体检|体检时查出这5种病,或无需过度治疗,不要自己吓唬自己!

文章图片

文章图片

文章图片
随着人们生活水平的提高 , 人们关注的不再是温饱问题 , 在享受富裕生活的同时 , 也渐渐重视起了健康问题 。
如今我国城乡居民的患病率以及患病人数和患病规模都在逐渐的增长当中 , 虽然医学技术不断进步 , 如果人们的思想观念还没有得到有效的提高 , 对于一些疾病的预防以及治疗还需加强 。
通过体检早期发现亚健康状态和潜在的疾病 , 及时进行调整和治疗 , 对提高疗效、缩短治疗时间、减少医疗费用、提升生命质量有着重要的意义!
体检时查出这5种病 , 或无需过度治疗 , 不要自己吓唬自己!
01
子宫肌瘤
很多人在体检的时候发现体检单上出现了子宫肌瘤这4个大字 , 就会恐慌担忧 , 其实大多数的子宫肌瘤都属于良性 , 主要是受体内的激素刺激而生长 。
对于子宫肌瘤比较小的人来说 , 不会引起任何的症状 , 不必进行治疗 , 尤其是处于绝经的年龄 , 肌瘤会随着激素水平的下降慢慢萎缩 , 只需要定期复查就可以了 。
但是如果子宫肌瘤超过5~6公分 , 出现了疼痛或者月经量增多的问题 , 就需要进行手术治疗了 。 另外如果子宫肌瘤在短时间内增长速度比较快 , 引起压迫症状 , 不管大小都要及时手术 。
02
宫颈糜烂
相信大家一听到宫颈糜烂这个词 , 就已经脑补出了画面 , 其实宫颈糜烂又被称为宫颈管柱状上皮异位 , 肉眼观察为红色 , 同糜烂症状 , 因此宫颈糜烂为生理现象 , 单纯宫颈糜烂无需治疗 。
但是如果出现了异常分泌物 , 表现为白带出现血丝或少量阴道流血 , 甚至同房后出血 。 若反复出现感染 , 引起白带增多、异味等情况 , 此时需治疗 。 发现宫颈糜烂时不应惊慌 , 应前往规范医院检查 , 通常无需进一步治疗 。 注意随访 , 定期检查 。
03
骨刺
相信大多数人都听说过骨刺骨刺就是骨质增生 , 是骨质老化的正常生理反应 , 每个人都会出现 , 或早或晚 , 出现的部位也各不一样 , 如果出现的骨刺不是很重 , 出现在无关紧要的位置 , 就不需要特殊治疗 , 定期复查或者观察就可以了 。
如果骨刺出现的位置 , 正好是关节活动的位置或者脊髓神经经过的位置 , 出现的程度比较重 , 压迫到了脊髓神经或者影响了关节的活动 , 这时候先要采取保守治疗看看能不能缓解症状 , 如果保守治疗缓解不了 , 就要采取手术治疗 , 彻底地去除骨刺 , 而缓解症状 。
04
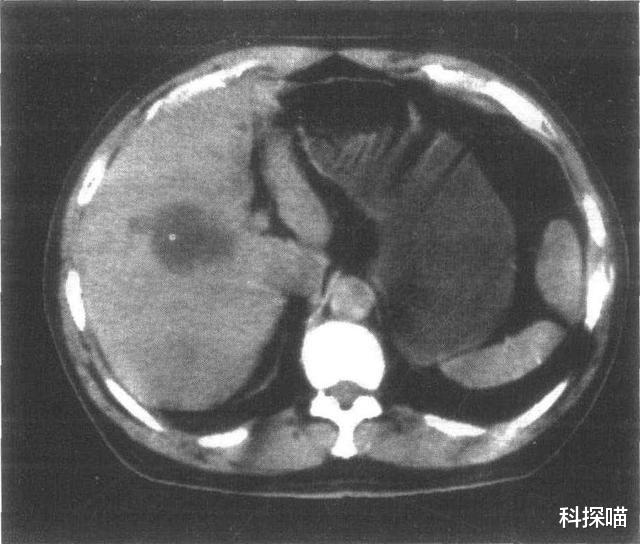
肝囊肿
肝囊肿是临床上非常常见的一种疾病 , 很多人在查体的过程中 , 经过B超、CT或者核磁都会发现 , 肝上可能会有大大小小的肝囊肿 , 数目从1个到多个不等 , 尤其老年人更容易好发 。
一般肝囊肿对人身体健康 , 危害不大 , 不会变成癌 , 不会转变成肿瘤这一类的疾病 。 肝囊肿自发性破裂的概率非常之罕见 。
但是有些肝囊肿 , 随着不断的长大 , 或者长在特殊的部位 , 可能会产生一些压迫症状 , 或者会对邻近的器官产生影响 。 如果出现了情况 , 一般需要治疗 。
05
心脏早搏
偶发性早搏或发生多年而无其它体征 , 亦无明显症状者 , 一般无危害 , 多与情绪激动、疲劳、饱餐、饮酒和吸烟过量等因素有关 , 不需特殊治疗 。
- 代谢|运动代谢图谱揭示何时运动最好
- 跑步有效延长寿命,但是晨跑和夜跑哪一个好?这才是最佳时间
- 并发症|“我还年轻,血压高一点没事”错,若不及时降压,警惕3大并发症
- 浴室里的“它”,可能是癌症帮凶,多数人洗澡时比较喜欢用
- 老人|隆回县人民医院为84岁中风老人及时溶栓成功
- 随着健康意识的提高|什么时间吃降糖药效果更好?10类常见降糖药,服用时间各不同
- 要求|孕妇餐后2小时血糖高咋办?
- 他汀|转告父母:在服用他汀类药物时,少吃这5物,别不放心上
- 党参|“一物”被李时珍誉为赛人参,男人吃了强身健体,女子吃可补气血
- 诺西那生|“庆幸自己生在这个未来可期的时代!”
