痛风性肾病|尿酸高影响肾功能吗?医生:痛风患者请做好十件事,保肾降尿酸( 二 )

文章插图

文章插图
不同的肾结石的疼痛程度及对身体造成的影响
尿酸性肾病是怎么回事?
尿酸性肾病包括急性尿酸性肾病和慢性尿酸性肾病。急性尿酸性肾病是因为大量尿酸结晶突然沉积在肾间质及肾小管内,肾小管腔被尿酸填充和堵塞,导致少尿型急性肾衰竭。慢性尿酸性肾病则是容易出现肾小管间质的慢性病变,一般早期没有什么临床肾病表现,不少患者临近中年才出现痛风的临床症状。

文章插图

文章插图
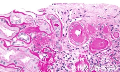
高尿酸血症导致肾脏血管收缩和结构改变
早期肾病有轻度单侧或双侧腰痛,此后出现轻度浮肿和中度血压升高,尿呈酸性,有间歇或持续蛋白尿,一般不超过++;几乎均有肾小管浓缩功能下降,出现夜尿、多尿、尿相对密度偏低。
慢性尿酸性肾病症状的严重程度和高尿酸血症的持续时间和幅度有关。过量尿酸盐在肾中沉积,可以导致肾间质纤维化和肾动脉硬化。高尿酸血症及痛风患者的肾上可以发现大量尿酸盐晶体沉积,这些晶体主要沉积在肾的远端集合管和肾间质,尤其是肾髓质等,周围有白细胞、巨噬细胞浸润及纤维物质包括。
年轻的尿酸性肾病患者在5~10年后会加重,晚期可以出现肾小球功能受损,肌酐清除率下降,尿素氮上升,呈尿毒症的临床表现。如果早期诊断并给予恰当的治疗,那么肾病变可以减轻或停止发展,也就是说早期慢性尿酸性肾病是可以逆转的疾病。

文章插图

文章插图
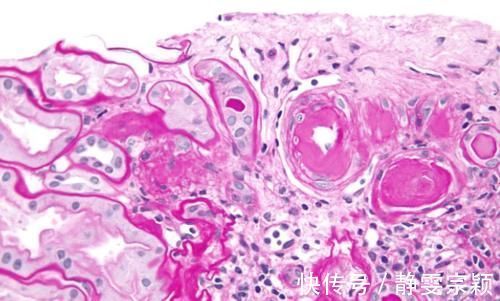
尿酸性肾病导致的肾血管病变
痛风患者避免痛风肾需做好十件事
无论尿酸性肾结石还是尿酸性肾病,痛风性肾病都是因为尿酸在肾组织中沉积所造成的肾损害,常见的表现包括:痛风、肾结石、血尿酸升高等。一般实验室检查血尿酸和血肌酐升高就可以发现痛风性肾病的存在。
通常来说,控制高尿酸血症是预防痛风性肾病和肾功能减退的主要措施。但是,当出现痛风性肾病的时候,常规用药、生活调理也会出现一定的限制。今天刘医生就从对痛风性肾病的非药物治疗、降尿酸治疗和降压治疗等九个方面来谈谈关于痛风性肾病的预防。

文章插图

文章插图
做好这十件事补肾的同时降尿酸
01|减少外源性嘌呤饮食的摄入:
虽然外源性嘌呤所产生的尿酸仅占人体尿酸总量的20%,而且从营养均衡的角度而言,对于痛风及痛风性肾病患者不能过分强调低嘌呤饮食。但是还是需要在保证营养的同时适当地进行饮食控制,主要包括以下方面:
①避免摄入高嘌呤食物:比如肝、肾、心、肠、脑等动物内脏,排骨汤、猪蹄汤、浓肉汤、火锅汤、老火汤等浓肉汤,沙丁鱼、鱼卵、牡蛎、扇贝、生蚝等海鲜,鹅、鹧鸪等禽鸟,干豆子、干蘑菇等植物。
②限制摄入中高嘌呤食物:比如猪肉、牛肉、羊肉、鸭肉、兔肉、鸡肉等畜禽类动物,草鱼、黄花鱼、鲤鱼、鲫鱼、鳝鱼等河鲜,鳕鱼、鳗鱼、鲍鱼等海鲜。
- 喝牛奶|为什么不建议女性天天喝牛奶?提醒:喝牛奶牢记4点,更营养
- 鸡蛋清性|每天晚上不妨多吃三种食物,营养丰富,延缓衰老,好吃又不贵!
- 肌肤|女性不愿老太快,坚持多吃3种食物,滋补身体,好处多多!
- 排毒|女性要排毒,推荐多吃4种食物,养护皮肤,祛皱美容,血管更通畅
- 蛋分为好几类 根据体质来吃
- 公司|罗欣药业:子公司注射用美罗培南通过仿制药一致性评价
- 晚餐与寿命有关吗?怎么吃、吃多少,今天一次性说清楚
- 50岁后,寿命“短”的人往往有4个共性,若你一个不占,那很幸运
- 原来痛风的发作与这些因素有关,中医告诉你缓解痛风的好疗法
- 肝胆疾病|女性晚上当零食吃几颗,美肤淡斑,大肚子也平了,越来越年轻
