近日 , 37岁的刘女士因突发眩晕入院治疗 , 经检查发现右侧颈部埋藏了一个直径长达7厘米的肿瘤 , 该肿瘤不仅向颈部深处延伸 , 还环绕着右颈动静脉向上生长侵犯到颅底 。 中山大学附属第一医院血管外科联合神经外科、耳鼻咽喉科、口腔科、医学影像科等多学科团队专家 , 分两期手术先经大脑动脉环绕道栓塞肿瘤血管 , 后将肿瘤“连根拔起” , 为患者解除了病痛 。
文章图片
常光其教授、王冕副教授(左图)、张弩教授(右图)等多学科团队进行手术中
女子突发眩晕
17年前的肿瘤复发并侵犯右颈动脉
今年11月 , 37岁的刘女士突发眩晕 , 这次的身体不适让她想起了自己身体里的一处病根 。 原来 , 17年前 , 刘女士就曾经因为右侧颈动脉体瘤接受过手术治疗 , 但之后一直没有复查肿瘤是否有复发 。
求医心切的刘女士找到中山一院血管外科常光其教授 , 希望他能妙手除病痛 。 常光其教授通过追问病史和仔细的体格检查 , 判断刘女士此次眩晕是肿瘤复发并侵犯右颈动脉所致 。
文章图片
台下枕戈待旦的多学科手术团队
据常光其教授介绍 , 颈动脉体是一个细小的卵圆形或不规则形的粉红色组织 , 位于颈总动脉分叉处后方 , 借结缔组织连于动脉壁上 , 大小不一 , 是人体内最大的副神经节 , 是外周呼吸感受器之一 。 颈动脉体瘤就是发生于颈动脉体的实体性肿瘤 。
手术难度和风险极高
多学科专家团队决定分步拆瘤
入院后 , 刘女士完善了CT(电子计算机断层扫描)和MR(核磁共振)检查 , 从影像资料可看到 , 刘女士的右颈部肿瘤已向颈部深处生长 , 肿瘤不仅侵犯右颈动脉及颈静脉导致其完全闭塞 , 还环绕着右颈动静脉向上生长 , 经过颈静脉孔到达颅底 。
常光其教授表示 , 颈静脉孔是颈部重要血管和神经进出大脑的咽喉要地 , 其中不仅有保障大脑供血和血液回流的颈动脉和颈静脉 , 同时还是许多神经(迷走神经、副神经、舌咽神经、面神经等)出大脑的关键通道 。 然而 , 这些重要的血管神经全都被肿瘤所侵犯 。
“不仅如此 , 肿瘤还吃透了颈静脉孔处的颅骨 , 长到了大脑内的乙状窦(收集大脑的血液并回流至颈内静脉)附近 。 对于这样一个复发且完全侵犯颈部神经血管和颅底的肿瘤 , 手术的难度和风险显然都是极高的 。 ”面对刘女士的病情 , 常光其教授决定在科内讨论的同时 , 启动多学科会诊 , 以确定最佳的手术方案 。
根据肿瘤涉及的范围 , 血管外科邀请了神经外科、耳鼻咽喉科、口腔科和医学影像科等相关专科专家举行了多次多学科会诊 , 就术前准备、手术方案、术中注意事项、手术关键节点处理、可能出现的意外情况及应对措施等进行了详尽分析和细致准备 , 最终制定了一套缜密的治疗方案 , 即分两期手术切除肿瘤 , 第一期先栓塞肿瘤血管 , 二期再进行肿瘤的手术切除 。
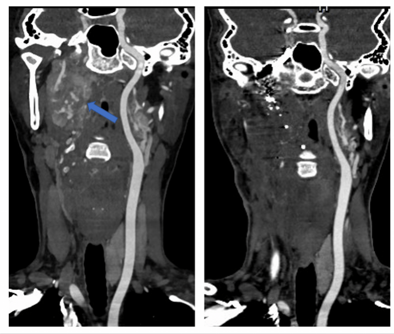
文章图片
手术前后的CT影像对比:左图为术前 , 箭头指示为肿瘤;右图为术后 , 显示无肿瘤残留
第一期手术:
经过大脑内的动脉环绕道栓塞肿瘤血管
经过造影发现 , 刘女士的右椎动脉、右侧颈内动脉颅内段有大量的分支进入到肿瘤内 , 肿瘤的血供异常丰富 , 如果直接切除 , 术中出血将无法控制 。 于是 , 多学科专家团队决定第一期手术由神经外科齐铁伟教授团队实施 。
- 克星|颈椎病的克星:聊聊颈椎那些事,让颈椎病从此和你说拜拜!
- 胶质瘤是脑内最常见的恶性肿瘤之一|胶质瘤能治好吗?复发后有必要再次手术吗?医生说了实话
- 复发|妇产科专家:女性妇科炎症复发,5种食物少吃,妇科炎症容易恶化
- 治疗仪|长沙仁爱妇产医院:引起宫颈囊肿的原因
- 60岁以上的人中,多少人会长颈动脉斑块?该咋办?听医生告诉你
- 神经末梢|一颗大蒜,竟是颈椎病的“克星”!退休老医生自用秒方,用1个好1个!
- 脱发|生发吃什么好?防脱吃什么好?恢复发量吃什么好?
- 收藏!重庆同世堂发布痉挛性斜颈中医防治方案
- 铝块|660℃铝液喷溅,一男子颈总动脉中招!剥离出50多块铝块
- 癌症|癌症复发有一个高峰期,很多人往往都忽略了,中医数十年经验分享
