患者|从肺结节到肺癌,10个月影像记录,提醒我们正确对待肺结节处理( 二 )

文章插图
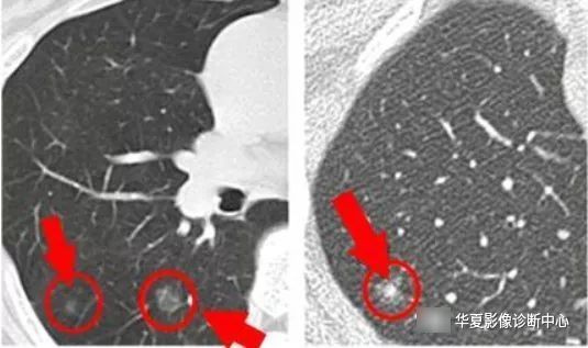
3、孤立的部分实性密度GGO,特别是实性成分大于5 mm者,3月后复查,发现病变增大或无变化时,应考虑恶性病变可能。一组资料显示,部分实性密度结节,恶性的可能性为63%,而纯的GGO为18%。大的纯GGO大多数为侵袭性病变。女性和年轻患者常为炎症。不推荐CT引导穿刺。术式推荐胸腔镜楔形手术或肺段切除,不推荐肺叶切除。

文章插图
4、多发小于5 mm的边缘清晰的GGO,应采取比较保守的方案,建议2年及4年后随诊。

文章插图
5、多发纯GGO,至少一个病变大于5 mm,但没有特别突出的病灶,建议3月后复查,且长期随诊,至少随诊3年。

文章插图
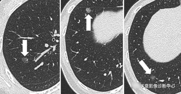
6、有突出病灶的多发GGO,主要病变需进一步处理。首次3月后复查,病灶若持续存在,建议对较大病灶给予更积极的处理,尤其是病灶内的实性成分大于5 mm者。术式推荐胸腔镜楔形手术或肺段切除。术后病人每年随诊,至少持续3年。对于肺内的磨玻璃密度结节,目前最重要和最需要解决的问题是可能存在过度治疗。
- 脂肪肝患者|脂肪肝能不药而愈?关于脂肪肝,这4个错误认知要避免
- 肺炎|遵义120教你肺炎伴胸膜炎怎么办
- 心脑血管|大荔中医医院脾胃肺病科“妙手回春”受到患者的称赞
- 小儿咳嗽可不都是肺热?小儿咳嗽也分好多种,你知道吗
- 救治|丨绿色通道丨多学科通力合作抢救无保护左主干前壁心梗患者
- 常崇旺|【视频回放】脑瘫患者常用外科术式及适应症
- 运动神经元患者案例分享
- 人工心脏|山东首例人工心脏植入患者出院,需每天充电
- 领导|邵阳召开强化新冠肺炎定点救治医院管理工作视频会议
- 克星|颈椎病的克星:聊聊颈椎那些事,让颈椎病从此和你说拜拜!
