椎体|脊柱常见肿瘤及肿瘤样病变的几种影像学表现,你都见过吗?( 二 )
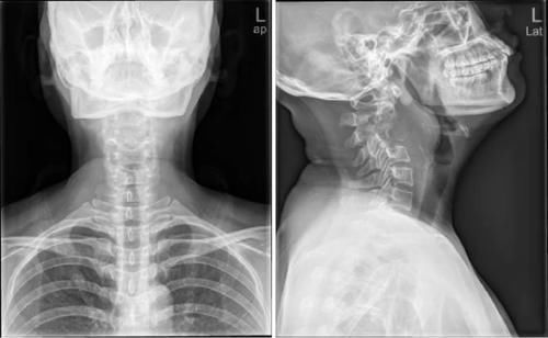
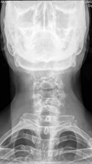
Case12:F,4y;患儿颈部活动受限1个月。

文章插图
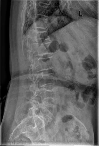
Case13:F,4y;腰痛1月余,加重半月。
【 椎体|脊柱常见肿瘤及肿瘤样病变的几种影像学表现,你都见过吗?】

文章插图
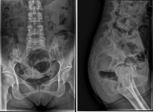
Case14:M,6y;双侧髋部疼痛1月余,加重伴不能行走半月。

文章插图
Giant cell tumor of bone 骨巨细胞瘤
好发于20~40y,起于椎体,向附件发展
单纯溶骨性骨质破坏,有偏心性,膨胀明显;椎体变扁时肿瘤呈前后哑铃状膨胀(较有特征)
有骨包壳形成,可伴骨皮质中断,无周围硬化及基质钙化。
在骶骨者,好发于上部骶椎(脊索瘤:S3-5)
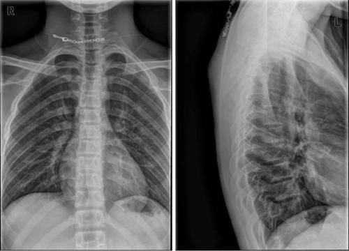
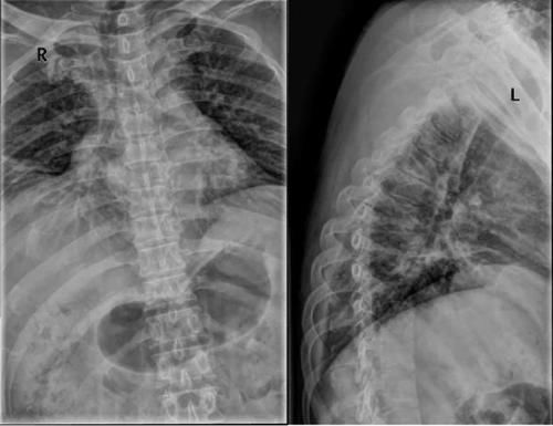
Case15:F,41y;下腰部疼痛7年余,加重1周。

文章插图
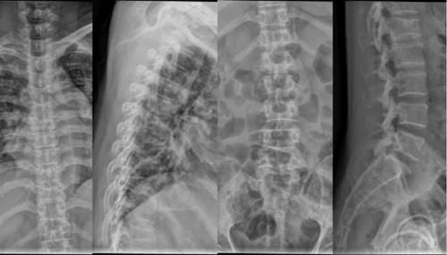
Case16:F,35y;阵发性颈部疼痛伴麻木3年,加重伴右上肢继双手麻木。

文章插图
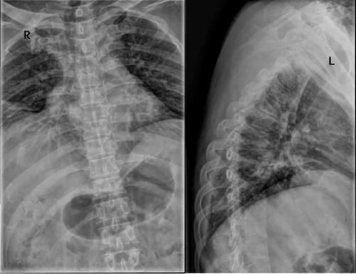
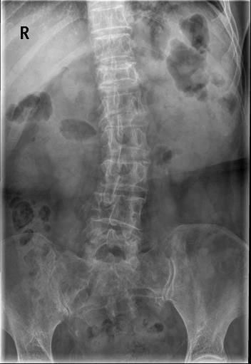
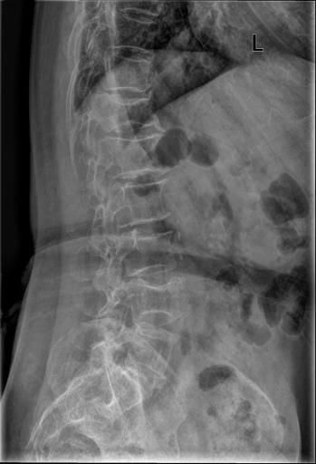
Case17:F,35y;腰痛数年。

文章插图

文章插图
Osteoblastoma 骨母细胞瘤
好发于10~20y,颈椎多见,多位于椎体的椎板、横突、棘突
囊状膨胀性骨质破坏,内有细沙洋钙化、骨化,周围有硬化边
可合并ABC
Case18:M,16y;双下肢乏力及麻木感40余天。

文章插图
恶性肿瘤
脊柱转移瘤
骨髓瘤
脊柱转移瘤
跳跃性椎体破坏,多累及椎体附件,病理骨折及软组织肿块
不累及椎间盘,椎间隙多保持正常(与结核鉴别:相邻椎体上下缘骨质破坏伴椎间隙变窄,后突畸形,椎旁梭形脓肿)
与骨质疏松的压缩性骨折鉴别:后者没有软组织肿块,附件骨质多完整,MRI T2WI信号动态变化
Case19:M,49y;左侧腰背部疼痛1天。

文章插图
Case20:F,78y;胸背痛2周。

文章插图
Case21:M,49y;肾癌病史。

文章插图
MM多发性骨髓瘤
广泛性骨质疏松,伴多发压缩性骨折
多发性溶骨性破坏,呈穿凿样、虫蚀样、鼠咬样
MRI:T1WI低、中等偏低信号,T2WI高信号,“盐和胡椒”症
Case22:M,49y。

文章插图
Case23:F,66y;腰痛,右下肢放射痛。

文章插图
Case24:M,77y;腰背痛1年,加重1月。

文章插图
神经鞘瘤
不属于原发椎体的肿瘤,多数为椎管内病变,压迫周围骨质,或者恶性变引起周围骨质破坏
Case25:M,45y;颈痛4年,加重伴四肢麻木无力、头晕1年。

文章插图
Case26:F,47y;腰背痛4年,加重5月。
- 常见肉类 如何吃才健康
- 脊柱|邵阳学院附属第一医院脊柱骨病科、康复科携手让26岁瘫痪小伙再行走
- 随着健康意识的提高|什么时间吃降糖药效果更好?10类常见降糖药,服用时间各不同
- 胶质瘤是脑内最常见的恶性肿瘤之一|胶质瘤能治好吗?复发后有必要再次手术吗?医生说了实话
- 肋软骨炎|经常胸痛,就是有心脏病?别先入为主!可能是这5种常见病
- 进行|肾脏病症状有“5字决”,哪些人是高危人群?常见治疗有7类用药
- 青少年|早期筛查脊柱侧弯 操作简便无辐射
- 养乐多与酸奶的常见问题 专家为您解答
- 饮食|这4个常见的习惯,可能会“毁掉”你的肝脏,能改就改掉吧!
- 医生|“烂骨王”被揪出,医生:餐桌上常见,你若爱吃,骨头早晚烂成泥
