颈动脉内膜|“血管老化”的五大常见征象,您有吗?及时干预,哪些药物可选?
在很多人的观念当中,年龄似乎是衡量衰老的唯一尺度。但大家又不得不承认,经常可以遇到身体状况与年龄并不相符的人。

文章插图
事实上,在人体内,不同组织器官之间的老化程度也可以存在明显的差异。血管尤其是动脉血管的老化是近年来大家都非常关心的,这是因为血管老化被认为是心血管疾病的关键危险因素,而心血管疾病仍旧是人群致死的首要原因。

文章插图
血管老化有哪五大常见征象?从发生机制上来说,血管老化其实主要是血管内皮细胞以及血管平滑肌细胞老化的结果。
在显微镜下观察老化的血管,可以发现整个血管的内膜增厚、血管平滑肌细胞排列紊乱还有胶原纤维沉积增多。而这些改变则会让动脉血管在功能上表现为僵硬度增加并且弹性减弱。

文章插图
那么,在日常生活当中或在健康体检结果里,一般有哪些我们看得见的血管老化表现呢?
第一个要说的,是大家也都会想得到的,它就是“高血压”。高血压常常都是血管老化的表现之一,与此同时,高血压又可以反过来促进血管老化的发展。

文章插图
不过,高血压的特点不同,有时候可以反映出血管老化程度也存在差异。一个很典型的例子就是,老年性高血压常常表现为高压(收缩压)很高,而低压(舒张压)偏低,高压与低压的差值也就是“脉压差”很大;而中青年高血压则常常与之相反,容易表现为高压不太高,但低压偏高,“脉压差”较小。因此,也有医生认为脉压差越大代表血管越硬,老化程度越高。
所以,简单来说就是,有高血压的人群比没有高血压的人群血管老化程度更高;而在高血压人群当中,脉压差越大的,往往血管老化越严重。

文章插图
第二个,也是大家很熟悉的,叫做“颈动脉斑块”。一般,颈动脉斑块是通过健康体检当中的颈动脉超声检查来发现的。
颈动脉斑块是人体内发生动脉粥样硬化的明确证据,这往往意味着血液当中低密度脂蛋白胆固醇这类“坏胆固醇”已经渗透进了血管内膜。动脉粥样硬化不仅是血管老化的表现,也提示心脑血管疾病的风险大大增加。

文章插图
第三个要说的是“颈动脉内膜中层增厚”,它是除了颈动脉斑块以外,常常被颈动脉超声发现的另外一种异常。

文章插图
一般来说,不同年龄阶段的人群,其颈动脉内膜中层厚度的参考值是有所不同的。比方说,40-49岁的人群,理论上颈动脉内膜中层厚度应该小于0.7mm;50-59岁的人群小于0.8mm;而60岁以上人群小于0.9mm。
理论上而言,颈动脉内膜中层增厚是血管老化的标志性结构改变,血管老化越快,颈动脉内膜中层厚度的增长速度也会越快。

文章插图
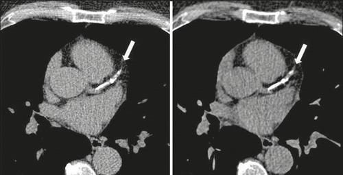
第四个要说的是“动脉钙化”,动脉钙化在人群当中也很常见。很多时候是在体检报告的胸部X光片或CT扫描结果里,可以看到“主动脉钙化”、“冠脉钙化”等提示。
钙化的本质是钙质在血管壁内的沉积,这被认为是动脉硬化的明确信号,同时也是血管老化的表现。

- 红豆|四九寒天,少吃大鱼大肉,多吃这6种“根菜”,补足营养健康过年
- 口味|给孩子做个“快手菜” 营养丰富,口味独特,提高身体的免疫力
- 潜伏在我们身边的这3种“致癌”蔬菜,看完你还敢继续吃吗?
- 穆罕默德|伊朗首次通报“奥密克戎”感染者死亡病例
- 鲁南制药集团|菏泽医学专科学校“鲁南制药产业学院”揭牌
- 进行|尿毒症多半是“吃”出来的?3种食物尽量少碰,肾或许“感谢”你
- 生活|提醒:肝病多数是“拖”出来的,出现6种表现,最好查一下肝功
- 羊肉|羊肉到底是“致癌杀手”还是“营养佳品”呢?世卫组织揭晓答案
- 心脑血管|大荔中医医院脾胃肺病科“妙手回春”受到患者的称赞
- 心血管疾病|这个病还是“夫妻病”,你知道吗?
