来源丨西安市第三医院
在中医骨伤科门诊接诊患者过程中 , 常常有颈椎病、腰椎间盘突出症等椎间盘疾病的患者需要进行影像学检查 , 根据患者病情不同 , 有的需要行DR检查 , 有的需要CT平扫检查 , 有的需要MRI扫描 , 有的患者甚至需要DR与MRI扫描同时进行 。 患者这时就会很疑惑:为什么我做了MRI还需要DR检查 , 磁共振不是看得很清楚吗?
下面把三种常见影像学检查在脊柱椎间盘疾病中的选择做一个简单介绍:
DR检查
DR , 即数字X线成像检查 , 是人体不同组织对X射线的吸收程度 , 呈现不同灰度的图像 。 对软组织的成像效果较差 , 比如肌肉、神经、椎间盘等 , 因此某些情况下不能满足椎间盘疾病诊断的需要 。 但其可以清楚的观察脊柱骨骼边界、大小、形态 , 尤其是对脊柱整体骨性结构的显示较好 , 能够发现脊柱退行性改变及结构的异常 , 如脊柱侧弯 , 生理曲度改变等 , 并可发现其他一些脊柱疾患 , 如滑脱、结核、肿瘤等 。
文章图片
颈椎生理曲度反曲
文章图片
【关节|影像检查|DR& CT& MRI,在椎间盘疾病中如何选择呢?】腰椎侧弯
文章图片
骨盆歪斜
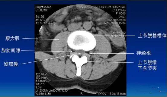
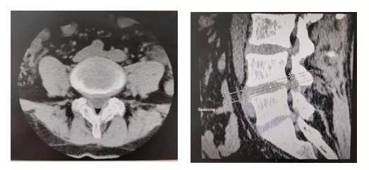
CT检查
CT检查密度分辨率高 , 无影像重叠 , 易于发现微细骨质破坏 , 对影像重叠或解剖结构复杂部位的显示优于常规X线平片 。 CT平扫可以清楚显示椎间盘突出的部位、大小、形态和神经根、硬脊膜受压的情况 , 同时还可显示黄韧带肥厚、小关节增生、椎管和侧隐窝狭窄等情况 。 突出的椎间盘有无钙化 , 一般也需要CT检查明确 。
文章图片
文章图片
MRI检查
MRI , 即核磁共振检查 , 有良好的软组织分辨率 , 对骨关节内结构、骨髓及软组织病变的显示优于DR和CT , 但难以分辨骨软组织内较细小的钙化或骨化 , 骨皮质的显示也不如DR和CT 。 MRI扫描可以清晰观察病变椎间盘突出的部位、程度、形态及其与周围组织的关系 , 对神经根的压迫程度及是否出现椎间盘脱出、游离 , 对手术方案制定有重要意义 。
文章图片
文章图片
由于椎间盘疾患的病因中不仅仅是椎间盘突出的原因 , 还伴有脊柱解剖力学关系的病理改变 , 如脊柱侧弯、生理曲度反曲、骨盆歪斜等 , 在治疗上不仅针对椎间盘突出 , 还要对脊柱结构性改变进行矫正 , 而对于脊柱骨骼的力学结构的检查 , DR比CT、MRI都更具有优势 。
因此需要进行影像学检查时 , 建议患者:DR片是最基本的检查 , 在此基础上根据病情选择CT或者MRI检查 。 如果病情严重考虑可能需要手术治疗时 , 最好的选择是三项检查均进行 , 为治疗提供完善的影像资料 。
科室简介
西北大学附属医院?西安市第三医院中医骨伤科 , 运用传统医学理念 , 以“动静结合、筋骨并重、内外兼治、医患合作”为治疗原则 , 采用中医正骨理筋手法、综合治脊疗法治疗各种脊柱疾患、骨关节病 , 通过解除病因 , 恢复正常解剖力学关系 , 从而解除病痛;并指导正确的练功锻炼 , 未病先防 , 深得患者好评 。
- 骨关节炎|寒潮来袭,“老寒腿”的毛病又犯了,该如何是好?
- 淄博莲池妇婴医院|淄博莲池妇婴医院:高度关注安全、疗效、感受 莲池医疗集团全面开启年终质量安全检查
- 备孕女性检查什么|备孕女性检查什么
- 兔子|电子膝关节植入物可以帮助治疗关节炎
- 髋关节|中国科大附一院在复杂髋关节翻修领域又有新成果
- 山药|提醒男性,一旦察觉身体出现这6种异常,趁早检查,不能拖
- 硬度|厦门男子肠胃不适,喝了段时间猪肚汤,结果更严重了!送医检查竟是……
- 关于儿童淋巴瘤的检查、诊断、疾病分期介绍|JMT日本出国就医| 淋巴瘤
- 幽门螺杆菌感染|《健谈》观点丨突然消瘦、胃痛、黑便,应及时做胃镜检查
- 疗程|风湿,类风湿,关节疼,1个方法把风、寒、湿、从骨头中逼出来
