手术|男子就医意外发现自己是罕见“镜像人”,五脏六腑全长反,医生这波“反向操作”厉害了

文章插图
“镜像人”,其心脏、肝脏、脾脏、胆等器官的位置与正常人相反,如同正常脏器的“镜中像”。
近日,上海市第一人民医院南部心脏及大血管外科收治了一位先天性心脏结构异常(镜像右位心)患者,并成功为其实施了室间隔缺损修补术。
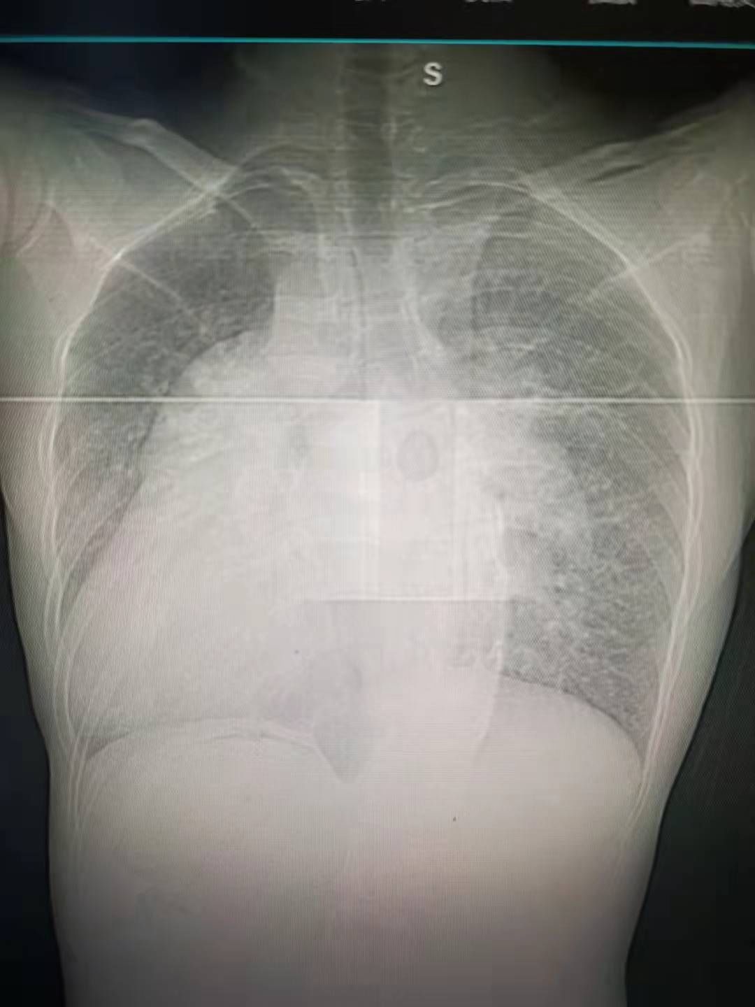
接受手术的男性患者今年27岁,因先天性脊柱侧弯来市一医院南部脊柱外科就诊,完善术前准备时发现患者为“镜像右位心”,合并有膜周部大室缺(左向右分流)、重度肺动脉高压(收缩压108mmHg)。腹部超声提示内脏位置倒转,是一位典型的“镜像人”,同时合并有先天性脊柱侧弯,情况十分罕见。
由于患者室缺合并重度肺动脉高压,行脊柱手术风险巨大,需要尽快行心脏手术修补室缺。于是,脊柱外科将患者转入心脏及大血管外科进一步治疗。
市一医院心脏及大血管外科执行主任(南)叶一舟接诊患者后,认为这位患者需要尽快接受手术。由于患者为“镜像右位心”,手术习惯跟平常完全相反,需要严密做好手术预案,完善术前准备,做到万无一失。
手术当日,在麻醉科、手术室护理组的通力配合下,叶一舟团队为患者实施了室间隔缺损修补术。

文章插图
术中发现患者全心增大,肺动脉增粗、压力增高,探查室缺发现膜周部巨大室缺,大小约3*3.5厘米,手术团队随即应用涤纶补片成功修补室缺。
【 手术|男子就医意外发现自己是罕见“镜像人”,五脏六腑全长反,医生这波“反向操作”厉害了】手术十分顺利,患者术后被送至监护室观察康复。术后第一天,患者即顺利拔除气管插管,第三天转入普通病房继续治疗,复查心超提示镜像右位心、室缺修补术后,未见残余漏,肺动脉压降至50mmHg,并于近日出院。
据悉,镜像右位心又称“真正右位心”,其主要特点是右位心伴内脏反位,即心脏和大血管的位置关系以及胸腹腔脏器的位置完全倒转。该病常单独作为一种心脏畸形存在,但无症状出现,亦可无血液动力学改变,可不治疗。部分病例可合并其他心血管畸形,如大动脉转位、右室双出口、房间隔缺损、室间隔缺损等,并发率常低于10%,需要及时手术治疗。
镜像右位心的室缺手术相对来说难度较大,原因有二:其一是因为通常上下腔静脉位于身体右侧即术者同侧,建立体外循环较易;而右位心的室缺患者腔静脉位于身体左侧,操作起来比较困难;其次,面对普通室缺,术者在修补室缺时不需变换体位即站在患者右侧即可。
而镜像右位心室缺患者建立体外循环时,术者是站在患者右侧的,在阻断升主动脉后则需换位至患者左侧,同时操作时所用针法亦较平时相反,加大了手术难度。
此次“镜像右位心”罕见病例的成功救治,充分显示了市一南部心脏及大血管外科的综合诊治水平。
编辑:储舒婷
责任编辑:唐闻佳
图源:院方供图
- 香港|广州复大肿瘤医院案例966:香港胰腺癌患者赴广州就医重获新生
- 胶质瘤是脑内最常见的恶性肿瘤之一|胶质瘤能治好吗?复发后有必要再次手术吗?医生说了实话
- 主动|当代职场人健康大观:就医不主动,养生很积极
- 海绵状血管瘤|一例脑干海绵状血管瘤的手术陷阱
- 手术室冷知识:一台15万的手术,主刀医生能拿多少钱?涨知识了
- 小林|男子一晚呼吸暂停176次?睡觉打鼾并非好事,背后或与这3件事有关
- 手术|【病例-三叉神经痛】“一颗雷”埋在身上20余年,MVD手术治愈
- 采血量|【本埠】年采血量超14吨!这些血液为汕头市32家医院手术提供保障
- 杭州男子总是“想女友”,竟是因为大脑……
- 骨科|送医院四面锦旗!东莞一72岁老人患有股骨头坏死,医院克服手术风险给治好了
