段长|脊柱多段长肿瘤业已压迫神经,中肿专家妙手拆弹抢救脊髓功能
骤然下肢无力两年 , 经当地医院诊断发现是 “脊柱肿瘤” 。 可在手术时患者出血凶猛不得不终止手术 。
【段长|脊柱多段长肿瘤业已压迫神经,中肿专家妙手拆弹抢救脊髓功能】中山大学肿瘤防治中心脊柱肿瘤王晋教授通过详细检查发现 , 患者的脊髓重度压迫神经已有下肢瘫痪风险 , 在强大的多学科支持下 , 手术团队通过结扎肿瘤滋养血管等手段 , 成功切除跨越了多个胸椎节段的肿瘤 , 并成功保住了患者的下肢功能 。
文章图片
文章图片
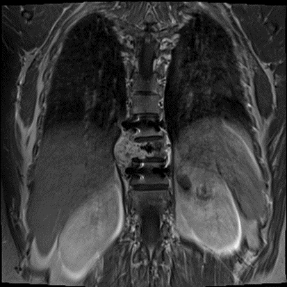
肿瘤累计3段胸椎 , 已明显压迫脊髓
在门诊接诊到患者卜女士时 , 她的下肢无力已经颇为严重 。 随后进行的影像检测又发现了许多不好的征兆:肿瘤累及3个胸椎、已经明显压迫脊髓、肿瘤体血供丰富……必须尽快手术解除压迫以抢救脊髓功能 。
鉴于卜女士上次手术的凶猛出血以及病理诊断仍不明确的情况 , 王晋教授立即召集了多学科讨论 。 影像科艾飞、张赟以及尹韶晗三位医生明确了影像学特征支持中间性或低度恶性肿瘤 。 由于肿瘤与硬脊膜关系密切 , 放疗科李巧巧副主任医师制定了术后的放疗计划 , 以最大限度地降低复发率 。
经过缜密的术前规划 , 在手术麻醉科曾维安教授团队和刘艳玲护士长护理团队的协作下 , 王晋教授带领团队开始为卜女士拆弹 。
文章图片
当常规剥离显露椎板时候 , 出血明显比往常增加 , 预示着这个肿瘤是一个明显富血供的肿瘤 , 术中如不能很好控制出血 , 将带来凶险的大出血 。 于是 , 王晋与麻醉团队及时沟通术中情况 , 并做好了输血的各项准备 , 保证卜女士稳定的血流动力学 。
王晋团队首先精准寻找并结扎肿瘤的滋养血管 , 显著减少肿瘤的血管 , 再应用超声骨刀技术和双极精准止血技术 , 进一步减少出血 , 在实时监控脊髓功能条件下 , 成功切除肿瘤 , 实现了三节段胸椎整块切除 , 手术耗时4个小时 , 术中出血仅为1800ml 。
拆除压迫神经的肿块后 , 她恢复行走能力
令人欣慰的是 , 卜女士术后生命体征平稳 , 术后仅仅在ICU观察了1天便转回普通病房 。 术后病理结果显示 , 卜女士的脊柱肿瘤为梭形细胞血管瘤 , 属于良性肿瘤 。 经过16天的住院康复护理 , 卜女士的下肢肌力达到3级 , 可以出院啦!
术后经过4周的肌力康复锻炼 , 卜女士的下肢肌力明显改善 , 已恢复至4级肌力(正常为5级) , 行走能力也得到了恢复 , 卜女士和女儿终于露出了久违的笑容 。
脊柱肿瘤是指发生于脊柱的原发性及继发性肿瘤 , 绝大多数青少年脊柱肿瘤为良性 , 而中老年患者恶性肿瘤可能性大 。 脊柱良性肿瘤和恶性肿瘤均可累及椎体和后方结构 。 原发性良性脊柱肿瘤一般进展慢 , 病程长;恶性脊柱肿瘤则进展较快 , 病程短 , 临床症状出现较快 , 约占每年新增恶性骨肿瘤的10% 。
脊柱是全身的支柱骨骼 , 可分为颈椎、胸椎、腰椎、骶椎和尾椎 , 位置深在 , 其周围有大血管和脊髓等重要结构 , 手术风险大 。 脊柱肿瘤患者可出现局部疼痛、局部肿块、脊柱畸形以及瘫痪等表现 , 如就诊不及时 , 后果严重 。 脊柱肿瘤手术是肿瘤外科学的高难度手术 , 是学科学术水平的体现 , 如果不经过缜密的术前计划 , 不仅会引起危及生命的大出血或瘫痪 , 还会增加肿瘤复发率 。
- 红豆|四九寒天,少吃大鱼大肉,多吃这6种“根菜”,补足营养健康过年
- 鸡蛋清性|每天晚上不妨多吃三种食物,营养丰富,延缓衰老,好吃又不贵!
- 肌肤|女性不愿老太快,坚持多吃3种食物,滋补身体,好处多多!
- 排毒|女性要排毒,推荐多吃4种食物,养护皮肤,祛皱美容,血管更通畅
- 肝明目|秋冬常吃这3样益处多多,健胃促消化 ,营养不流失 ,吃了都说好
- 零下度|冬季天气寒冷身体变虚弱了,多吃家常菜,补血养肝有利健康
- 饮食习惯|咸鱼腊肉很好吃,但吃多了真的会致癌?牢记3点,或无后顾之忧
- 患上糖尿病|隔代也会遗传糖尿病?关于糖尿病的5个冷知识,你了解多少?
- 进行|尿毒症多半是“吃”出来的?3种食物尽量少碰,肾或许“感谢”你
- 散装火锅料 安全隐患多
