血管|西安市红会医院 让肿瘤“饿”死的TACE术 为两例中晚期肝癌排忧
近日 , 西安市红会医院消化内科先后两例肝癌患者行超选肝动脉造影并化疗栓塞(TACE)术 , 通过掐断肿瘤供血动脉 , 让肿瘤“饿”死 , 术后恢复情况良好 。
患有乙型肝炎20余年的患者刘先生 , 2个月前发现右髂部疼痛 , 走路跛行 , 右膝关节活动受限 , 就诊于当地医院 , 经核磁共振检查后 , 初步判断为右侧髂骨考虑占位性病变 。 随后来到西安市红会医院骨科求治 , 手术治疗结束后 , 手术活检后判断为转移性肝细胞癌 。 也就是说刘先生患有严重的肝脏恶性肿瘤 , 且肿瘤已经转移至骨骼 , 骨科医生为刘先生进行手术治疗后 , 原发的肝脏恶性肿瘤如若得不到控制 , 仍然会转移至身体其他脏器 。 心急如焚的亲属和刘先生一起来到了消化内科寻求帮助 。
西安市红会医院消化内科主任韩霜组织全科讨论 , 将刘先生收治住院 。 消化内科医生余天垒接诊了刘先生 , 鉴于他刚做完骨科手术 , 还有乙型肝炎、2型糖尿病史,在为刘先生完善检查的同时 , 考虑到患者肝癌晚期 , 肝脏肿瘤持续增大 , 会影响患者生活质量及生存时间 , 经全科医生讨论后决定为患者先行超选肝动脉灌注化疗(TACE)手术治疗联合靶向药物治疗 。
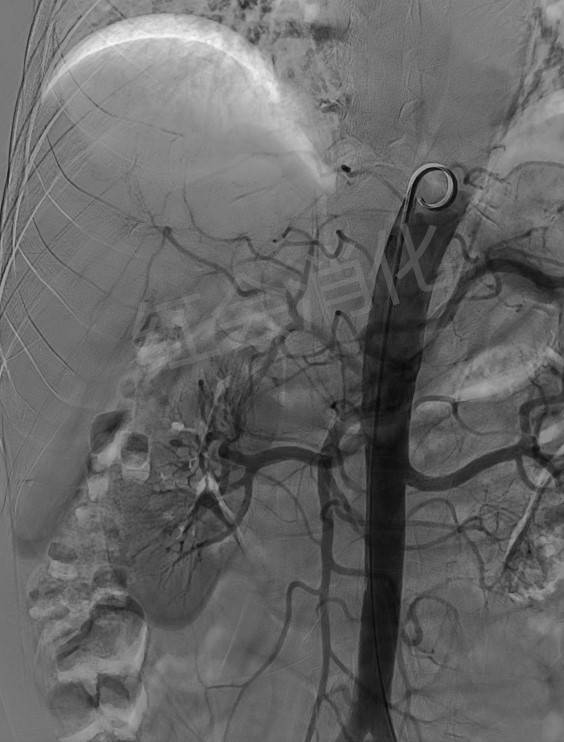
腹主动脉造影 , 明确肝动脉位置
文章图片
栓塞前肝动脉造影 , 可见明显的动脉丛 , 成“球形”包绕
【血管|西安市红会医院 让肿瘤“饿”死的TACE术 为两例中晚期肝癌排忧】
文章图片
超选肿瘤供血动脉造影 , 可见肿瘤染色明显 , 予以灌注化疗栓塞治疗
文章图片
栓塞后肝动脉造影 , 肿瘤周围的动脉丛消失 , 动脉化疗栓塞成功
文章图片
今年86岁的张大爷 , 1年前出现间断性腹痛的情况 , 伴有腹胀、恶心、头晕、胸闷的症状 , 持续一段时间后就有所缓解 , 外院就诊CT检查示肝巨块型肝癌 , 随后来西安市红会医院消化内科求医 。
入院后 , 张大爷仍有腹痛症状存在 , 接诊医生余天垒为张大爷行TACE术治疗 。 经过精心、细致的介入术前准备 , 余天垒医师经股动脉建立到肝动脉的血管路径 , 透视引导下注射造影剂 , 准备判断肿瘤供血动脉来源、数量、直径 。 由于患者的肿瘤巨大 , 四周缠绕密布着血管 , 精准地找到肿瘤供血血管后 , 注射化疗药物 , 直至药物抵达供血动脉最末端血管 , 待整条通道被药物填满 , 致密栓塞后彻底阻断肿瘤供血来源 。 余天垒医师解释道:TACE术形象的讲就是通过掐断肿瘤供血动脉 , 让肿瘤“饿”死 。 栓塞后再次造影显示 , 张大爷巨块型肿瘤的所有血管已完全阻断 。
栓塞前造影
文章图片
超选后造影
文章图片
栓塞后造影
文章图片
两位患者接受TACE术治疗后 , 术后恢复良好 , 各项指标正常 , 均达到了预期最佳的治疗效果 。
余天垒介绍 , 肝癌是起源于干细胞的富血供恶性肿瘤 , 且90%以上的血供来自肝动脉 。 我国80%以上的肝癌患者合并乙型肝炎病毒(hepatitis B virus , HBV)感染 。 换言之 , 此类肿瘤周围有丰富的血管 , 正是血管中营养丰富的血液为肿瘤提供营养支持 , 才使肿瘤增长变大 。 肿瘤的癌细胞也会通过血管随着血液流向全身 , 癌细胞“安家”在哪里 , 哪里就可能会出现癌变 。 围绕肿瘤血供的治疗是肝癌治疗中极具特色的一类 。 对于不可手术的肝癌患者 , 经动脉化疗栓塞(TACE)是最常用的一种肝癌介入治疗手段 。
- 排毒|女性要排毒,推荐多吃4种食物,养护皮肤,祛皱美容,血管更通畅
- 心脑血管|大荔中医医院脾胃肺病科“妙手回春”受到患者的称赞
- 心血管疾病|这个病还是“夫妻病”,你知道吗?
- 橙子是高血脂的发物吗?滋养血管,牢记“三吃、四不吃”
- 清理血管|高血脂的“劲敌”被找到,并非山楂,若你爱吃,血脂或乖乖降下来
- 血管|高血脂的“特效药”被发现,每天吃一点,血管通畅,血脂轻松降
- 补充|血糖的“抑制器”已找到,并非木耳,若你爱吃,血管或洁净如初
- 西安市|详情!西安市新增5例均在隔离管控区发现,治愈出院146例
- 血管垃圾|不想血管被堵死, 这些食物要常吃,清理血管垃圾,降压又降脂
- 海绵状血管瘤|一例脑干海绵状血管瘤的手术陷阱
