老太太|60岁老太太右膝痛了20年,一直治标不治本,结果查出这些问题
今天要说的这个病例,是让人难以置信的。60岁的老太太,右膝疼痛20年,期间所做治疗大多为保守治疗。当然,这的确是在一定程度上缓解了患者的疼痛,但想要治标治本,还得找出病因,从根本出发,该手术时就要手术。

文章插图
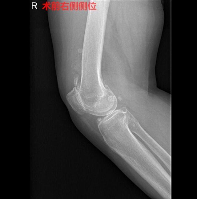
20年前,患者偶感右膝疼痛,无交锁及肿胀。15年前因疼痛加重于当地医院就诊,予止痛治疗,之后断断续续,但一直没有进行大的治疗。前几个月,患者因右膝疼痛及交锁情况逐渐加重,于是来我院就诊。入院诊断:1.右膝关节疼痛交锁查因;2.右膝关节骨性关节炎;3.膝关节游离体(右);4.左腘窝肿物性质待查;5.颈椎病。

文章插图
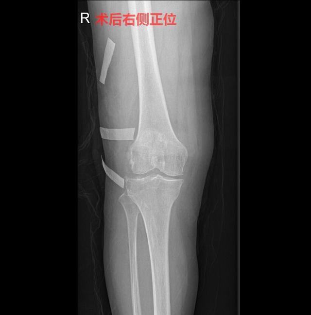
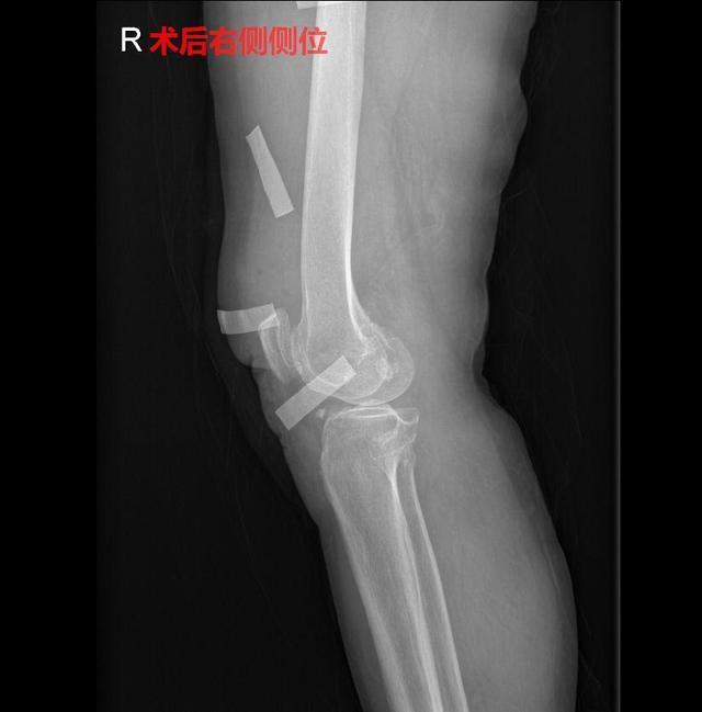
完善检查后,与家属沟通,随后进行手术治疗,在腰麻下行右膝关节镜检治疗术+切开清理术,术中见右膝关节内滑膜增生,关节内多发软骨性、骨性游离体,各骨关节软骨磨损剥脱,骨赘形成。予清理滑膜,取出游离体,切开探查并清理股骨内外侧骨赘,术后予止痛、止吐、护胃、补液等对症治疗。

文章插图
目前,患者术后恢复良好,右膝切口轻微疼痛,右膝肿胀,未见明显手术并发症,已可下地活动。建议患者注意休息,均衡饮食、加强营养,循序渐进行患肢功能恢复锻炼,避免摔跤及剧烈运动。
- “60岁后,两不交,三不碰”,怎么理解?若能做到,健康受益
- 60岁以上的人中,多少人会长颈动脉斑块?该咋办?听医生告诉你
- 心脑血管疾病|冬天是老年人的“夺命坎”,60岁后注意做好5件事,平安过冬
- 小女儿|60岁老人,查出肠癌晚期,医药费每天一万,家属无奈放弃治疗
- 山药|谁说长寿没有“征兆”?60岁以后还能做这4件事情,多半会长寿
- 筷子|“我以为性命不保了!”福建60岁阿婆将筷子插入肛门,喷出大量鲜血!真相苦不堪言...
- 阿姨|60岁阿姨患癌1年,复查时结果理想,大夫只因常吃3种蔬菜!
- 图文|“我以为性命不保了!”福建60岁阿婆将筷子插入肛门,喷出大量鲜血!真相苦不堪言...
- 夜跑|坚持夜跑两年多,60岁大爷,到头来得到了什么?
- 新冠疫苗|永嘉60岁以上人群新冠疫苗接种排名公布!
