肿瘤|惊了!这个“小毛病”,竟把女子左肺“压没了”?
一些“小毛小病”很多人不注意
以为扛扛就能过去
但真相可能比你以为的
要可怕得多
广东东莞的钟女士
气促2年未重视
2个月前出现胸痛
睡觉不能平躺
……
到医院检查发现
自己以为的小小“气促”
竟然差点“把命搭上”!
文章图片
气促2年未重视
胸腔被29厘米肿瘤“攻占”
东莞的钟女士今年34岁 , 2年前开始出现活动后气促的情况 。 她没有重视 , 也没到医院检查及治疗 。
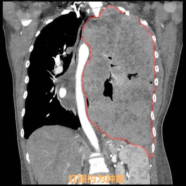
2个月前 , 她气促症状加重 , 同时出现胸闷、胸痛 , 双下肢水肿 , 睡觉时不能平躺 , 到当地医院进行CT检查后 , 结果令她大吃一惊 , 左侧胸腔内长出一个约29厘米的巨大肿瘤 。
该肿瘤几乎完全占据了她的左侧胸腔 , 不仅把她左肺完全压缩了 , 还把心脏和纵膈大血管结构挤压至对侧 , 脊柱也因为肿物的挤压而发生侧弯 。
更严重的是 , 由于心脏长期被肿瘤压迫 , 心包内产生大量积液 , 若不及时救治 , 随时有生命危险 。
文章图片
红圈左肺位置 , 被肿瘤侵占 。 通讯员供图
6小时奋战
切除重达8公斤肿瘤
暨南大学附属第一医院胸外科副主任医师蔡松旺团队 , 对钟女士的病情进行全面检查和评估后 , 显示极可能罹患上了B型胸腺瘤 。
“肿瘤如此巨大 , 手术切除危险重重 。 若肿瘤不切除 , 肿瘤将继续生长 , 可能出现呼吸心跳骤停的危险 。 ”
经过6个多小时的奋战
手术团队顺利完整切除
钟女士胸腔内的巨大肿瘤
切下来的整个肿瘤重达8公斤
比一个大西瓜还要重
文章图片
【肿瘤|惊了!这个“小毛病”,竟把女子左肺“压没了”?】经过术后1个月的治疗与康复 , 钟女士顺利出院 。
早期无症状 , 体检胸部CT要重视
医生介绍 , 胸腺瘤早期一般没有任何症状 , 很多患者都是在体检或者检查意外发现的;到了晚期 , 肿瘤长大后 , 压迫心脏、上腔静脉、气管、肺组织等 , 会出现胸痛、胸闷、呼吸苦难 , 甚至出现颜面部及上肢的水肿 。
还有约1/3的胸腺瘤病人合并有重症肌无力的症状 , 比如眼睛睁不开 , 说话说不清楚、吞咽困难、全身无力等一系列症状 。
“胸腺瘤是一个潜在恶性的肿瘤 , 在我们日常的体检中 , 胸部CT是必不可少的项目 , 若检查发现胸腺瘤 , 应首选手术切除肿瘤 。 ”
转自:信息时报
- 脏腑|重庆肿瘤专科医院:中医帮你调和气血,平衡阴阳
- 心血管疾病|这个病还是“夫妻病”,你知道吗?
- 预防肿瘤|夜里温度下降孩子睡不好,多吃营养菜,补虚暖胃,提高抵抗力
- 致癌|十多种肿瘤与“吃”密切相关,看完请注意避开!
- 肿瘤|健康大讲堂丨肿瘤专家袁芃:乳腺癌病因尚不明确 防治重在“三早”
- 香港|广州复大肿瘤医院案例966:香港胰腺癌患者赴广州就医重获新生
- 诺西那生|“庆幸自己生在这个未来可期的时代!”
- 胶质瘤是脑内最常见的恶性肿瘤之一|胶质瘤能治好吗?复发后有必要再次手术吗?医生说了实话
- 堂姐|手和脚跟干燥开裂,又疼又丑,用这个专研的修护膏,一抹水润滑嫩!
- 尿酸|吃什么能溶解尿酸结晶?辟谣:尿酸值控制到这个数才可以
