生活|45岁发现“腔梗”?医生帮忙分析,原因在于4个习惯,你可能也有
“医生 , 你快给我看看 , 我的CT显示有腔梗 , 这可怎么办呀?”
提出这样问题的患者 , 现在正坐在我的对面 , 是一位45岁的女性 。
平时生活挺健康的 , 只是最近有一些头晕 , 于是去医院做了相关的检查 , 最后没发现什么大病 , 但是发现了腔梗 。
可是这腔梗是病吗?和脑梗死的相关性大吗?应该怎么治疗呢?

文章图片
无数的疑问在脑中形成 , 越想越害怕 。
其实腔梗并没有这么可怕 , 只是大家对他的了解并不深 , 发现自己有腔梗之后 , 千万不要着急 。
为什么这么说呢?我们今天就一起来了解一下 。
一、腔梗 , 是脑梗死吗?
首先回答一个最基础的问题 , 也是最本质的问题 , 腔梗到底是不是脑梗死?腔梗确实属于脑梗死 。
看到这里很多人就害怕了 , 既然是脑梗死 , 那一定很严重了 。
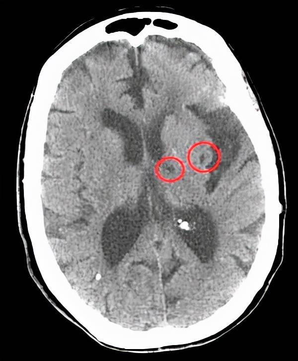
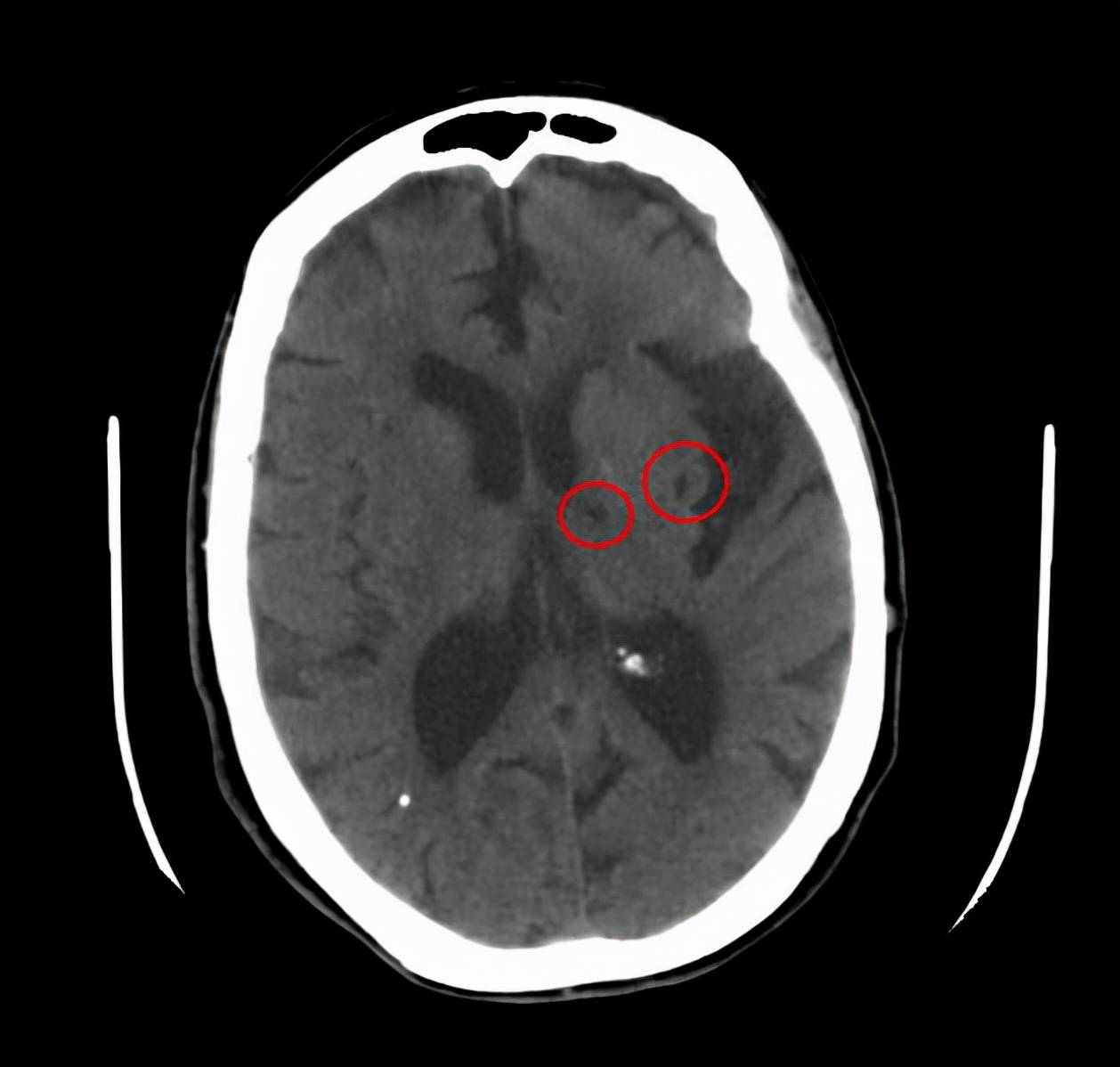
其实腔梗只是一个缩写 , 它的全名是腔隙性脑梗死 , 这种脑梗死的本质 , 其实是大脑血管中小动脉的闭塞而出现的脑组织损伤 。
特别是在长期高血压的患者当中 , 更应该注意这类患者的血管状态 , 都不是十分良好 , 在小动脉的终末端很容易出现管腔闭塞 , 于是局部的供血出现了障碍 。

