
很显然 , 这是核磁检查的结果 , 现在很多患者普遍认为影像学检查的结果即是最后诊断 , 所以问诊时也以此来问诊 。 比如说对于医学上很拗口的结果 , 也能流利地说出来 。 我L4-5椎间盘突出 , 后纵韧带肥厚 , L5-S1椎管狭窄 , 应该吃什么药啊?
【祛湿|一位患者说:你说半月板损伤不是病,你就是否认核磁检查科学的科学性】
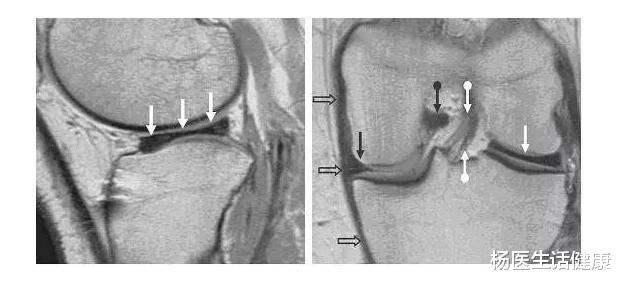
一位患者说:你说半月板损伤不是病 , 你就是否认核磁检查科学的科学性
我们当然知道 , 影像学检查是辅助检查 , 告诉你的是所看到的印象 , 具体病情应该如何诊断 , 必须看患者的症状、体重、病因、病史、功能等 , 再结合影像 , 最后汇总 , 明确诊断出疾病 。
可是如今西医学竟然异化成了这样 , 很多医生根本不看患者 , 只是以影像结果为诊断结果 , 然后直接定出治疗方案 。 可是我们知道 , 我们身体成熟到顶峰便开始老化 , 如同皮肤光洁度和弹性下降皱纹增多、肌肉量变少和力量减小、头发稀疏和白发增多一样 , 各个脏器也退化 , 如消化能力下降、饭量变小等 。 同时我们的骨骼、脊椎、关节、半月板、韧带也会相应退变 , 会出现骨质增生、骨质疏松、半月板磨损、软骨磨损、韧带劳损等 , 随着各种检测手段的精益求精 , 这些退变都会在放大情况下显现出来 。
我们就要根据患者的病因症状等判断 , 这些影像检查异常是不是造成疼痛的原因 。 可是非常遗憾 , 当忽略了人的因素 , 只是把目光集中在影像检查上 , 那影像检查便成了诊断结果 , 由此产生的误诊误治便源源不断地产生了 。
曾几何时 , 我们疯狂地治疗宫颈糜烂、骨质增生等 , 没想到现在我们知道这些都不是病!
半月板损伤、髌骨软化呢?同理!
当我问及患者的病因症状功能时 , 他言及自己是运动爱好者 , 喜欢跑步、上健身房 , 关节不肿 , 走平路几乎无妨碍 , 下蹲不能到底 , 上下台阶不敢用力 , 偶尔打软腿 , 并无关节交锁表现 , 关节屈伸有弹响 。 症状出现一年 , 吃氨糖数月 , 打玻璃酸钠一疗程 , 其它贴膏药理疗等亦间断进行 , 症状有所缓解 。
由此 , 我便告诉他半月板损伤只是表面的磨损 , 虽然显示三度 , 但与你疼痛没有关联 , 你的疼痛是因为运动过度劳损所致韧带肌肉炎症而已!故保守疗法治疗即可 , 目的即消除炎症 , 康复锻炼以改善功能 , 以后运动量酌减即可 。
哪承想 , 其问出一句:我半月板三度损伤怎么办?那没关系啊 , 是正常的退变啊?其又追问:我感觉我的疼痛是半月板三度损伤所致 , 我们还是应该相信科学!
无语!
是什么让患者的思想也变成了这样 , 高低不说自己的腿 , 而是抓住半月板损伤死活不放呢?
我说:如果您认为半月板损伤导致腿痛 , 那您可以去做膝关节镜修复 , 保守疗法是无效的 , 你氨糖也吃了 , 玻璃酸钠也打了 , 你都做了好几次核磁了 , 结果不是还这样吗?
他说:那我再找找其它办法 。
我们经常说耳听为虚 , 眼见为实 , 这位患者就是认了这个理儿 。 明明做了好几次核磁都是半月板三度损伤 , 你怎么说我的疼痛不是损伤引起的 , 所以你不尊重科学!
呵呵 , 我不否认眼见为实 , 但是你要分析你看到的“实”背后的东西!孔子带领众弟子周游列国时曾困于陈国 , 好不容易弄到一点大米让颜回去烧饭 , 却不料子路却看到颜回烧好饭时自己偷偷吃 , 子路立即报告孔子 。 孔子准备好好教育一下自己最得意的弟子 , 却不料颜回并不是饿晕了偷吃 , 因烟烧好饭掀锅时房顶上有尘封掉在雪白的米饭上 , 颜回清除尘土时粘了一些饭粒 , 弃之可惜 , 便不怕脏放进自己嘴里 , 却恰巧被子路撞见!
- 对于瓜藤缠的患者,哪些因素会引发患此病呢?了解下
- 糖尿病患者,改变观念,重视自我管理,才能远离并发症
- 运动|长寿运动排名:走路只排第三位,第一位你可能很难猜到
- 川西高原游出现脑水肿,华西四院连续接诊两名高反患者!超过这个海拔要注意
- 脾胃|饮食指南 | 关于慢阻肺患者的饮食自我管理
- 祛湿|祛湿别直接吃薏米,它才是真正的“化湿”,内调脾胃,外排湿气
- 中暑患者增多医生提醒警惕“热射病”
- 感冒|甲状腺结节患者需谨记,日常少吃什么食物?能让结节远离你
- 静疗新技术为化疗患者搭建“安全通道”
- 医院标识牌:一位成年男子因蚊子叮咬,导致患上脓毒症,送入ICU
