椎体|脊柱常见肿瘤及肿瘤样病变的几种影像学表现,你都见过吗?
脊柱常见肿瘤及肿瘤样病变的影像学表现
肿瘤及肿瘤样
良性:血管瘤;脊索瘤(良性脊索样细胞瘤);骨软骨瘤
中间性:动脉瘤样骨囊肿;嗜酸性肉芽肿;骨巨细胞瘤(富于巨细胞的破骨细胞肿瘤);骨母细胞瘤;软骨母细胞瘤
恶性:恶性脊索瘤;骨髓瘤;转移瘤

文章插图

文章插图
良性肿瘤
血管瘤
骨软骨瘤
脊索瘤
Case1:F,51y;胸6椎体 血管瘤。

文章插图
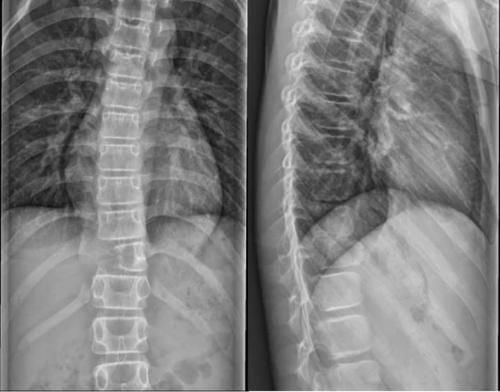
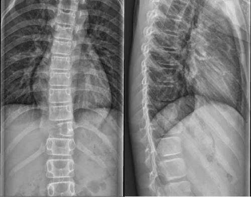
Case2:M,34y;胸11椎体血管瘤。

文章插图
Oste0chondroma 骨软骨瘤
位于椎体后部,多见于椎弓和棘突,其次为横突、椎板和椎肋关节
附着于脊柱的骨性突起,有蒂或广基底与母骨相连,可见钙化与骨化
可延伸至椎管内,压迫脊髓
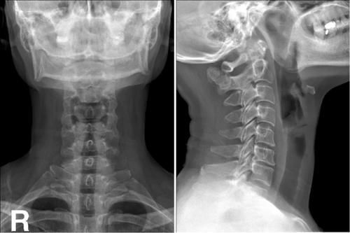
Case3:F,51y;颈2棘突单发性骨软骨瘤。

文章插图
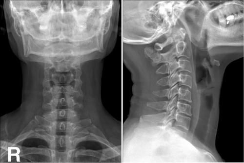
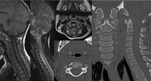
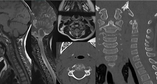
Case4:F,34y;第2、3颈椎棘突骨软骨瘤。

文章插图
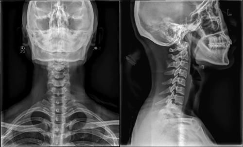
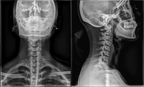
Case5:M,47y;颈5后棘突下缘骨软骨瘤。

文章插图
Chordoma 脊索瘤
起源于胚胎脊索残余或迷走脊索组织
好发于30~60y,骶尾部最多见(骶骨3~5节),中轴线
X/CT:溶骨性/膨胀性破坏,瘤内斑片状钙化,边缘硬化边
可穿破椎间盘累及相邻椎体,伴椎间隙变窄
MRI:T2WI显著高信号(黏液基质);中等度强化,不均匀
Case6:M,61y;骶尾椎疼痛2年。

文章插图
Case7:M,62y;8月前前列腺手术发现骶尾部肿物,无不适,现肿物逐渐增大,2月前伴局部疼痛。

文章插图
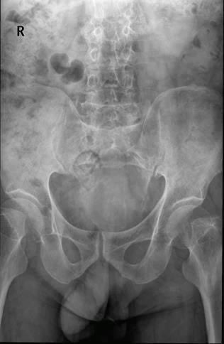
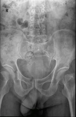
Case8:M,73y;右臀部疼痛伴右下肢放射痛2月。

文章插图
中间性肿瘤
动脉瘤样骨囊肿
嗜酸性肉芽肿
骨巨细胞瘤
骨母细胞瘤
软骨母细胞瘤
ABC (Aneurysmal bone cyst)动脉瘤样骨囊肿
好发于10~30y,病变起源于附件,向椎体后方发展,或病变局限于椎体一侧
膨胀性骨质破坏,有钙化及分隔;可跨过椎间隙累及相邻椎体或肋骨
MRI:液液分层(典型表现)
Case9:F,11y。

文章插图
Case10:F,10y;腰痛1月加重2天,无肢体麻木、乏力,无二便障碍 。

文章插图
嗜酸性肉芽肿
儿童多见,嗜酸性粒细胞增多
位于椎体多不累及附件;典型征象:扁平椎,严重者呈硬币状,椎间隙一般正常
MRI:病变周围常有不同程度的水肿
与单纯压缩骨折鉴别:后者有外伤史,没有骨质破坏,椎体呈楔形变扁,缺乏向周围膨胀;无外伤者多见于老年人,骨质广泛疏松
Case11:F,5y;颈部疼痛3天。

文章插图
- 常见肉类 如何吃才健康
- 脊柱|邵阳学院附属第一医院脊柱骨病科、康复科携手让26岁瘫痪小伙再行走
- 随着健康意识的提高|什么时间吃降糖药效果更好?10类常见降糖药,服用时间各不同
- 胶质瘤是脑内最常见的恶性肿瘤之一|胶质瘤能治好吗?复发后有必要再次手术吗?医生说了实话
- 肋软骨炎|经常胸痛,就是有心脏病?别先入为主!可能是这5种常见病
- 进行|肾脏病症状有“5字决”,哪些人是高危人群?常见治疗有7类用药
- 青少年|早期筛查脊柱侧弯 操作简便无辐射
- 养乐多与酸奶的常见问题 专家为您解答
- 饮食|这4个常见的习惯,可能会“毁掉”你的肝脏,能改就改掉吧!
- 医生|“烂骨王”被揪出,医生:餐桌上常见,你若爱吃,骨头早晚烂成泥
