小伙|“我才30多岁啊!”杭州小伙张开嘴,医生一句话让他直掉泪:全都保不住了( 二 )
身边的人都说,牙龈出血很正常,很多人都有。
刘阿姨也就没怎么重视,买了消炎止血的牙膏,虽然没什么用,也就这么一天天过去了。

文章插图
视觉中国供图
大概三四年的功夫,刘阿姨的磨牙出现松动,凡是有嚼劲的肉,都吃不动,牙齿倒不怎么痛,就是用不上力。自己用舌头顶一下,牙齿就会晃动。
“最严重的时候,我除了鱼肉,什么荤菜都不能吃,只能吃烧得很烂的蔬菜、面条、粥,一下子瘦了15斤。”
觉得不对劲的刘阿姨去了医院,“找医生之前,我还觉得应该吃点药就好了。”
医生的诊断结果当时就把刘阿姨吓住了:牙周炎,比较严重,整口牙都要拔掉。
“我绝望了,想想自己以后都没有牙齿了,什么都不能吃了,外貌说不定也会变,想到那个样子,我心都凉了。”
再后来,刘阿姨找到了曹筝,“曹医生说,的确严重,磨牙是保不住了,但其他牙齿可以想想办法。”
最终,刘阿姨拔掉了10多颗磨牙,做了种植牙。整个治疗过程持续了一年多。
“太难受了,治疗是个浩大的工程,但曹医生说还可以想办法,我就积极配合。我很庆幸,我的牙齿还有救。”刘阿姨感叹,这口牙前后花费了10几万,“那个时候,我想,只要能治好,钱都不考虑了。你不知道,我牙齿种植好,立刻胖了20斤。”
如今的刘阿姨特别爱惜自己的牙齿:每天刷牙三次,刷完后还会用牙缝刷、冲牙器冲洗,“我现在刷一次牙按标准刷三分钟,以前一分钟就结束了。看了医生才知道,以前刷牙的方式也不对,40多岁开始,重新学刷牙。”

文章插图
视觉中国供图
牙床上打个小孔,40多岁的他完成牙齿种植
盛列平解释,牙周病和遗传有关,有些人的牙槽骨特别容易被细菌感染,感染之后骨头萎缩,牙齿松动。“这类人群尤其要注意口腔卫生和管理。”
也有些患者来就诊时,显得满不在乎:牙齿坏了,就种植牙。
事情却不是那么简单。
“种植牙不是把坏掉的牙齿拔掉,种植上去就好了。首先需要牙周环境好,如果牙槽骨情况比较糟,种植的难度就会很大;其次种植牙后,更加要做好牙齿护理。因为理论上来说,种植牙牙龈和种植牙之间的密闭性没有天然牙齿的好,所以更加容易细菌残留的,如果患者原来就有牙周病,口腔卫生又不注意的,那么后期感染的机会就很高了。”
盛列平自己也有种植牙,他对种植牙的护理更加细致:除了刷牙、使用牙线之外,他每天都会用冲牙器冲洗,“刷过的牙齿再冲洗,依然会冲出食物残渣。”

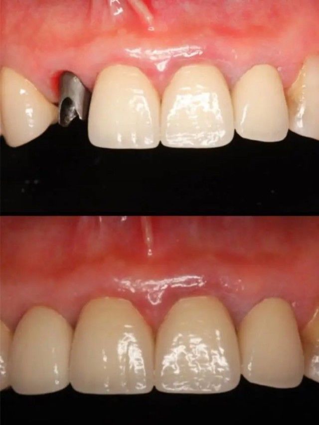
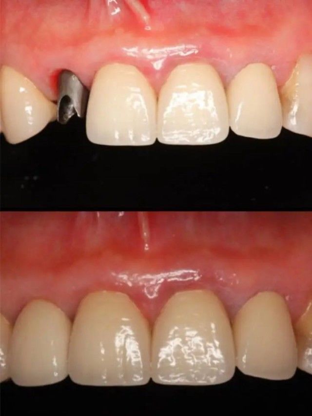
文章插图
侧切牙断裂后拔出即刻种植即刻修复的患者
不过,盛列平也想告诉大家,如果真的需要种植牙,也不用紧张。网络上,很多种植牙的小视频,又是钻又是切开牙床,看起来好像很恐怖,不少人因为此甚至对看牙产生了心理阴影。
“我们现在种植牙会采用三维建模,手术前通过CT数据做好模型,提前设计好种植牙的角度、深度、位置等。种植的时候在微创下就可以完成,基本就是在牙床上打个直径3毫米左右的孔就可以,创伤很小。”
“另外,我们还采用即刻修复方法,就是在种植牙等待愈合期间,为了改善因暂时缺牙而带来的美观问题,我们在种植牙之前会预先为患者做好定制的临时假牙,种植后可即刻带入假牙。”
- 红豆|四九寒天,少吃大鱼大肉,多吃这6种“根菜”,补足营养健康过年
- 口味|给孩子做个“快手菜” 营养丰富,口味独特,提高身体的免疫力
- 潜伏在我们身边的这3种“致癌”蔬菜,看完你还敢继续吃吗?
- 穆罕默德|伊朗首次通报“奥密克戎”感染者死亡病例
- 鲁南制药集团|菏泽医学专科学校“鲁南制药产业学院”揭牌
- 进行|尿毒症多半是“吃”出来的?3种食物尽量少碰,肾或许“感谢”你
- 生活|提醒:肝病多数是“拖”出来的,出现6种表现,最好查一下肝功
- 羊肉|羊肉到底是“致癌杀手”还是“营养佳品”呢?世卫组织揭晓答案
- 心脑血管|大荔中医医院脾胃肺病科“妙手回春”受到患者的称赞
- 心血管疾病|这个病还是“夫妻病”,你知道吗?
