医生|24岁姑娘要割阑尾,医生用一根“管子”救了她
得了急性阑尾炎一定要做手术?如今,这样的观念也许要改一改了。随着一台台“内镜逆行性阑尾炎治疗术(ERAT)”的成功,不开刀治疗阑尾炎的想法已经得以实现。
24岁的小蒋今年大学刚毕业,在一家公司上班。几天前,她在上班时突然肚子痛,还发起了烧。六小时后,疼痛难忍的她来到了杭州市第一人民医院消化内科门诊看病。
接诊的消化内科崔光星主治医师经过详细检查,初步诊断蒋小姐是典型的阑尾炎。而且她的血液检查显示有感染较重的表现,按照常规治疗方案,小蒋这样的情况首先要考虑外科手术治疗方案。

文章插图
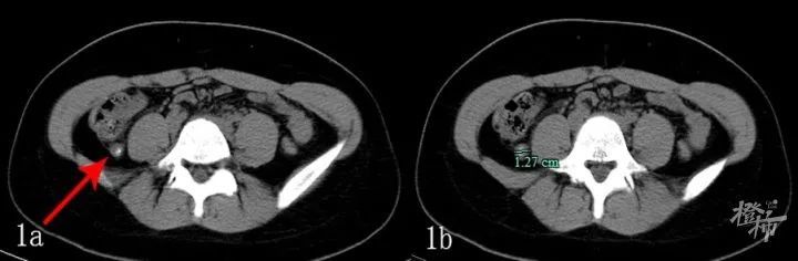
【 医生|24岁姑娘要割阑尾,医生用一根“管子”救了她】下腹部CT平扫:1a示肿大的阑尾,腔内可见粪石(红箭头),1b示阑尾管径明显增宽至1.27cm
一听说要动刀子,年轻的小蒋慌了。而且自己刚刚开始工作,也怕休息太久影响工作。但她的病又急又重,不适合保守治疗。在她再三要求下,崔医生经过再三评估,认为小蒋符合“内镜逆行性阑尾炎治疗术(ERAT)”的治疗条件。
“内镜下阑尾逆行治疗术”是一种简便、无创、无疤的内镜下微创手术,通过解决急性阑尾炎的病因,来达到治疗阑尾炎的目的,并完整保留了阑尾及其功能。
了解这种治疗方案可以实现无创治疗,没有疼痛,术后即可正常生活,小蒋欣然接受。随后,通过插管、造影、冲洗、引流等操作,快速降低阑尾腔内压力,消退炎症,半个小时内整个治疗就全部完成了。

文章插图
当晚,小蒋腹痛就明显缓解,血象迅速下降。术后第2天,她就痊愈出院了。到现在为止,已经随访了5个月,一切正常。急性阑尾炎是常见的外科急腹症,儿童及青壮年发病率最高。病因有粪石、淋巴增生、异物、肿瘤等,其中粪石梗阻是最常见的病因。外科阑尾切除术是治疗急性阑尾炎的金标准。然而,和所有手术一样,阑尾切除术同样存在手术并发症,甚至死亡的风险,如切口感染、腹腔感染、小肠粘连梗阻、切口疝等。
在过去,人们普遍认为阑尾是个“无足轻重”的器官。事实上,阑尾是一个被误会很深的器官,其实它是正宗的外周免疫器官之一。可以促进淋巴B细胞的成熟,参与肠道免疫,还有助于肠道维持菌群平衡,能有效预防肠炎。
此外,阑尾中的分泌细胞分泌出的消化酶和激素,可以促进肠道蠕动,增强肠道动力,减少便秘的发生,有助于消化吸收。
随着“内镜下阑尾逆行治疗术”的开展,是否意味着阑尾今后都不用做手术切除了?
对此,崔医生说,“并非如此”。他强调,这项技术有一定的适应症、禁忌症,不能完全替代外科腹腔镜乃至开腹切除手术。例如阑尾已经穿孔了、不能耐受肠镜检查等,就不适合用这种方法。
来源:浙医在线
- 卫生室|《乡村医生诊疗口袋书(先行本)》面世
- 温阳|医生使用这种儿童禁用药致患儿过敏死亡,被判赔偿34万丨医法汇
- 肠镜|肠镜选无痛好还是普通好?二者有何区别?不妨听听医生的分析!
- 需求|预约诊疗 | 齐齐哈尔市中医医院1月17日—1月23日医生出诊一览表
- 一喝水,尿就多,是代表肾脏好还是不好?听听医生的分析
- 问题|常年抽烟没异常,戒烟后却浑身难受,怎么回事?医生说出了原因!
- 失眠者|长期失眠等于慢性自杀!医生建议:6种食物多吃点,帮你找回睡意
- 伯伯|“ 等我长大了,也要当像您一样的医生 ”
- 风险|临床医生说科普丨如何区别乳腺增生和乳腺癌
- 胶质瘤是脑内最常见的恶性肿瘤之一|胶质瘤能治好吗?复发后有必要再次手术吗?医生说了实话
