尿酸|尿酸高达856,关节里磨出石灰膏!医生:“这是我从医以来,见过的尿酸最高的患者”
“这是我从医以来,见过的尿酸最高的患者”,武汉市第四医院运动医学科张绍华医生,忍不住发了一条朋友圈:患者尿酸高达856(正常参考值在208-424),多处关节积满了痛风结晶,膝关节严重肿胀已不能弯曲,手术打开后软骨已经严重磨损,大量痛风结石磨成呈石灰膏状。
【 尿酸|尿酸高达856,关节里磨出石灰膏!医生:“这是我从医以来,见过的尿酸最高的患者”】胡师傅痛风已经10多年,日常也服用过降尿酸药物,但看到周围也有一些朋友尿酸高,他也没太在意,生活习惯没怎么改,还是大口吃肉、甜饮料当水喝,急性发作了脚疼不能走路,就用止疼药止住。

文章插图
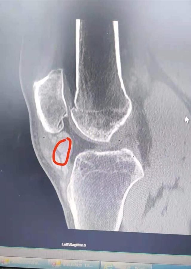
但近段时间他发现,右脚膝关节肿起了一个包块,越来越大已经导致腿部不能弯曲。到外院检查怀疑是良性肿瘤病变,经人介绍到武汉市第四医院运动医学科,仔细检查后排除肿瘤可能,原来是髌腱下方长了一颗巨大的痛风石。不仅如此,在他的手部、膝关节、踝关节等部位,都发现不同程度的痛风结石。由于长期尿酸高,其肝功能也受损严重。
随即,胡师傅在该院运动医学科接受了外科手术,张青松主任专家团队打开膝关节后发现,关节软骨已被痛风结石覆盖,长期摩擦导致大量痛风结石被磨成石灰膏状,经仔细清理后,关节恢复了正常活动功能。
张青松主任提醒,痛风是现代男性最常面临的健康问题,呈现年轻化趋势,尿酸四五百的人很常见,不要以为常见就不在意,一开始就要引起重视,不然会带来不可逆的损伤。胡师傅这次接受了手术,暂时是清理干净了,后期还是有复发的可能。

文章插图
他建议大家辨明几个误区:第一,痛风只是脚趾头痛。痛风可以发生在全身任何关节,脚、手、膝、踝都是高发部位;第二,痛风是急性发作的疼痛。除了常见的急性红肿热痛,有些痛风也可以表现为隐痛、胀痛、酸痛,尤其是在酒后、劳累、饮水少、受寒的情况下容易出现;第三,痛风发作就吃药,好了就停药。痛风理论上是可以达到临床治愈的,但大部分人都需要持续用药很长一段时间,不能见好就停药,用药首选别嘌醇或非布司他,但需要在医生的指导下用药。
张主任最后提醒:除了药物,最重要的是多喝水、少喝甜饮料、少喝酒,红肉内脏尽量少吃。(采访人员:卫未,通讯员:高星)
- 痛风|高尿酸者不能吃豆腐?医生警告:不想痛风发作,停止食用“冬季3红”
- 尿酸|吃什么能溶解尿酸结晶?辟谣:尿酸值控制到这个数才可以
- 玻尿酸|玻尿酸食品能补水美颜?专家呼吁制定食用玻尿酸国家标准
- 痛风|尿酸控制在多少,可以减少痛风发作?高尿酸人群冬季要注意什么?
- 减脂|“嘌呤大户”被揪出,尿酸高尽量少碰,要想降酸,日常可做3件事
- 失眠|尿酸高不能吃什么?肥肉和瘦肉哪个嘌呤高?
- 尿酸控制在多少,可以减少痛风发作?高尿酸人群冬季要注意什么?
- 微摩尔|尿酸高会引发哪些问题?尿酸高的人,这8个并发症别忽视
- 尿酸|男人晨起3种异常,肾脏或早已“破烂不堪”,占其一,早检查
- 尿酸|这4种食物或在损害你的胰岛,50岁后的人,该忌口时要忌口
