医生|男子突发脑梗,入院就下了病危,医生直言这''习惯''害了不少人
相信不少人对脑梗都不陌生,脑梗是一种严重的血管疾病,与脑出血统称为中风。脑梗,是由于大脑中血管出现堵塞,使血液和氧气供应异常,导致脑组织缺血性损伤。

文章插图
血管出现堵塞,并不是一朝一夕会形成的。随着年龄的增长,血管内的''废物''会越来越多,长期累积在血管中,血管壁会受到损伤,出现炎症等反应,血流会减慢,血栓逐渐发生,使得血管严重堵塞。临床研究表明,当血管堵塞小于70%时,人体通常没有任何感觉。当堵塞超过70%时,身体开始出现各种不适,但这时一定要警惕,这表明血管堵塞已经很严重了。

文章插图
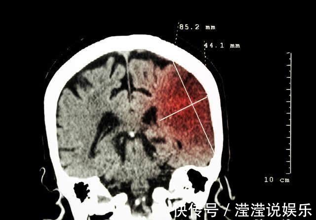
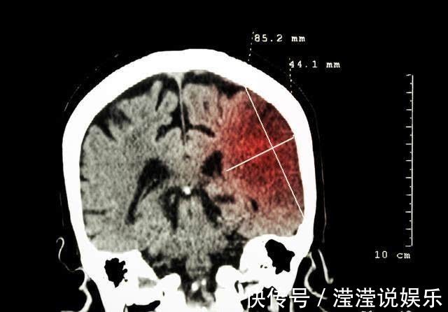
43岁的罗先生早上起床上厕所时,突然发现自己讲话困难,身体的右侧无法移动,他只能活动左侧身体,还没能给妻子求救信号,就昏了过去。妻子看到时,立即拨打120救护车,这时已经过去很久了。医生到达后,初步诊断是脑血管疾病。当到达医院后,检查了脑CT,果然如医生所言,诊断结果为急性脑梗塞!

文章插图
医生立即进行了静脉溶栓治疗,但由于罗先生脑血管堵塞严重,耽搁时间过长。抢救过程中很惊险,家属随即接到病危通知书。溶栓治疗后约2小时,罗先生病情得到缓解,意识逐渐觉醒,四肢肌力也在慢慢恢复。病情好转后,就被转到住院部。在此期间,对罗先生进行了脑血管造影,发现罗先生在脑血管已严重狭窄。幸好及时送到医院,否则很可能危及生命。

文章插图
在了解患者情况后,医生直言:这种''习惯''已经害了不少人,那就是吸烟,而排便时吸烟,对身体的伤害更严重!平时罗先生的身体很健康,没有明显的疾病征兆。但是他非常喜欢吸烟,几乎每天会吸两包烟。尤其是在工作压力大时,吸烟量更大,也没有定期体检的习惯,这才导致突发脑梗,让人措手不及。

文章插图
吸烟等于慢性自杀!吸烟对身体造成的损伤,很多人会不以为然。然而数据显示,与非吸烟者相比,吸烟者患癌症和心血管疾病的死亡率高出90%。吸烟是中风的独立危险因素。据报道,吸烟者中风的风险是非吸烟者的2-3.5倍;如果吸烟和高血压同时发生,中风的风险会增加近20倍。

文章插图
吸烟会使人上瘾,主要与其含有的尼古丁成分有关,会刺激大脑的中枢神经系统并刺激多巴胺的分泌。长期大量吸烟者,大脑皮层活动的兴奋和抑制过程的平衡被打破,植物神经会出现功能失调,这会造成注意力分散,思考不集中,疲劳,失眠,记忆力减退,手麻等神经衰弱症状。

文章插图
吸烟会增加血液粘度,心脑动脉痉挛,增加血液中胆固醇的含量,加快动脉硬化,并诱发冠心病和中风。需要格外提醒的是:排便时吸烟对身体更有害!1,加重心脑血管疾病厕所中有许多细菌,氨浓度高,氧含量低。在低氧状态下,香烟会产生更多的二氧化硫,一氧化碳等,与厕所中的有毒气体和致病菌一起被吸入肺部,这对身体更有害。

文章插图
专家指出,在厕所吸烟的冠心病患者,可引起心绞痛和急性心梗发作。2,容易出现便秘在厕所吸烟会增加体内尼古丁的含量,从而减弱肠道蠕动。如果长时间依赖吸烟排便,一旦缺乏尼古丁的刺激,肠蠕动会迅速减慢,很容易导致便秘发生。
- 卫生室|《乡村医生诊疗口袋书(先行本)》面世
- 温阳|医生使用这种儿童禁用药致患儿过敏死亡,被判赔偿34万丨医法汇
- 肠镜|肠镜选无痛好还是普通好?二者有何区别?不妨听听医生的分析!
- 需求|预约诊疗 | 齐齐哈尔市中医医院1月17日—1月23日医生出诊一览表
- 一喝水,尿就多,是代表肾脏好还是不好?听听医生的分析
- 问题|常年抽烟没异常,戒烟后却浑身难受,怎么回事?医生说出了原因!
- 失眠者|长期失眠等于慢性自杀!医生建议:6种食物多吃点,帮你找回睡意
- 伯伯|“ 等我长大了,也要当像您一样的医生 ”
- 冬季突发心梗,8种自救方法,哪种才是正确做法?为家人转存
- 风险|临床医生说科普丨如何区别乳腺增生和乳腺癌
