
文章图片

文章图片

文章图片

文章图片

文章图片

文章图片

文章图片
在老年群体中 , 动脉斑块问题日益普遍 , 几乎“十人有九斑” 。 这些斑块不仅影响着他们的生活质量 , 更对健康构成严重威胁 , 但随着医学技术的不断进步 , 我们看到了很多斑块逆转的个例 , 这一突破性的发展帮助他们重获健康 , 就像最近诊室接诊的一位刘先生 。
59岁的刘先生平时工作繁忙 , 常常加班熬夜 , 饮食习惯也不规律 , 偏爱油腻和高盐食物 。 两年前 , 他时常感到胸闷、气短 , 尤其是在爬楼梯或进行剧烈运动后 , 症状更加明显 , 一天他突然感到胸痛难忍 , 同事见状立即拨打了急救电话送至医院 。
据患者述 , 曾有过类似情况 , 当时胸痛、大汗 , 有快要不行的感觉 , 持续了十几分钟就好转了 , 以后再没有出现过;有高血压病史10余年 , 日常有服药进行控压 。 查体后医生初步怀疑心脏问题 , 建议进行全面的检查 。
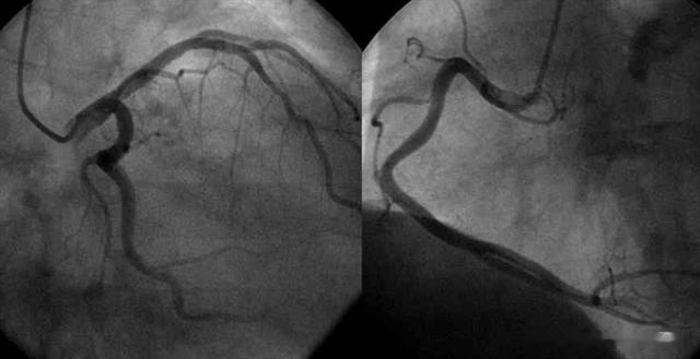
结果显示 , 刘先生白细胞 (WBC) 为5.8×10^9/L , 低密度脂蛋白胆固醇(LDL-C)180mg/dL , 肌酐(CR)为74umol/L , 谷丙转氨酶(ALT) 34U/L , 肌酸激酶同工酶 (CK-MB) 1.2ng/ml;心电图结果显示存在轻微的ST段改变;冠状动脉造影结果显示心脏冠状动脉存在明显的斑块 , 并且狭窄程度达到了50% 。结合以上实验室及影像检查结果 , 刘先生被确诊为心脏冠状动脉斑块诱发的冠心病 。 由于他曾经出现过类似症状 , 医生建议可以考虑手术装个支架 , 也可以药物和改变生活习惯进行干预 , 经过慎重考虑 , 刘先生及家人还是选择了后者 , 先保守治疗 。
【心脏冠状动脉斑块,狭窄从50%降到10%,怎么做到的?如何逆转斑块】医生开具了降脂药和抗血小板药的药物 , 同时建议患者减少高脂肪、高盐食物的摄入 , 增加蔬菜、水果和富含纤维的食物 , 进行规律的有氧运动 , 如快走、游泳等 , 以提高心肺功能 。
经过一年的积极治疗和严格遵循医生的建议 , 刘先生再次来到医院接受复查 。 结果显示他的各项健康指标均取得了显著的改善 , 其中血脂控制尤为出色 , LDL-C水平成功降低至105mg/dL;冠状动脉造影检查显示 , 狭窄程度已经从原先的50%大幅下降至10% 。
这一显著的进步不仅让刘先生惊喜不已 , 也充分证明了斑块逆转的可能性 。 他庆幸自己能够早期发现并及时接受治疗 , 从而避免了病情进一步恶化 。
对于许多中老年朋友来说动脉斑块是一个不容忽视的健康隐患 , 那么它是如何形成的?有哪些潜在的危害?又该如何逆转或预防其进一步发展呢?本期我们将为大家进行全面而深入的介绍 。
一、冠状动脉斑块的形成与危害冠状动脉是确保血液顺畅流向心脏 , 为心脏的供血的血管 , 包括内外膜及中层 。 当内膜受损时会引发炎症反应导致细胞间隙变大 , 血液中的钙、脂肪、胆固醇(特别是低密度脂蛋白(LDL))等物质会趁机沉积在动脉内皮下 , 与此同时血液中的单核细胞会被吸引至这些沉积区域 , 并转化为一种特殊的细胞 , 这些细胞在血管壁内逐渐积累 , 与沉积的LDL结合形成动脉粥样硬化斑块 , 它们会进一步阻碍冠状动脉的通畅 , 影响心脏的血液供应威胁人体的健康 。
在临床上 , 动脉粥样斑块的形成及其对健康的影响是复杂而多变的 , 根据斑块在动脉血管中的稳定程度、性质、大小等 , 我们可以对其危害程度进行区分 。
稳定斑块通常形态规则、表面光滑 , 且不易脱落 , 这类斑块多已钙化 , 表层覆盖有厚厚的纤维质 , 因此不易破裂 。 虽然它们可能随着病程的延长逐渐增大 , 导致血管堵塞影响供血 , 但生长速度相对较慢 , 引发急性疾病的风险较低 。
不稳定斑块则具有更高的危险性 , 它们形态不规则、表面不光滑且覆盖的纤维质较少 , 容易受损脱落或破裂 , 不仅会导致动脉血管狭窄 , 降低心脏供血速度 , 引发缺血、缺氧等短暂性缺血发作 , 更有可能脱落并堵塞动脉诱发急性病变 , 如急性心肌梗死等严重疾病 。
