影像阅片 , 千万不能“掐头去尾”
近几年各医院放射科的工作量骤增 , 平时和患者直接沟通和询问病史的可能性越来越低 , 最多也就看个检查申请单 , 但临床各路大神开的申请单往往都比较佛系 , 大概率是“头痛1周”、“腹痛3小时 , 加重半小时”、“咳嗽伴咯血2天”这种 , 聊胜于无 。
在这种情况下 , 诊断医生要想最大程度上避免漏诊 , 那就只能是对所有影像图片进行无差别阅片了 。 不过这样看片子确实很累 , 有没有什么捷径可以走?比如加快阅片的速度或者是能少看几张图片?
今天这篇文章就是奉劝各位读者朋友的 , 尤其是针对那些喜欢“掐头去尾”、总感觉最开始或者最后几张图像不重要可以不看的朋友 , 千万千万不要抱有任何侥幸心理!下面这几个病例都是经验教训 , 希望能够对大家有所启发!
注:本文病例均截选自胸部CT平扫最开始或最后的几张图片 。
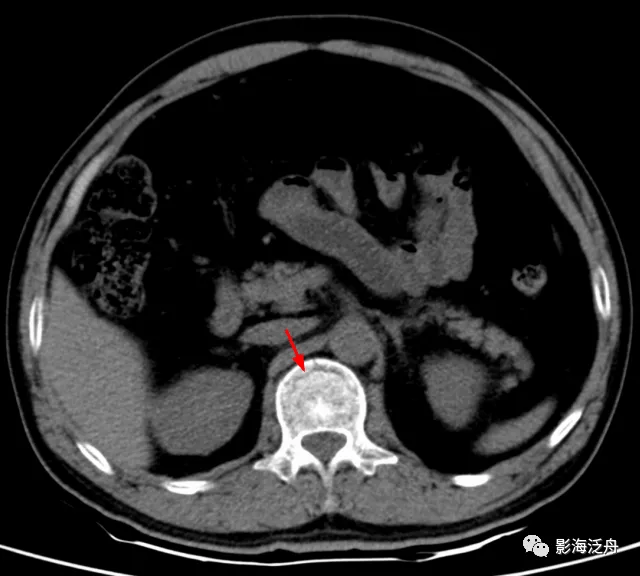
病例一:女 , 48岁 , 摔伤致腰背部疼痛、活动受限2天。

文章图片

文章图片

文章图片

文章图片
这个病例是非常特殊的 , 患者外伤史明确 , 但整体观察下来并没有看到明确的骨折征象 , 回过头反复阅片才在薄层胸部CT最后两个层面观察到椎体的细微骨折征象 , 而其余层面都是正常的 。 这样的病例 , 对于一些阅片习惯不好的朋友 , 漏诊率几乎是百分之百的 。 因为大部分阅片者往往不能较为均匀地去观察一组影像图片 , 总是会在一组图像刚开始和快要结束的时候不由自主地加快鼠标的滚动速度 , 一不小心就错过了重要的内容 。 所以 , 如果你也有类似的习惯 , 那就要当心了!
病例二:男 , 57岁 , 左侧胸痛1周 , 偶伴咳嗽 , 无发热、无胸闷气喘等症状 。

文章图片
该患者两肺CT平扫显示阴性(图像未给出) , 注意观察患者左侧肺尖有一个软组织肿块(红箭) , 乍一看似乎和周围的肌肉融为一体了 , 而且此处是头臂静脉的走行区 , 很容易就当成是正常组织结果而忽略了 。 但仔细观察 , 可以发现这个病灶的密度虽然比较均匀 , 但局部可见细小斑点状钙化(绿箭)影 , 所以应该向神经源性肿瘤方向考虑 。
病例三:男 , 68岁 , 外伤后1天 , 左侧胸痛不适前来就诊 。

文章图片

文章图片
该患者扫描不规范 , 最上方层面仅包括了锁骨的一部分 , 但正是这仅有的两个层面显示左侧锁骨骨皮质不连续(红箭) , 由于该患者的图像是厚层为5mm , 所以骨折线显示的不是特别清晰 , 再加上该患者其余胸廓及胸椎骨质结构均未见明显骨折征象 , 所以稍不注意就会漏诊 。 对于这种扫描不规范的图像 , 如果不能重新检查 , 那就一定要非常细地去观察 。 很多纠纷就来自此类病例 。
病例四:男 , 65岁 , 半月前出现上腹部疼痛 , 进食后加剧 。

- 医生|手术中突然腔静脉突然撕开一个口子,麻醉医生立即大喊:快放气!
- 静脉|宝爸宝妈要记牢,小儿感冒要当心!
- 影像学|吴凡:对无症状感染者的管理措施与确证病例一样
- 发生率|动静脉内瘘的精益化管理
- 静脉|【护理科普】带您了解抗血栓梯度压力袜
- ct|肺结节是不是肺癌?影像检查该做哪个?
- 静脉曲张|腊八时节,喝粥、吃蒜有讲究
- 动静脉内瘘|透析老人突发内瘘闭塞!溶栓2小时,终打开“生命通道”!
- 站了好长时间之后|带您了解下肢静脉曲张
- 市场|红日药业依诺肝素钠注射液获批,用于预防静脉血栓形成等
