腌菜|26岁高管坚持跑步,肝癌离世,肝胆科主任:运动后“1习惯”要不得
公园内很多人在锻炼身体,一名男子昏倒在地,瞬间包围了一群人,附近的热心大妈赶忙拨打了120。

文章插图
26岁的小豪是一家人事公司的执行总监,是一个实打实的工作狂。
由于长期加班,在不规律的作息下生活了几年,小豪患上了慢性肝炎,听公司同事说,跑步可以护肝,小豪便坚持每天跑步。
在三个月前,小豪经常腹痛腹泻,还会经常的有气无力,刚开始以为是跑步太累,还没适应这种运动,就没有把这件事放在心上。

文章插图
这天,小豪的情况更加明显,晨跑的时候,小豪肚子剧痛,昏厥在地,这才有了开篇的一幕。
急救车把小豪送到医院后,她父母也赶忙来到院中,经过一系列的综合检查后,小豪患上了肝癌,听到这个消息后,小豪的父母感觉天都塌下来了,不能相信“平时一直跑步,为何病情会变得这么严重呢”!

文章插图
医生详细了解小豪的生活和饮食习惯后叹气道:运动后不能吃腌菜,这是会要了命的!
最后,小豪在做了4次化疗后,就丢下父母,撒手人寰。
据了解,小豪因为勤俭节约,平时又喜欢省事,加上也喜欢吃腌菜,一般都是在运动后吃早餐,而且总把腌菜作为下饭菜,殊不知,这种饮食方式,会让在恢复期的肝病患者的肝病更加严重,极大的威胁了肝脏健康。

文章插图
腌菜在制作的过程中,需要添加大量盐分,在过程中会产生“亚硝酸盐”这种致癌物,长期摄入对肝脏非常不利。
亚硝酸盐经过肝脏代谢后,会产生亚硝胺,亚硝胺也是一种有害物,引发肝脏代谢下降的同时,还可使肝组织发生病变,从而导致肝硬化,肝炎甚至是肝癌的发生。

文章插图
除此之外,餐桌上这两种常见食物也要注意,伤肝损命
1、炸鸡薯条
这类油炸快餐食品,是现在很多年轻人的首选,但是非常容易增加脂肪含量,引起肥胖。
而肝脏不好的人,长期食用,极易造成脂肪肝,一旦腐蚀肝细胞,损伤粘膜组织,就会引发肝病。

文章插图
2、猪蹄
因含有较多的胶原蛋白,同时口感香嫩,深受众多女性的喜爱。
但猪蹄内含有大量脂肪和胆固醇,经常食用,不但会使得身材走样,还可以加重肝脏代谢的压力,过剩的脂肪和营养物质都会沉积在肝内,从而导致脂肪肝的发生。

文章插图
肝脏病变时,身体会出现这3种异常表现
1、食欲下降
肝脏是人体最大的消化器官,同时也有代谢物质和排出毒素的作用。
肝脏损伤后,体内胆汁分泌低下,摄入食物不能及时有效的消化,会导致消化不良,食欲减退的现象。

文章插图
2、失眠多梦
一旦出现肝火旺盛,肝气淤积,便会引发肝气血流不畅,从而会出现失眠多梦的症状,甚至还会出现心烦气躁,神经衰弱等情况。

文章插图
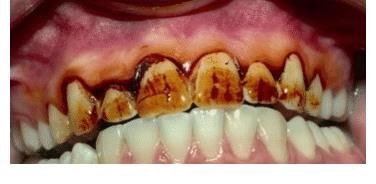
3、牙龈出血
牙龈莫名出血,多半是肝组织损伤所出现的反应。
肝脏有贮血凝血的功能,病菌一旦侵入肝细胞内,就可导致体内凝血机制紊乱,血小板减少的同时,皮肤表面会出现异常出血的现象,主要表现为,鼻腔出血,牙龈出血,皮下出血等。
- 脊柱|邵阳学院附属第一医院脊柱骨病科、康复科携手让26岁瘫痪小伙再行走
- 脊柱|医学有奇迹!邵阳学院附属第一医院脊柱骨病科、康复科携手让26岁瘫痪小伙再行走!
- 医生|26岁少女被诊断脑出血!为何脑出血逐渐年轻化?医生指出3大原因。
- 傅菁|26岁女星傅菁做甲状腺手术!已暂停工作在家休养,病因疑似熬夜导致
- 腌菜|白菜萝卜靠边站,每天吃一点,对咳嗽痰多便秘特别好,2块1大把
- 骨质疏松|38岁高管患骨松,“凶手”或是这1物,骨骼快被“掏空”了,还不自知
- 腌咸菜|腌菜吃多了,会不会亚硝酸盐超标致癌注意三件事,就可以放心吃
- 长寿与衰老|美国26岁极端纹身爱好者,因眼球纹身致盲,依旧嗜“纹”如命
- 26岁男子浑身瘙痒,3个月后确诊肝癌,医生直言:早已“破烂不堪”
- 肝癌|80后女高管查出肝癌,医生叹息:无知!炒菜爱放“1物”,铁打得肝也受不住
