惠州|肾友的“透析生命线”堵了!关键时刻,一个电话解决了大难题
近日 , 惠州市第三人民医院成功开展首例人工血管动静脉内瘘超声引导下经皮球囊扩张血管成形术+血栓取栓术 , 为终末期肾病患者的血管通路维护提供了新方向!

文章图片

文章图片
病例回顾
2021年9月底 , 惠州三院肾内科接到一个外院透析患者家属的紧急电话 。 患者 , 男 , 65岁 , 因“维持性血液透析3年余 , 内瘘震颤消失8小时”入院 。
该患者患糖尿病肾病、慢性肾脏病5期 , 已行维持性血液透析3年余 , 现每周行2次规律血液透析 , 1年前发现长期血液透析导管流量不佳后在外院行左上臂人工血管动静脉内瘘成形术 , 顺利完成透析 。
【惠州|肾友的“透析生命线”堵了!关键时刻,一个电话解决了大难题】当日 , 患者如约到某医院透析中心行血液透析 , 但医生发现患者左上肢人工血管动静脉内瘘震颤及杂音消失 , 不能顺利穿刺 , 无法进行透析 。 为寻求紧急帮助 , 家属拨打了惠州三院肾内科的电话 。
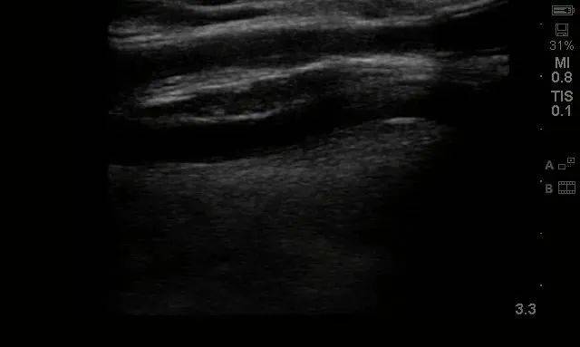
患者来院后 , 医生为其查体 , 左上臂为人工血管动静脉内瘘术后 , 触诊可及“U”型人工血管内瘘成条索状 , 质硬 , 无法触及震颤及听及血管杂音 , 考虑人工血管动静脉内瘘急性闭塞 。 而急诊彩超也提示:人工血管内充满血栓 , 无血流 , 同时合并回流贵要静脉狭窄(图1、图2) , 遂收住院拟行动静脉内瘘经皮球囊扩张血管成形术+血栓取栓术 。

文章图片
图1:术前彩超报告

文章图片
图2:术前回流贵要静脉-人工血管吻合口处狭窄并血栓形成
对于此例患者 , 肾内科医疗团队进行了术前讨论 , 考虑此次人工血管内瘘闭塞与吻合静脉吻合口狭窄合并形成血栓形成有关 。
术中 , 医生行超声引导下人工血管静脉穿刺区、动脉穿刺区近吻合口处双向穿刺并置入导管鞘 , 用双腔取血栓导管forgarty经导管鞘置入取出人工血管内血栓 , 然后取出forgarty导管 , 经导管鞘送入球囊扩张导管 , 自AVG动脉吻合口起至导管鞘置入处 , 对AVG全程进行血栓的挤压 , 同时纠正AVG内狭窄病变 。
术后彩超示:吻合口狭窄消失 , 上肢人工血管动静脉内瘘通畅 , 震颤及杂音良好 , 测血流量890ml/min(图3) 。

文章图片
图3:术后血流量
术后当天 , 患者即可使用人工血管内瘘透析 , 避免了经静脉置管透析的痛苦 。

文章图片

文章图片
患者术后当天即开始正常透析
血液透析是尿毒症患者最主要的肾脏替代治疗方法 , 良好的血管通路是保证顺利血液透析的关键 。 自体动静脉内瘘是血管通路的首选 , 但当患者自体血管耗竭无法行自体动静脉内瘘时 , 可考虑行人工血管动静脉内瘘 。
惠州三院肾内科主任姚筱介绍 , 人工血管动静脉内瘘失功最常见的原因之一就是静脉端吻合口狭窄 。 此例患者是很典型的病例 , 经过我们取栓以及多次行球囊扩张后狭窄解除 , 血流通畅 , 恢复了患者的透析生命线 , 能满足患者正常的血液透析治疗 。
- 口味|给孩子做个“快手菜” 营养丰富,口味独特,提高身体的免疫力
- 潜伏在我们身边的这3种“致癌”蔬菜,看完你还敢继续吃吗?
- 隔离|如何帮治疗、隔离中的孩子做好心理调适?专家给出建议
- 饮食习惯|咸鱼腊肉很好吃,但吃多了真的会致癌?牢记3点,或无后顾之忧
- 患上糖尿病|隔代也会遗传糖尿病?关于糖尿病的5个冷知识,你了解多少?
- 宜温阳|郭德尚:肝硬化腹水的主要病机
- 治疗|糖尿病服药后,出现的低血糖比较严重怎么办?
- 进行|尿毒症多半是“吃”出来的?3种食物尽量少碰,肾或许“感谢”你
- 过量食肉带来的危险 你知道么
- 生活|提醒:肝病多数是“拖”出来的,出现6种表现,最好查一下肝功
