肿瘤|小伙七年“键盘手”不以为意,医生:你的骨头里融成“豆腐渣”了
小伙七年“键盘手”不以为意 , 医生:你的骨头里融成“豆腐渣”了
2021-08-15 20:23·
“马医生 , 我仔仔细细在网上查了好久 , 我这手应该是电脑打多了累的 , 怎么检查报告上说骨头里长了好多东西呢?是不是你们机器出问题了?”近日 , 30多岁的黄先生拿着自己刚拍好的X光片不解地问医生 。
文章图片
黄先生是一名从事IT行业的程序 , 每天都需要长时间使用电脑、手机 。 早在7年前 , 他就发现自己的左手会莫名其妙地酸痛 。 联想到同学群里 , 大家会不时分享类似症状和“鼠标手”“键盘手”之类的健康分享 , 他便想当然地认为自己也是普通的“键盘手” , 没怎么在意 。 期间 , 左手症状时好时坏 , 并逐渐鼓起个包 。 难受时 , 他就贴贴膏药缓解疼痛 , 倒也没觉得有多少大碍 。
【肿瘤|小伙七年“键盘手”不以为意,医生:你的骨头里融成“豆腐渣”了】上周 , 黄先生在参加一个聚会时 , 左手不小心在饭桌上磕了一下 。 当时 , 一阵剧痛突然从左手传来 , 动动手指疼痛 。 不过因为没有特别加重 , 想着休息一下就能好 。
可没想到 , 第二天一早 , 黄先生发现自己左手居然鼓了一个大包 , 手指完全不能动了 , 一动就是钻心地痛 。 担心不已的他 , 心急火燎地来到杭州市第三人民医院骨科就诊 。
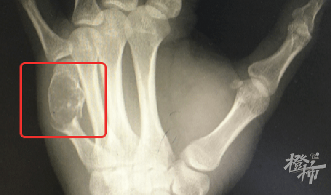
”这可不是一般的键盘手 , 你左手这根骨头里的东西 , 其实是内生性软骨瘤 , 它把你正常的骨头都‘融’成‘豆腐渣’了 , 所以骨头才会一碰就裂开 , 需要刮除肿瘤组织同时固定骨折的掌骨 。 ” 骨科马伟副主任医师指着X片对黄先生解释道 。
住院后 , 面对手术忐忑不已的黄先生又找到了主管医生潘国标副主任医师 。 潘国标向他解释道 , 与软骨肉瘤的恶性肿瘤属性不同 , 内生性软骨瘤是一种发生于骨内的良性骨肿瘤 , 发生于儿童 , 可终身带瘤 , 多在30-40岁发现 , 男女发病没有区别 。
虽然普通X线检查往往就能明确诊断 , 但因为内生性软骨瘤一般没有症状或伴有轻微酸痛、无痛性肿胀 , 看起来更像肢体的局部肿胀 , 并且其生长速度缓慢 , 数年内体积也无明显变化 , 所以多数病人是出现了病理性骨折后才被检查出此病 。 而软骨肉瘤常常表现为局部肢体的疼痛 , 夜间疼痛可加重 , 并且其生长速度相对较快 , 摸起来凹凸不平 , 局部皮肤可能发红发热 , 甚至可以看到静脉血管怒张 。
对于良性骨肿瘤的治疗 , 手术难点就在于肿瘤的刮除、灭活及肢体重建 。 针对王先生的具体情况 , 骨科主任雷文涛带领团队采用系统性肿瘤灭活+自体髂骨重建内固定手术方式 , 圆满完成手术操作 , 目前王先生的左手恢复情况良好 。
出现“骨性小包块”千万别轻视!
软骨瘤千万不能小瞧 , 任其发展的话 , 可出现大小不一的溶骨性病灶 , (常呈膨胀样侵蚀皮质骨) , 会破坏骨质 , 导致骨头空洞 , 影响关节活动 , 最终会导致手指或者脚趾丧失活动功能 。
那么 , 软骨瘤的症状有哪些?
1.40%-65%的单发内生软骨瘤好发于手部 , 然后是双足 , 也可累及肱骨、股骨和胫骨 。 发生于脊椎突向椎管内可引起截瘫 。
2.关节周围肿块常为首发症状 , 一般无症状 。 肿瘤较大者压迫附近的肌腱、血管和神经时出现疼痛 。 当出现疼痛加剧就要警惕病理性骨折以及肿瘤恶变的风险 。
3.多发性病者 , 身体矮小 , 畸形重者可有关节功能障碍 。
雷文涛提醒 , 市民对于身体上发现的骨性包块应予以足够的重视 , 及时就医明确诊断并及时治疗 。 如果市民手部或者脚部的骨头有突然隆起的情况 , 一定要到医院检查!
- 脏腑|重庆肿瘤专科医院:中医帮你调和气血,平衡阴阳
- 预防肿瘤|夜里温度下降孩子睡不好,多吃营养菜,补虚暖胃,提高抵抗力
- 致癌|十多种肿瘤与“吃”密切相关,看完请注意避开!
- 脊柱|邵阳学院附属第一医院脊柱骨病科、康复科携手让26岁瘫痪小伙再行走
- 肿瘤|健康大讲堂丨肿瘤专家袁芃:乳腺癌病因尚不明确 防治重在“三早”
- 香港|广州复大肿瘤医院案例966:香港胰腺癌患者赴广州就医重获新生
- 胶质瘤是脑内最常见的恶性肿瘤之一|胶质瘤能治好吗?复发后有必要再次手术吗?医生说了实话
- 关注 癌症的死亡率高、治愈率低|科普|八桂中医大讲堂(4):中西医结合治疗恶性肿瘤有哪些优势?
- 肝左叶|专家携手为早产儿切除少见巨大肝脏肿瘤
- 视力|“放松神器”这样用,小伙眼睛差点被毁!医生:损伤不可逆!