如果斑块未能得到及时有效的治疗 , 它会逐渐增长 , 导致冠状动脉管腔狭窄直至完全闭塞 。 其实在这个过程中 , 附近可能会形成新的小血管来向心肌供应血液 , 使得部分或完全替代原有血管的功能 , 这就出现了即使冠状动脉造影显示某一血管完全闭塞 , 患者也可能没有明显不适 。
但如果斑块在短时间内迅速破裂或与附近形成血栓 , 导致冠状动脉严重狭窄或完全闭塞 , 而附近的血管来不及替代其供血功能 , 就会导致心肌严重缺血、坏死 , 进而发生急性心肌梗死 , 甚至可能导致猝死 。
数据显示 , 在急性心肌梗死患者中 , 约有百分之八十的病例与不稳定斑块的破裂有关 。 鉴于该类疾病所带来的巨大危害 , 我们必须高度重视其应对策略 。
二、斑块逆转的可能性有多大?近年来 , 该类疾病在国内的患病率呈现出持续上升的趋势 , 公开数据显示我国冠状动脉疾病患病人数从2017年的两千三百万人上升到了2022年的两千七百万人 , 复合年增长率(CAGR)达到了 3.26% , 而同一时段该类疾病在全球的CAGR为2.8% , 结合我国庞大的人口基数 , 显然该类疾病的患病人数增加十分显著 。
随着医学研究的深入 , 越来越多的证据表明 , 通过改善生活方式、药物治疗以及必要的手术治疗等方法 , 可以在一定程度上实现斑块的逆转 , 即斑块的缩小或消退 。
在JACC上曾刊登过一项关于该类疾病消退的随访研究 , 观察者针对一千五百位患有动脉粥样硬化斑块的人群 , 进行了长达六年的随访跟踪 , 发现通过综合干预措施(生活方式的改变、药物治疗等)约有百分之八的受试者斑块实现了彻底消退 。
但是这个逆转的过程也需要一定的时间 , 以往的研究显示在通过有效的治疗后 , 一般经过一到两年的时间可以出现斑块的消退 。
相对而言 , 斑块表面不光滑、不规则 , 并且回声较弱的软斑块更加容易逆转 , 因为它们通常富含更多的脂质 , 但这样形态的斑块也更容易脱落 , 增加引发脑中风的风险 。
那我们又该如何逆转斑块呢?
方法一:改变不良生活习惯
在美国一项相关的追踪研究中 , 观察者通过对数万名参与者长达28年的跟踪研究 , 发现该类疾病的形成与多种生活方式和遗传因素密切相关 。
其中长期摄入高胆固醇食物的人群 , 其冠状动脉斑块形成的几率增加了百分之三十;相比经常进行有氧运动的人群 , 久坐不动的人群冠状动脉斑块形成的几率增加了百分之二十五;
而吸烟可能会增加心脏动脉、腿部动脉和主动脉(体内最大的动脉)粥样硬化的发生率 , 与非吸烟者相比 , 吸烟人群罹患该病的几率高出两倍;
高血压患者冠状动脉斑块形成的几率增加了百分之四十;糖尿病患者冠状动脉斑块形成的几率比非糖尿病患者高出百分之五十 。
这些风险因素都有可能导致血液中的脂质沉积在冠状动脉的内壁上 , 逐渐形成斑块 , 继而引发一系列心血管疾病 。
因此对于动脉血管狭窄程度小于百分之五十 , 且血脂控制在正常范围内的轻度狭窄患者来说 , 主要应该从干扰以上高危因素入手来进行逆转治疗 。
如 , 饮食上降低饱和脂肪和反式脂肪、高糖、高盐食物的摄入 , 少吃红肉及其制品 , 限制精制碳水;增加富含可溶性纤维的食物(如燕麦、豆类、坚果和水果等)以及富含Omega-3脂肪酸的食物(如鱼、核桃等)的摄入 , 有助于降低血液中的低密度脂蛋白胆固醇(LDL-C)水平 , 从而减少脂质在血管壁上的沉积 。
生活中戒烟、限制酒精摄入、保持适当的体重(BMI:kg/m^2应控制在24以下 , 老年人可放宽至26以下)、进行规律的中等强度有氧运动(每周达到150分钟左右)等 , 都有助于降低血压、改善血糖控制和减少炎症的发生 , 继而降低斑块的进展 。
同时有慢性病的(如高血压、糖尿病、高尿酸等)患者要按听从医嘱科学服药 , 控制病情 , 这对于预防斑块进展和心血管疾病的发生至关重要 。
方法二:药物治疗及手术干预
当冠状动脉狭窄超过50%时被称为冠心?。 坏毕琳?5%时可能导致心肌缺血 , 长期下去可能引发心衰 , 如果抢救不及时 , 可能危及生命 。 在这类情况下单纯的生活干预已不足以控制病情的进展 , 需要通过药物治疗甚至是手术干预来达到逆转的可能性 。
