文章图片

文章图片
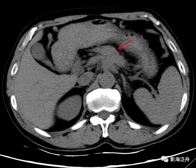
胸部CT平扫纵膈窗的最后两个层面显示腹主动脉前方不规则软组织肿块(红箭) , 轮廓模糊不清 , 似乎包绕整个腹腔干 , 结合患者腹痛症状 , 大概率是胰腺癌 。 但这个病人在胸部CT检查报告中并未提及此处病变 。 不过好在患者第二天又做了全腹部增强CT检查 , 如下↓

文章图片
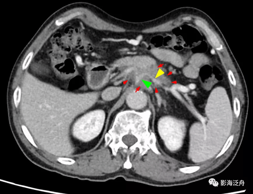
图中可见胰体部的弱强化肿块(红箭)包绕腹腔干(绿箭头)、脾动脉(黄箭头) 。
讲到这个病例不得不多说两句:虽然现在一个胸部CT检查费也就200元上下 。 但是胸部CT里面的纵膈窗包括了大部分的肝脏、胆囊、胰腺、双侧肾上腺、双肾、脾脏、大半部分升降结肠、全部的横结肠、胃、十二指肠以及大部分空肠 , 其次是腹主动脉、腹腔干、肠系膜上动脉、肝静脉、上腔静脉、门静脉、肠系膜上静脉这些血管结构 , 还要加上腹膜后、心膈角、膈角旁这些淋巴结以及网膜囊、大网膜、系膜根部这些 。 虽然说只是个胸部的平扫检查 , 但上面囊括的组织结构一点也不见得比上腹部少 , 关键是这其中大部分病变在CT平扫中也还是可以看个大概的 , 所以大家平时工作中应该重视这部分内容 , 需要仔细去观察 。
走量时代的影像科医生 , 挺难 。
来源:影海泛舟
【静脉|影像阅片,千万不能“掐头去尾”】【版权声明】本平台属公益学习平台 , 转载系出于传递更多学习信息之目的 , 且已标明作者和出处 , 如不希望被传播的老师可与我们联系删除
- 医生|手术中突然腔静脉突然撕开一个口子,麻醉医生立即大喊:快放气!
- 静脉|宝爸宝妈要记牢,小儿感冒要当心!
- 影像学|吴凡:对无症状感染者的管理措施与确证病例一样
- 发生率|动静脉内瘘的精益化管理
- 静脉|【护理科普】带您了解抗血栓梯度压力袜
- ct|肺结节是不是肺癌?影像检查该做哪个?
- 静脉曲张|腊八时节,喝粥、吃蒜有讲究
- 动静脉内瘘|透析老人突发内瘘闭塞!溶栓2小时,终打开“生命通道”!
- 站了好长时间之后|带您了解下肢静脉曲张
- 市场|红日药业依诺肝素钠注射液获批,用于预防静脉血栓形成等
