结节|如何让你的肺结节变小甚至消失?听听医生怎么说
随着人们健康意识的提高,越来越多的人养成了规律查体的好习惯。很多人拿到自己的查体报告,在胸部CT这一栏都有一个肺结节的诊断。于是呢拿着手机一搜,很多人搜到的是“肺结节是早期肺癌”这样的结论,于是非常害怕,想尽一切办法把自己的肺结节变小甚至去除。很多人尝试了各种各样的办法但是效果往往不好,那么肺结节到底能不能去除,有什么方法能去除呢?今天我们就来讲一讲。

文章插图
如何去除自己的肺结节?
首先呢,知其然必须知其所以然。什么是肺结节?其实肺结节是一个影像学诊断,一般是指胸部CT的时候发现在肺实质内圆形或者类圆形的直径小于等于3CM的结节影,或者说用通俗易懂的话讲,你去做了个检查,一般是指胸部CT,发现在你的肺实质上有个东西,这个东西直径小于等于3CM,为什么是3CM?因为大于3CM的一般叫做肺肿物,就不是肺结节了。
很多人纠结于自己的肺结节到底是什么,其实呢大部分人的肺结节都是良性的,多在于炎症刺激或者外伤后形成的瘢痕灶,少数人的结节可能是良性肿瘤,还有极少数人的肺结节是恶性的,或者说早期肺癌。

文章插图
肺结节不等于早期肺癌
如果说你的肺结节是良性的肿瘤或者早期的肺癌的话,那么你不管用什么药,它都不会消失,除非说你用外科手段进行干预,比如说手术切除,它才会消失。
大部分人的肺结节都是良性的,多为炎症刺激留下的瘢痕灶,对于这类结节又分为两种情况,如果你的结节瘢痕灶时间比较久远,比如说在小的时候我有场炎症,之后就留下了这个结节,之后结节一直存在,可能这辈子都不会消失了。这就像拿着小刀在我们皮肤上划了一个伤口,之后会留下一个瘢痕,这个肺结节就代表我的肺曾经有过炎症,只是后来好了,所以之后你每一次做CT它都存在。而这一类人的结节不管你用什么方法可能一直存在。

文章插图
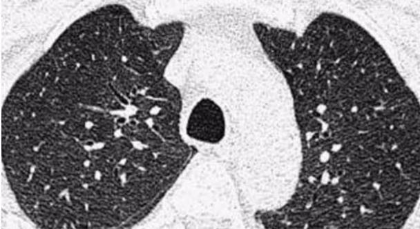
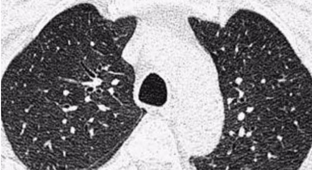
左肺上叶结节
【 结节|如何让你的肺结节变小甚至消失?听听医生怎么说】另外还有一部分结节患者,他们的炎症是近期的甚至正在经历着炎症,这一部分人炎症消失之后,肺结节是有可能变小甚至消失的,这也是为什么有一部分结节患者当查出结节之后,医生告诉你:“去抗炎治疗10-14天左右,再去复查”,这一部分人去复查的时候在炎症消失后发现自己的结节的确变小甚至消失了。
所以说呢,你的肺结节会不会变小消失,主要看你是哪一种结节。当然呢,作为大夫,还是要提醒你:“其实这么小的肺结节,不管是良性的还是恶性的,对你的影响都不会很大,而最重要的是要做到规律的随访。”我们真正担心的是早期肺癌的这一部分患者,因为忽略了结节的存在而造成病情的耽误,当你在规律随访的过程中发现结节变大变实,或者有迅速的变化,及时地手术干预防止病情的进一步恶化,这才是最重要的。

文章插图
所以说当你查出肺结节后,不用特别的担心,因为(肺结节)大部分都是良性的,根据你结节的大小,按照医生的要求做好随访这才是最重要的。你明白了吗?关注我关注更多的健康知识。
- 隔离|如何帮治疗、隔离中的孩子做好心理调适?专家给出建议
- 射线|北京北城甲状腺医院提醒:甲状腺疾病高发要如何预防?这5件事要做好
- 饮食|人过50岁,膝盖疼,走路难?这4个要点要谨记,让膝盖多用20年
- 常见肉类 如何吃才健康
- 脊柱|邵阳学院附属第一医院脊柱骨病科、康复科携手让26岁瘫痪小伙再行走
- 克星|颈椎病的克星:聊聊颈椎那些事,让颈椎病从此和你说拜拜!
- 牛奶法|失眠痛苦不堪,教你3种办法,远离失眠,让你好眠无烦恼!
- 苹果如何去吃 很多人吃苹果都浪费
- 风险|临床医生说科普丨如何区别乳腺增生和乳腺癌
- 闭塞|长沙市第四医院:新技术让糖足不再在“截”难逃
