王建现在仔细回想起来,自己的牙齿大概三四年前开始出问题的。
最开始是牙龈偶尔出血,像很多人一样,他觉得这都不是个事儿。他换了声称可以止血杀菌的牙膏,出血好像停了。
王建平时不怎么喝酒,但抽烟,两天一包。像大多数人一样,他对口腔的管理就是早晚刷牙,刷得多认真也称不上,有时候两三分钟,赶时间可能一分钟就结束战斗。牙线、冲牙器这些产品他几乎没用过,觉得麻烦,又没必要。
牙龈出血像王建生活中的一个小插曲,很快就过去了。又过了一段时间,王建觉得自己吃东西时,会牙痛。先是骨头有些啃不大动,他以为是上火,自己去买了点药。骨头啃不动,王建就吃软一点的肉,平时的饭菜都煮软一些再吃。再往后,王建发现吃软的东西,有时候,哪怕是一口豆腐,也嚼不动。
渐渐地,王建的牙齿出现松动,用舌头顶一下,它就活动。一咀嚼就痛,只有吃流食才不会有不适感。让他困扰的还有,口气越来越严重,他换了很多种清新口气的牙膏,也没多大用处。
这个时候,王建才想起自己要去医院了。
“这是严重的牙周炎,牙龈已经流脓,牙床的骨头已经快被细菌侵蚀没了。满口牙基本都不能保留,需要全部拔掉。” 浙江大学医学院附属邵逸夫医院牙科中心副主任曹筝副主任医师说。“牙齿变成这样,是日积月累造成的,一开始不大重视口腔管理,等问题严重时,已经不可逆了。”
王建当场呆住。

文章插图
牙周病患者的口腔
手掌大的一块地方出血,你可能会立刻去医院
对曹筝来说,王健这样的患者,不是第一个,也不会是最后一位。“我们对牙齿的关爱程度远远不够。”
今年,第32个“全国爱牙日”调查显示,我国90%以上成年人有不同程度的牙周病。
“牙周病其实蛮可怕的,它是牙周围组织结构出现炎症、甚至被毁坏,严重的话,牙槽骨都会没有了,也就是整个口腔环境都遭到了破坏。”曹筝说,牙周病的发展是一个漫长的过程,它被称为沉默的杀手。“很多牙周病患者一开始根本不知道自己的牙齿有问题,他认为我的牙齿还能咬得动东西,就是好的,其实一旦咬不动东西,牙齿已经不行了。”
“蛀牙或者牙齿受伤可能只是拔掉一两颗牙齿,但牙周病是牙齿大环境出了问题,很多时候是牙全军覆没。我们都重视身体其他脏器的毛病,出了一点问题会及时就医,但经常会忽略牙齿的异常。” 邵逸夫医院牙科中心主任盛列平以牙龈出血为例,整口牙龈加起来的面积有手掌这么大,“如果是身体其他部位有这么大面积出血,你肯定很早就去医院了。”
牙齿出血她不在意,为此花掉10几万
刘阿姨(化名)40岁的时候,刷牙时,牙龈出血,“不多,但很频繁,几乎每次漱口都有血丝带出来。”
- 红豆|四九寒天,少吃大鱼大肉,多吃这6种“根菜”,补足营养健康过年
- 口味|给孩子做个“快手菜” 营养丰富,口味独特,提高身体的免疫力
- 潜伏在我们身边的这3种“致癌”蔬菜,看完你还敢继续吃吗?
- 穆罕默德|伊朗首次通报“奥密克戎”感染者死亡病例
- 鲁南制药集团|菏泽医学专科学校“鲁南制药产业学院”揭牌
- 进行|尿毒症多半是“吃”出来的?3种食物尽量少碰,肾或许“感谢”你
- 生活|提醒:肝病多数是“拖”出来的,出现6种表现,最好查一下肝功
- 羊肉|羊肉到底是“致癌杀手”还是“营养佳品”呢?世卫组织揭晓答案
- 心脑血管|大荔中医医院脾胃肺病科“妙手回春”受到患者的称赞
- 心血管疾病|这个病还是“夫妻病”,你知道吗?
