肿瘤|大伯肺里刮“台风”?竟然已是癌症晚期
全文共1058字,阅读大约需要2分35秒。
65岁的浙江丽水人张伯(化名)
因为咳血症状到医院检查
然而
肺部CT结果显示
他的双肺里出现了好多圈圈
就像是多个“台风”一起来袭
这是什么情况?
65岁大伯肺里都是“台风”
却不知“风从何处来”
65岁的张伯,早已退休在家的他却怎么也闲不住,每天在自家院子里养养鸡、种种菜,时不时给儿子女儿送一些“绿色”农产品去,日子过得倒也充实。
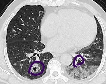
2020年5月左右,一向身体很好的张伯却无缘无故出现了咳血症状,当地医院肺部CT检查结果显示,他双肺布满了圈状的病灶,看过去就像是一个个白色的圆圈,大小不一,最大的有手镯那么大,共计有七八个。

文章插图
紫色圈里均为病灶
这奇怪的表现让当地医生犯了愁,进一步气管镜检查后,并未发现肿瘤细胞,于是诊断为肺炎,给张伯开了抗生素消炎药,并要求他每3个月复查。
张伯吃了3个月的药,感觉咳血情况好了一些,但复查结果显示他肺部的“圈圈”更大,数量也变多了。治疗无效?
多学科专家一起探案
终于发现了罪魁祸首
之后一家人来到浙大一院,在完善了肺部增强CT、PET-CT、腹部CT等检查,医生发现张伯双肺内最大的圈已经有羽毛球拍大小。由呼吸内科组织,感染病科、放射科、PET中心、病理科等多位资深专家进行了多学科会诊。
经过多位专家抽丝剥茧般地推理、分析后,考虑张伯肺部的病灶应该还是肿瘤,决定再对张伯进行肺部穿刺和气管镜检查,但对穿刺也提出了更高要求——必须要穿到病灶的正中,也就是“圈圈”的中间。
终于,这次穿刺结果的病理报告,证实了专家的判断,“罪魁祸首”显出了原形——肺腺癌。
常见癌症的罕见“外貌”
极易误诊延误治疗
【 肿瘤|大伯肺里刮“台风”?竟然已是癌症晚期】肺部腺癌是常见的肺部恶性肿瘤,约占肺癌的40%—55%,初期可能完全没有症状。不幸的是,张伯的肺腺癌已经发展到晚期,双肺内多发转移,并且因未得到及时诊断,病灶越来越大、越来越多,相当于肺里面全都是肿瘤了。
那是什么原因,让张伯肺部腺癌呈现“圈状”,并且穿刺都未发现肿瘤细胞?
“这是非常少见的肺炎样肺癌,一般来说,肿瘤病灶都是实心,就算形态不一,都较容易判断。但这位患者的腺癌肿瘤细胞有分泌粘液的功能,分泌出的粘液将肿瘤包裹起来了,就在影像学上呈现出圈状。一般这种分泌型肿瘤常见于消化道,肺部非常少见,很多医师可能都没遇到过,容易错认为肺炎。”医生说。
同时,由于分泌型肿瘤周围一大圈都是粘液,穿刺如果不够深入的话,相当于就只取到了外围的粘液,没有取到肿瘤组织本身,使得病理报告不准确,也容易造成误诊。
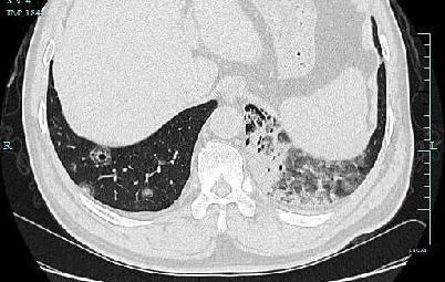
遗憾的是,由于张伯双肺内多发病灶,已经无法用手术切除。呼吸内科专家团队为他制定了化疗方案,目前张伯已接受化疗治疗,通过CT复查显示病灶明显缩小,咳血症状也明显好转。

文章插图
经过化疗后,张伯病灶明显缩小
专家提醒
肺腺癌是最常见的肺癌之一,但往往早期无症状或症状不明显,浙大一院专家建议,如发现出现轻度阵发性、刺激性咳嗽等与平时完全不同的咳嗽性质或规律,或出现不明原因持续性痰中带血、咯血、胸痛等,应及时就医。同时推荐普通人群,也要定期筛查,尤其年龄大于40岁者,推荐每年进行一次肺部CT检查。
- 脏腑|重庆肿瘤专科医院:中医帮你调和气血,平衡阴阳
- 预防肿瘤|夜里温度下降孩子睡不好,多吃营养菜,补虚暖胃,提高抵抗力
- 致癌|十多种肿瘤与“吃”密切相关,看完请注意避开!
- 肿瘤|健康大讲堂丨肿瘤专家袁芃:乳腺癌病因尚不明确 防治重在“三早”
- 香港|广州复大肿瘤医院案例966:香港胰腺癌患者赴广州就医重获新生
- 胶质瘤是脑内最常见的恶性肿瘤之一|胶质瘤能治好吗?复发后有必要再次手术吗?医生说了实话
- 关注 癌症的死亡率高、治愈率低|科普|八桂中医大讲堂(4):中西医结合治疗恶性肿瘤有哪些优势?
- 肝左叶|专家携手为早产儿切除少见巨大肝脏肿瘤
- 常吃这7类食物易患肿瘤
- 肿瘤|肿瘤患者到底能不能拍CT?还可以做什么检查,看看你就知道了
