团队|甲状腺肿深入胸腔“顶心顶肺”,团队携手为老太胸口卸肿物
巨今年70岁的林婆婆在13年前就发现有胸骨后甲状腺肿 , 但因没有特殊症状 , 一直没有治疗 。 不承想 , 随着时间流逝 , 甲状腺肿不断增大 , 大小已经超过18厘米 。 大的甲状腺肿将心脏向下挤压 , 并压迫支气管 , 就像一块顶心又顶肺的“大石头” 。
林婆婆辗转来到中山大学孙逸仙纪念医院后 , 由耳鼻咽喉头颈专科、胸外科医生 , 在麻醉科、重症ICU的保驾护航下 , 为她完整切除胸骨后甲状腺肿 。 术后林婆婆康复良好 , 已于近日顺利出院 。
甲状腺肿物“顶心顶肺”
压迫心脏和气管
据林婆婆回忆 , 自己13年前曾做过一次子宫脱垂手术 , 术前检查已发现胸骨后甲状腺肿 , 但由于肿物不突出颈部 , 且没有特殊症状 , 一直没有太在意 , 也就没有治疗 。 但近几年来 , 林婆婆渐渐出现了面色潮红、不能平卧的状态 , 晚上只能半坐着睡觉 , 无法躺平 。 这背后的“罪魁祸首”正是不断增大的胸骨后甲状腺肿 。 近期复查CT检查显示 , 林婆婆的胸骨后甲状腺肿将心脏往下挤压 , 使得支气管变窄 , 就像一块顶心又顶肺的“大石头” 。
为了移开这块“心头大石” , 林婆婆辗转省内多家医院 , 最后来到了中山大学孙逸仙纪念医院耳鼻咽喉头颈专科 , 由咽喉头颈专科主任梁发雅副教授接诊 。 梁发雅副教授阅片后 , 发现胸骨后甲状腺肿已经长到了18厘米长、16厘米宽 , 且肿物的生长时间长 , 已经压迫气管和血液回流心脏的上腔静脉 , 形态为上窄下宽 , 难以单纯经颈部完成手术 。
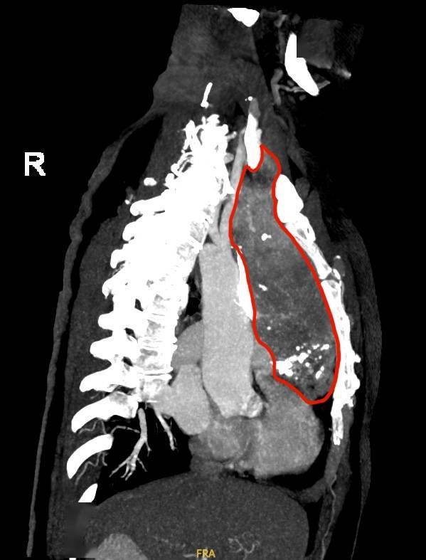
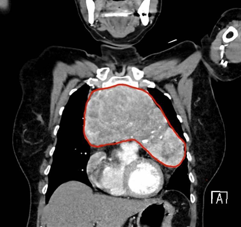
文章图片
文章图片
文章图片
CT显示甲状腺肿主体位于胸腔 , 与心脏及周围血管关系密切 , 上腔静脉受压迫
多学科专家联手
【团队|甲状腺肿深入胸腔“顶心顶肺”,团队携手为老太胸口卸肿物】制定个体化手术方案
完善了相关检查 , 在耳鼻喉科主任黄晓明教授的主持下 , 梁发雅副教授联同胸外科陈炬教授、陈柏深副教授 , 麻醉科副主任林道炜教授、重症医学科主任何志捷教授与李伟超主治医师进行多学科联合会诊讨论 。 黄晓明教授指出 , 一般的胸骨后甲状腺大多可经颈部入路手术 , 松解甲状腺上级后将其“拔出”胸腔 , 但林婆婆的CT显示胸骨后甲状腺肿物为左侧甲状腺发展而来 , 不仅位置深 , 而且底部宽大 , 即使上级松解了也难以通过胸廓入口 。
“影像检查显示 , 肿物与纵隔内的主动脉、头臂动脉、上腔静脉、头臂静脉关系密切 , 上腔静脉已有压迫 , 为保证手术安全 , 经颈部联合胸骨劈开进行手术更为稳妥 。 此外 , 由于甲状旁腺、喉返神经等结构可能已经移位 , 手术中应用神经监测技术定位并保护双侧喉返神经 , 采用超高清内镜识别和精细被膜解剖法保留甲状旁腺功能 。 ”
黄晓明表示 , 考虑到患者年龄较大 , 胸骨后甲状腺已经产生了上腔静脉压迫综合征的表现 , 麻醉过程中可能症状会突然加重 , 导致回心血量减少 。 同时气管受压 , 随时危及患者生命 , 切除巨大甲状腺肿后 , 上腔静脉压迫解除后又可能出现相对血容量不足 。
麻醉科副主任林道炜教授介绍 , 在林婆婆的手术过程中 , 麻醉科需做好应急预案 , 严密观察麻醉后气道阻力和回心血量变化 , 及时予以纠正 , 维持生命体征平稳 。 术后还需要转入重症ICU进一步监护 , 加强支持治疗 , 使林婆婆平稳度过术后急性期 。
- 作者:鲍秀兰专家团队本文转载自“儿科医生鲍秀兰”(xiehebaoxiulan)来源:金...|孩子老喊腿疼,是长高的预兆吗?如果有这些症状别大意
- 内科|市人民医院内分泌肾内科:能与业内进行高端对话的团队
- 团队|《自然·癌症》:六个蛋白组亚型,道出肺癌免疫逃逸之谜
- 技术|24小时待命!吕梁市人民医院介入团队与生命竞速
- 中科院院士、复旦大学人类表型组研究院院长金力教授领衔的团队|人类指纹形成之谜被破译!有望为疾病早期筛查提供全新思路
- 团队|孝义市人民医院内分泌肾内科:能与业内进行高端对话的团队
- 神经外科|人物专访卢云:为陵水培养一支“带不走的优质医疗团队”
- 神经内科|《山东医专第一附属医院·“最强大脑”》③:脑梗死患者重获健康,两面锦旗“点赞”神经内科团队
- 医疗|【健康守护在平谷】深入推进医养结合,推进为老健康服务
- 食物|《细胞》子刊:贝勒医学院徐勇团队发现SCR-2调节动物对禁食和营养过剩的适应性
