膝关节|膝关节很奇怪,上下楼梯,蹲起蹲起就疼,走平路不疼,咋回事
在我们骨科门诊啊,膝关节疼痛,是五大常见症状之一。来骨科门诊看膝关节疼痛的不仅有六七十岁的老年人,四五十岁中年人,还有很多二三十岁的青年人,他们其中有将近一半出现以下的症状,就是膝关节在上下楼梯或者蹲起的时候,有困难、有僵硬、有疼痛感,但是大多数时候平地走路倒没什么感觉。很多人非常不解,这到底是什么原因?其实这在我们膝关节领域,非常常见,看懂了这幅解剖图,您就知道原因了。

文章插图
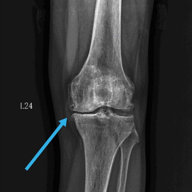
我们的膝关节实际上有三块骨头组成,分别是大腿骨,小腿骨,还有膝盖正面的、圆形的髌骨。髌骨是我们每个人都能摸到的,你用手放在你的膝盖正前方就能触摸到一个圆形的,像盖子一样的圆骨头,只要你的大腿肌肉是放松状态,那么髌骨就是可以左右推动的。那么既然是三块骨头,它们就构成了两个不同的接触面。一个呢,很好理解,是大腿和小腿骨之间的接触面,这个关节面是让我们负重用的。不论我们是站着、走路、跳跃,只要有体重压在膝盖上,这个关节面就承担压力。而我们人体膝关节的结构,决定了内侧关节受力多,约占整个重量的60?外侧关节面受力少,约占40?所以往往都是膝盖内侧磨损的快,内侧关节间隙,首先出现狭窄,所以很多人膝关节炎,刚开始的症状会有膝盖内侧的疼痛,久而久之,也会出现O型腿,也叫膝内翻,这就是因为膝盖内侧的软骨等结构已经被磨损殆尽。

文章插图

文章插图
如图所示,内侧关节缝隙比外侧变得狭窄了,膝盖的外观也就变成罗圈腿了。当出现这些症状的时候,我们就会开始出现走路疼痛。一般都是先有内侧疼,然后逐渐发展到整个关节都疼。等到走平地都不能走了,每一步都疼的时候,往往这个时候就需要做保膝手术或关节置换等手术治疗了。除此之外呢,我们的膝盖还有一个关节面,叫做髌股关节。也就是刚才我们摸的那个圆骨头深部的软骨面。这个部位比较特殊,当我们伸直腿,也就是走路的时候,这个关节面的压力是比较小的,甚至软骨和软骨之间都是不接触的。这是为什么刚才我们在伸直并放松大腿肌肉的时候,髌骨可以推动的原因。

文章插图
但是当我们膝盖弯曲的时候,我们发现髌骨无法推动了,这是因为当弯曲膝盖的时候,髌骨被压在了股骨上,两个关节面的软骨开始受压,摩擦。所以说,当我们在上下楼梯,蹲起,坐着起来,爬山爬坡等等,需要弯曲膝盖使劲的动作的时候,髌股关节面会承担负荷,久而久之会产生磨损。当我们的大腿和小腿之间的关节面保存的还可以,而髌股关节之间的关节面磨损的比较严重的时候,我们就会开始出现上下楼梯疼,爬山爬坡疼,蹲下起来疼,但是走平地不疼的现象。

文章插图
如果这种情况发生在二三十岁的年轻人,尤其是年轻女性,比较常见的情况,叫做髌骨软化症。也就是单纯的髌骨软骨的轻度损伤。这个时候只需要停止不正确的运动方式,加强股四头肌的锻炼,加上休养一段时间,往往症状就能改善,损伤的软骨大多也是可以逆转的。而如果这个情况出现在中老年人,并且症状比较严重,用手按住膝盖的上方,然后弯曲伸直膝盖,感觉到里面咔啦咔啦的摩擦感特别强烈,往往提示已经有了髌股关节炎,这个时候这种病变就是不可逆的了,只能通过刚才所说的那些办法,加上药物来改善症状,延缓关节的进展。无论是髌股关节,还是大腿小腿之间的关节,哪个关节先磨损报废了,对于我们人体来讲,这个膝盖都无法正常使用了。这就好比一辆车子,无论你是轮胎坏掉了,还是轮毂坏掉了,总之你这个车都不能正常行驶了,必须要把这整个轮胎给修理,或者替换掉。
- 饮食习惯|咸鱼腊肉很好吃,但吃多了真的会致癌?牢记3点,或无后顾之忧
- 病例|河南省疾控中心提醒:应对奥密克戎,这件事很重要!
- 猪油渣能不能吃?健不健康?很多人都不明白,现在知道还不晚
- 50岁后,寿命“短”的人往往有4个共性,若你一个不占,那很幸运
- 变化|邵东市中医医院:血压很“善变” 怎么办?
- 很多人都爱吃猪肝|炒猪肝不用炒不用卤,出锅后香气扑鼻,软嫩入味,比卤猪肝好吃
- 香蕉|中年人不想“短命”,早餐别“碰”这3物,管住嘴,长寿很容易!
- 杂草|下边三种山野菜,非常容易被当做杂草,实际上营养成分很高!
- 营养物质|亲民的滋补野菜,比人参便宜很多,营养价值却超高,15一斤疯抢
- 苹果如何去吃 很多人吃苹果都浪费