文章图片
这也是导致脑组织发生梗死的主要原因 , 但是公司的面积并不大 , 非常小 。
有多小呢?
一般来说范围在1.5厘米-2厘米之间 , 这个范围 , 我们都称之为腔隙性脑梗死 。
特别是在之后复查的影像学检查中 , 比如CT和核磁当中可以看到梗死之后的地方成为了一个天然的腔隙 , 所以因此得名腔隙性脑梗死 。
这里患者到底多不多呢?
其实并不少 , 在所有脑梗患者当中 , 20%~30%都是这种问题 , 特别是中老年男性患者属于高发人群 。
如果你发现自己有腔梗 , 你真的并不孤单 , 病友并不少 。

文章图片
而且一般来说 , 腔隙性脑梗死由于损伤的脑组织范围比较小 , 通常并不会引起严重的症状 , 很多患者在发病的时候会有轻度的感觉或运动障碍 , 但是注意这些症状一般都是比较轻微的 , 并不需要太恐慌 。
可是听了这么多 , 对面的患者仍然有疑问 , 身体明明好好地为什么会有腔梗的 , 其实仔细一问就知道 , 她的生活中有很多不健康的生活方式 , 这些方式都是腔梗形成的原因 。
二、4个原因造成腔梗 。
腔梗是平白无故发生的吗?看似没有原因 , 但实际上 , 生活中的细节处处都是雷区 。就像这个患者 , 她的生活中有很多不良的习惯 , 最后都导致了大脑组织的损伤 。
总结了一下 , 具体来说是4个方面 。

文章图片
- 1.血压控制不好 。
这下子弄明白了 , 原来是高血压药物停用了 。
要知道血压可是变化莫测的 , 并不是说一段时间血压控制得不错 , 要不就能停了 , 停药之后反倒会让血压变得越来越高 。
- 2.肥胖 。
- 健康生活 薯条一个月最多吃两次
- 生活|提醒:肝病多数是“拖”出来的,出现6种表现,最好查一下肝功
- 血管|高血脂的“特效药”被发现,每天吃一点,血管通畅,血脂轻松降
- 胰岛|45岁大姐浑身瘙痒难耐,确诊糖尿病,内科主任:吃一口堪比10斤糖
- 甘肃|广西崇左、广东梅州发现核酸阳性人员,甘肃疾控紧急提醒
- 西安市|详情!西安市新增5例均在隔离管控区发现,治愈出院146例
- 冬瓜|甲状腺结节的“天敌”终于被发现了,空闲时吃点,结节可能得缓解
- 水平|碧生源:开启健康生活 推荐蔬菜瘦身
- 人员|本土确诊+163,在这些地方!深圳首次发现奥密克戎病例,为一起新的独立疫情
- 孙乐琪|北京疾控:未发现海淀病例与各类风险人群有轨迹重合
