川观|四川省人民医院完成超长时间缺血断掌再植术
川观新闻采访人员 石小宏
8月26日,在省医院接受断掌再植手术的陈先生,经过术后两周的康复,准备出院。

文章插图
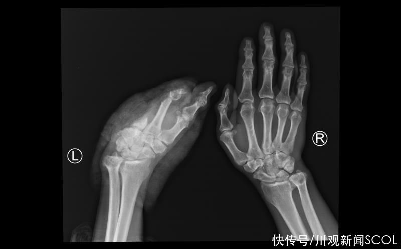
55岁的患者是西藏昌都人,8月9日下午,因车祸伤导致左手掌完全离断,因当地医院无再植医疗条件,经过初步处理后,采用疫苗冷链箱保存离断肢体,患者搭乘飞机于8月10日下午到四川省人民医院骨科急诊入院。

文章插图
一般断肢再植的最佳时机是伤后6-8小时,而该患者来院时离断肢体缺血时间已经超过24小时,且车祸伤导致的残端不规则,再植手术难度大,术后出现并发症的风险高。

文章插图
【 川观|四川省人民医院完成超长时间缺血断掌再植术】骨科肖成伟博士团队请示骨科胡豇主任,开展科内讨论后,决定冒着风险,做一次尝试性再植,给患者一次机会。经过积极的术前准备,在麻醉手术中心等相关科室的支持下,肖成伟博士团队很快开始了急诊再植手术。经过显微镜下长达6个半小时的奋战,一共吻合重建了3根动脉,6根静脉,5根神经,14根肌腱。8月11日凌晨2点,患者离断肢体恢复血供,再植手术获得初步成功。
术后一周,再植肢体安全度过了术后发生血管危象的可能。目前,再植肢体完全存活,其他功能也在逐步恢复中。据主刀医生介绍,康复后,患者虽然不能进行精细动作,但一般的生活自理是没问题的。
- 人员|速扩!江西疾控刚刚发布新冠疫情紧急风险提醒!这些人须集中隔离!
- 血压|主动脉夹层可夺命?这五类人是高危人群,需高度重视
- 过量食肉带来的危险 你知道么
- 帅哥|软萌弟弟变成漫撕肌肉帅哥?这些男星健身后的身材太迷人了!
- 猪油渣能不能吃?健不健康?很多人都不明白,现在知道还不晚
- 50岁后,寿命“短”的人往往有4个共性,若你一个不占,那很幸运
- 国人历来重视精神对治疗疾病、养生保健的重要作用|心平气和,有益健康的“良药”
- 救治|广东珠海:奥密克戎感染后症状相对较轻 新增病例年轻人偏多
- 护发|吃“猕猴桃”好处多多,但有3类人不能多吃,现在知道还来得及!
- 丝瓜|常吃丝瓜对身体好,但丝瓜不能与一物同吃,爱吃的人得忌口了!
