里长|险!主动脉里长出青芒大的瘤
文章图片
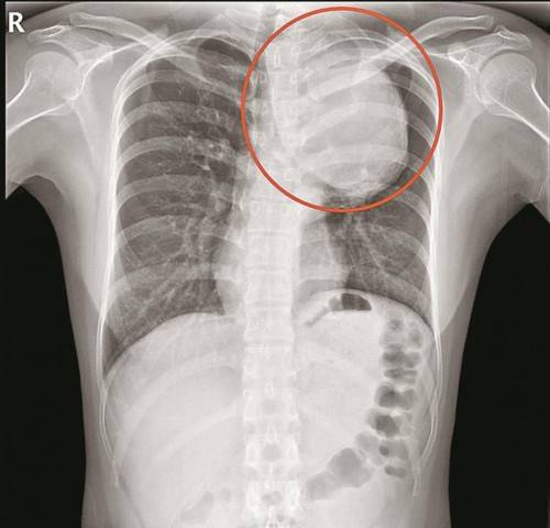
▲胸片显示动脉瘤很大
深圳晚报讯 (采访人员 王宇 通讯员 王小欢)吵架生气、赶个公交、爬层楼梯就可能引爆的人体“不定时炸弹” , 深圳90后小茹最近不幸查出体内长了一个青芒一般大的瘤子 , 医生说这虽然不是肿瘤 , 却比肿瘤更凶险 , 随时会危及生命 。
小茹很年轻 , 今年才27岁 , 一个月前的一个周末 , 她像往常一样在电脑前煲剧 , 一看就是四个小时 , 之后就开始觉得胸闷 , 继而有刺痛感 , 她以为是坐太久了 , 就起来活动一下筋骨 , 胸闷胸痛的情况果然缓解了 。
可是之后的一两周内 , 她反复出现同样的症状 , 痛的地方也都一样 , 在两侧锁骨中间 , 范围是半个巴掌大小 , 她摸着 , 好像有块肿物 , 在“突突”地跳动 。 于是她到医院检查 , 被诊断体内有个巨大主动脉瘤 。 她和家人顿时蒙了 。
“患者的胸主动脉瘤非常大 , 位于主动脉弓降部 , 它会像吹气球一样 , 越长越大 。 正常人的主动脉弓部只有香肠那么大 , 而患者的主动脉瘤直径达75mm , 已经有青芒那么大了 , 是正常人的5倍 , 瘤子像一条蟒蛇一样 , 从颈部长到膈肌 , 深入隐藏在患者体内 。 ”南方医科大学深圳医院心脏与血管外科主任杨建安说 。
医生说 , 主动脉瘤不是肿瘤 , 没有良、恶之分 , 通俗地讲就是血管上的瘤子 , 其实是体内主动脉某部分血管壁出现病理性扩张 , 向外“瘤样”膨出 , 扩张程度一般超过正常血管的50% 。 但是巨大的主动脉瘤比肿瘤更凶险 , 因为主动脉是全身最大的动脉 , 是输送血液的“主干道” , 心脏泵出的血液都要经过主动脉输送到各脏器及全身毛细血管 。 一旦主动脉瘤破裂 , 势必危及生命 , 因此主动脉瘤常被称为人体的“不定时炸弹” 。
根据病因、内径或病变部位 , 胸主动脉瘤每年可扩张0.1cm至1cm , 一般胸主动脉瘤的内径越大 , 扩张速度也越快 。 未经治疗的胸主动脉瘤患者的一年、三年、五年存活率分别为65%、36%和20% 。
而患者小茹的胸主动脉瘤已经是正常人的5倍 , 血管壁已经被撑得很薄 , 管壁只有1mm , 随时可能破裂 , 血压一旦升高 , 比如生气、解大便、跑步等 , 都可能引起瘤子破裂 , 必须马上“拆弹” 。
这个“拆弹”手术是一种难度极高的手术 , 技术要求高 , 手术时间长 , 风险也大 , 需要多学科合作 , 省内仅有少数大医院能够独立开展 。 辗转省内、市内多家医院 , 小茹终于在南方医科大学深圳医院安排上了手术 。
在麻醉科、影像科、输血科等科室的大力支持下 , 心脏与血管外科展开了惊心动魄的手术 。 整个手术十分顺利、高效 。 经过一段时间的康复 , 小茹已经出院 。
据悉 , 胸主动脉瘤多发病于50至60岁 , 男性多见 , 可单独发生 , 也能同时合并腹主动脉瘤 。 每年10万人中发病率约为5.6至10.4人 , 近年来因人口老龄化和检查方法的进步 , 发病率有增加趋势 。
其实 , 血管瘤不难发现 , 心脏彩超、CT、X光片都能把它“揪”出来 。 医生建议 , 市民每年都应该进行一次全面的身体检查 , 特别是40岁以上的人群建议每年体检做一次胸部、腹部、超声或CT的检查 , 提早发现身体的安全隐患 , 做到早发现 , 早治疗 。 血管疾病虽然偏爱老年人 , 但年轻人一旦出现不明原因的血压升高、胸部疼痛、肢体发凉、活动后疲劳、摸不到脉搏等 , 都可能是血管疾病的表现 , 应该尽快到医院检查 , 排除主动脉瘤的可能 。
- 人员|速扩!江西疾控刚刚发布新冠疫情紧急风险提醒!这些人须集中隔离!
- 血压|主动脉夹层可夺命?这五类人是高危人群,需高度重视
- 过量食肉带来的危险 你知道么
- 两地|河南新安县两地调整为低风险地区,县域内全面解封
- 两地|河南洛阳两地调整为低风险地区,洛阳全域均为低风险
- 洛阳|河南洛阳新安县全域均为低风险地区
- 统一安排|新华全媒+ | 西安首批低风险区域高校学生离校返乡
- 常食用鱼翅 有汞中毒风险
- 风险|临床医生说科普丨如何区别乳腺增生和乳腺癌
- 孙乐琪|北京疾控:未发现海淀病例与各类风险人群有轨迹重合
