老汉|吃菠萝蜜不吐核 漳州一八旬老汉引发肠梗阻
闽南网9月2日讯(闽南网采访人员 梁政 通讯员 黎斌 方美娟 黄坤镒 文/图)“以后可不敢吃东西不吐核啦!”9月2日,在第909医院普通外科病房里,来自漳州南靖县的吴老汉感慨道。前不久,年近八旬的他在吃菠萝蜜时连同果核一起吞进去引发了肠道梗阻,而其特殊的肠道结构,又导致他不得不接受外科手术治疗才得以痊愈。
据吴老汉介绍,8月16日当天,他在吃菠萝蜜时,无意中将一粒果核吞进了肚里。由于吞完后身体无任何异常情况,同时怕说了之后家里人会担心,他便没有去声张。谁知,在接下来的四天里,吴老汉都没法正常地排便、排气,还逐渐出现了上腹部的剧烈胀痛。在当地医院检查怀疑是肠梗阻,可在采取灌肠、补液等诊疗措施后依旧没有好转。

文章插图
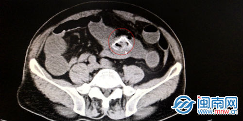
8月21日,吴老汉被转入第909医院继续治疗。在进一步完善相关检查的基础上,该院消化内科和普通外科的值班人员组织了紧急会诊,结果发现患者的小肠内有一个高密度的异物,因其肠道内有多个呈凹陷状的憩室,而异物不偏不倚地卡在了其中的一个憩室里动弹不得,从而将整个肠道都死死地堵住了。
考虑到常规的肠镜方式够不着异物,加上异物已经在患者体内存留了数天,若采取保守治疗的方法可能会引发肠道穿孔、出血等诸多风险。在综合上述各种因素后,医务人员在征得患者及其家属同意的情况下,决定以外科手术的方式实施剖腹探查来将异物取出。术中,医务人员先在发现小肠异物的部位将肠管切开,然后取出了一粒开始糜烂的异物,剥开后证实是菠萝蜜核,紧接着是对肠腔的内容物一一清理排空。
【 老汉|吃菠萝蜜不吐核 漳州一八旬老汉引发肠梗阻】在此,负责手术的普通外科主治医师薛小军提醒,像菠萝蜜核这类体积较大的果核,往往不易消化,尤其老人、小孩或肠道功能较差的群体不可贸然尝试吞食,一旦堵住肠道,轻者造成肠梗阻,重的会引发一系列身体危害。
- 红豆|四九寒天,少吃大鱼大肉,多吃这6种“根菜”,补足营养健康过年
- 排毒|想长寿要会吃,三种蔬菜,常吃清理肠胃,排毒润肠,不妨一试
- 鸡蛋清性|每天晚上不妨多吃三种食物,营养丰富,延缓衰老,好吃又不贵!
- 肌肤|女性不愿老太快,坚持多吃3种食物,滋补身体,好处多多!
- 排毒|女性要排毒,推荐多吃4种食物,养护皮肤,祛皱美容,血管更通畅
- 肝明目|秋冬常吃这3样益处多多,健胃促消化 ,营养不流失 ,吃了都说好
- 零下度|冬季天气寒冷身体变虚弱了,多吃家常菜,补血养肝有利健康
- 潜伏在我们身边的这3种“致癌”蔬菜,看完你还敢继续吃吗?
- 饮食习惯|咸鱼腊肉很好吃,但吃多了真的会致癌?牢记3点,或无后顾之忧
- 进行|尿毒症多半是“吃”出来的?3种食物尽量少碰,肾或许“感谢”你