斑块的形成其本质就是脂质物质的堆积 , 在药物治疗上最基础的就是强化降脂 , 研究发现低密度脂蛋白胆固醇(LDL-C)每下降百分之一 , 斑块可以逆转百分之五左右 。 根据2023版管理指南有提到 , 目前对于LDL-C的治疗目标是小于1.8mmol/L , 甚至可以降到1.4mmol/L 。
既然能否逆转的关键是就是LDL-C , 那多项研究均表明他汀类药物能够通过抑制肝脏中胆固醇的合成 , 显著降低低LDL-C的水平 , 进而促进斑块的逆转 。
以一项针对六百例动脉粥样硬化患者的具体研究为例 , 这些患者接受了为期24个月的瑞舒伐他汀治疗 , 每日剂量为40mg 。 结果显示 , 经过治疗后患者的低密度脂蛋白胆固醇水平平均下降了53% , 并且大部分患者的指标降至了推荐的健康目标值1.8mmol/L以下 。
更为重要的是这一治疗过程促进了斑块的逆转 , 平均斑块体积减少了15% , 同时在参与研究的受试者中 , 高达63%的患者实现了斑块的逆转 。
在临床上 , 除了降脂药物外医生常常会采用综合治疗的策略 , 即配合其他药物如抗血小板药物(如阿司匹林肠溶片等)和扩张冠状动脉的药物(如硝酸甘油片、尼可地尔片等)进行联合应用 , 旨在通过改善血液循环 , 促进斑块的稳定与消退 , 从而有效预防心血管类并发症的发生 。
但药物的使用必须严格遵循医生的建议和处方 , 因为每位患者的具体情况因人而异 , 对于某些轻度狭窄的特定病例 , 如冠心病、缺血性卒中的确诊患者 , 以及糖尿病并发高血压患者 , 或者LDL-C水平大于2.6 mmol/L的糖尿病、三四期慢性肾病患者 , 无论其是否存在明显的症状 , 医生通常都会推荐接受降脂药物的治疗 。
当药物治疗效果不佳或患者病情严重时 , 就需要考虑手术治疗 。
常用的手术方式包括经皮冠状动脉介入治疗(PCI)和冠状动脉旁路移植术(CABG) , PCI通过导管将支架植入狭窄的冠状动脉内 , 以恢复血管的正常功能;CABG则通过搭建新的血管通道来绕过狭窄的冠状动脉 , 为心脏提供充足的血液供应 。
总而言之:心脏冠状动脉斑块会堵塞血管 , 导致心肌供血不足 , 诱发反复心绞痛 , 严重的还可能出现急性的心肌梗死的威胁生命健康的情况 。
虽然该类疾病的逆转是一个复杂的过程 , 但多项研究发现通过改变生活习惯和饮食习惯 , 或是药物治疗可以显著降低斑块形成的风险 , 并可能实现斑块的逆转 。
所以 , 生活中我们要减少摄入高胆固醇食物 , 戒烟限酒 , 适量运动 , 同时积极配合医生的治疗建议 , 该用药时候用药 , 该手术时候手术 。 未来随着医学研究的深入和技术的不断进步 , 这一疾病的逆转将更加成为可能 。
参考文献:
[1
钱菊英.能否管好冠脉斑块关键这样做[J
.康复 2023(10):59-59.
[2
何浩辉.冠状动脉粥样斑块的治疗现状与进展[J
.心脏杂志 2017 29(2):4.DOI:10.13191/j.chj.2017.0059.
[3
周金花.\"斑块\"·血管里的拦路虎[J
.上海支部生活 2015.
[4
廖玉华诸骏仁.适度调脂稳定和逆转冠状动脉粥样硬化斑块[J
.临床心血管病杂志 2010 26(1):1-3.DOI:10.3969/j.issn.1001-1439.2010.01.001.
- 美国心脏协会推荐最佳强心法:每周3-5次有氧运动,越活越年轻
- 心脏不好要少吃面食?医生劝诫:若想血管更健康,3种食物要少吃
- 中年男子,颈动脉斑块,吃了1年他汀,看看现在的检查化验结果
- 这5个时间运动,对心脏健康帮助很大!你不能错过
- 发现颈动脉斑块,就离脑梗不远了?坚持做好6点,斑块或可变小
- 鱼油护心被反转!BMJ新研究:长期吃鱼油,这种心脏病风险不降反升!
- 多项研究表明:晚餐做出3个改变,癌症、心脏病风险低,寿命更长
- 一剂中成药,给“累坏了”的心脏“洒甘露”,滋阴养血、安神助眠
- 心脏不好能否健身?为你揭秘安全锻炼之道
- 科学家首次发现:动脉粥样斑块竟能完全消退!不过需满足3个条件
