灌注|全身+局部 介入+灌注,清华长庚呼吸科治愈顽疾“肺毛霉菌病”
#毛霉菌
随着雨季到来 , 空气变得湿润 , 霉菌任意滋生 。 毛霉菌 , 又叫接合菌 , 普遍存在于自然界 , 可见于腐烂植被和土壤中 , 居家环境中的地下室、洗手间和厨房等阴暗潮湿处也经常可见 。
肺毛霉菌病一直是临床上非常棘手的难题 , 易导致致死性大咯血 , 多见于合并糖尿病、肿瘤、血液病、放化疗或器官移植的患者 。对于白血病、器官移植以及粒细胞缺乏的患者 , 肺毛霉菌病往往进展迅速 , 一旦播散和进展 , 病死率可高达80-100% 。
清华长庚呼吸与危重症医学科在牟向东主任的带领下 , 创新采用全身+局部、介入+灌注疗法 , 在治疗肺毛霉菌病方面取得了非常好的疗效 。 近日 , 又成功治愈一例严重的肺毛霉菌病患者 。
病例分享
患者 , 52岁男性 , 因发热、肺部感染 , 病情持续进展 , 外院无法确诊 , 进而来我院就诊 。
病史:入院前1个多月开始出现反复发热 , 体温波动在37.8℃-38.2℃ , 伴有畏寒、乏力 , 纳差 。曾于外院完善一系列检查未发现明确致病菌 , 应用多种高级抗生素治疗效果不佳 。 既往急性髓系白血病6个月 , 曾行化疗4次及脐带血造血干细胞移植 。 吸烟史30年余 , 约20支/日 , 偶有饮酒 。
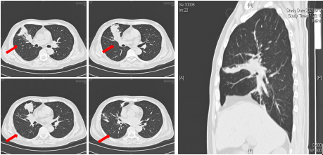
入院后查外周血白细胞减少 。 胸部CT可见右肺中叶、下叶多发斑片和片状渗出实变影(图1) 。
文章图片
图1入院胸部CT可见右肺中叶和右肺下叶内基底段可见多发斑片和片状肺内渗出实变影(箭头所示)
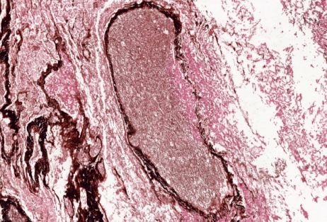
入院后应用导航支气管镜和超声内镜等精准定位技术 , 于右上叶前段、右下叶内基底段取出脓栓 , 并行病理活检:病理可见坏死组织内大量毛霉菌菌丝 , 并可见菌丝侵袭血管(图2) 。 支气管肺泡灌洗液及脓栓二代基因测序(mNGS)显示为微小根毛霉 。最终确定诊断为急性髓系白血病合并肺毛霉菌病 。
文章图片
文章图片
图2病理显示坏死组织内大量毛霉菌菌丝 , 并可见菌丝侵袭血管(GMS染色及弹力纤维染色)
确定断后 , 给予两性霉素B静脉滴注(50mg 泊沙康唑(5ml 每日四次)抗真菌治疗 。 同时 , 于气管镜下多部位精准局部灌注两性霉素B治疗(10+15mg 每周一次) 。 并多次应用冷冻等介入方法清除支气管内脓栓(支气管管型 , 图3) 。
文章图片
图3应用冷冻等支气管镜介入技术取出脓栓 , 并应用两性霉素B进行局部灌注治疗
1个月后 , 患者症状基本消失 , 复查胸片显示肺部病变较前明显吸收好转(图4) 。 出院后患者继续口服泊沙康唑 , 门诊随诊 。
文章图片
图4入院时胸片显示右肺病变;治疗1个月后复查胸片显示右肺病变明显吸收好转
【灌注|全身+局部 介入+灌注,清华长庚呼吸科治愈顽疾“肺毛霉菌病”】毛霉菌容易侵袭肺组织 , 导致肺组织大量坏死;侵袭支气管 , 导致气道阻塞;侵袭血管 , 可导致大咯血 。 并且由于毛霉菌的特殊病理改变 , 抗真菌药物往往无法到达病变的肺组织而发挥抗真菌作用 。 同时抗真菌药物全身副作用较大 , 患者往往难以耐受 。因此 , 传统静脉给药的方式对于肺毛霉菌病往往疗效欠佳 。
- 八段锦的真正功效,比药更有效!调理五脏,打通全身经络~
- 局部|军医科普:创可贴不是“万能贴”
- 新的一年全家都平安,家人多吃3种平安果,寓意福寿双全身体安康
- 皱纹|这组瑜伽练完,全身都放松了,皱纹没有了,皮肤越来越好
- 板式|30分钟练完全身的瑜伽序列,太痛快了在家就能练
- 鼻腔的基本功能是产生嗅觉以及呼吸|鼻子闻味道失灵?嗅觉牵一发而动全身,嗅觉下降或是4种疾病
- 颈椎病|颈椎不好伤全身每天几分钟,告别颈椎病,从此不再“坐立不安”
- 训练|如何用哑铃有效的锻炼全身肌肉?简单实用,速速收藏
- 吃货|唯一让中国吃货退却的鱼!营养比甲鱼高,全身是宝,只要4元一斤
- 肺结核|23岁女孩癌细胞全身扩散,一年抗癌出奇迹
